电话:
+86 (0512) 65829739
传真:
+86 (010) 6788 5057
电子邮件:
orders@antibodies-online.cn

TCTEX1D4 抗体 (N-Term)

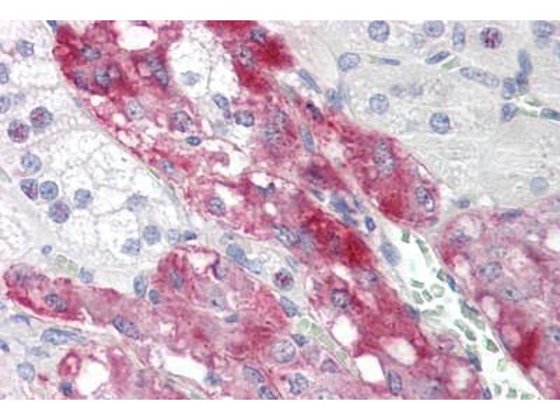
The 兔 多克隆 anti-TCTEX1D4 antibody is suitable to detect TCTEX1D4 in samples from 人. It has been validated for WB, IHC 和 IHC (p).
产品编号 ABIN1804172
发货至: 中国
Contact our Customer Service for availability and price in your country. Contact Info

Our Local Distributor

中国
北京 101111
No. 88 KeChuang 6th Street
Beijing Economic Technological Development Area
Room 801-803
4A Biotech Co.,Ltd.
Tel +86 (0512) 65829739 传真 +86 (010) 6788 5057

Quick Overview for TCTEX1D4 抗体 (N-Term) (ABIN1804172)

抗原

TCTEX1D4 (Tctex1 Domain Containing 4 (TCTEX1D4))

适用

  • 6
  • 5
  • 3
  • 2
  • 2
  • 2
  • 1
  • 1
  • 1

宿主

  • 6

克隆类型

  • 6
多克隆

标记

  • 6
This TCTEX1D4 antibody is un-conjugated

应用范围

  • 6
  • 2
  • 1
  • 1
Western Blotting (WB), Immunohistochemistry (IHC), Immunohistochemistry (Paraffin-embedded Sections) (IHC (p))
  • 抗原表位

    • 3
    • 1
    • 1
    • 1
    N-Term

    特异性

    TCTEX1D4 is predicted to not cross-react with other members of the TCTEX-type family.

    纯化方法

    Immunoaffinity purified

    亚型

    IgG
  • 应用备注

    Approved: IHC, IHC-P (5 μg/mL), WB (1 - 2 μg/mL)

    Usage: TCTEX1D4 antibody can be used for detection of TCTEX1D4 by Western blot at 1-2 μg/mL.

    说明

    Target Species of Antibody: Human

    限制

    仅限研究用
  • 状态

    Liquid

    浓度

    Lot specific

    缓冲液

    PBS, 0.02 % sodium azide

    储存液

    Sodium azide

    注意事项

    This product contains Sodium azide: a POISONOUS AND HAZARDOUS SUBSTANCE which should be handled by trained staff only.

    注意事项

    Avoid repeated freezing and thawing.

    储存条件

    4 °C,-20 °C

    储存方法

    Store at 4°C for 3 months and -20°C, stable for up to 1 year. Avoid repeated freeze-thaw cycles.

    有效期

    12 months
  • 抗原

    TCTEX1D4 (Tctex1 Domain Containing 4 (TCTEX1D4))

    别名

    TCTEX1D4

    背景

    Name/Gene ID: TCTEX1D4

    Synonyms: TCTEX1D4, Protein N22.1, Tctex1 domain containing 4, Tctex-2-beta, Tctex2 beta

    基因ID

    343521

    UniProt

    Q5JR98
You are here: