电话:
+86 (0512) 65829739
传真:
+86 (010) 6788 5057
电子邮件:
orders@antibodies-online.cn

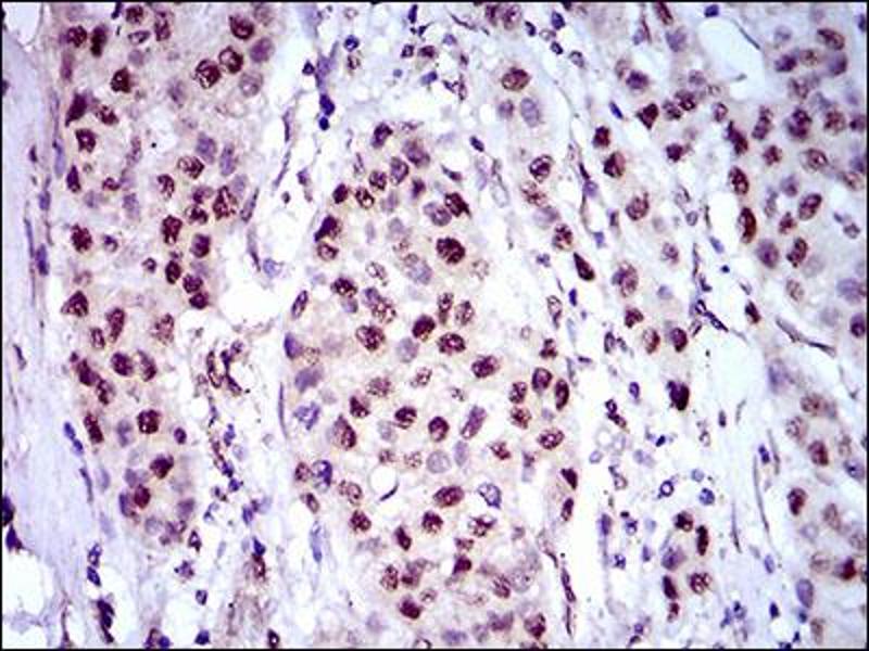
NAPSA 抗体 (AA 20-158)

This 小鼠 单克隆 antibody specifically detects NAPSA in IHC, WB 和 ELISA. It exhibits reactivity toward 人 和 大鼠.It has been mentioned in 1 publication
产品编号 ABIN1724854
发货至: 中国
Contact our Customer Service for availability and price in your country. Contact Info

Our Local Distributor

中国
北京 101111
No. 88 KeChuang 6th Street
Beijing Economic Technological Development Area
Room 801-803
4A Biotech Co.,Ltd.
Tel +86 (0512) 65829739 传真 +86 (010) 6788 5057

Quick Overview for NAPSA 抗体 (AA 20-158) (ABIN1724854)

抗原

See all NAPSA 抗体
NAPSA (Napsin A Aspartic Peptidase (NAPSA))

适用

  • 136
  • 18
  • 9
  • 2
  • 1
  • 1
  • 1
  • 1
  • 1
人, 大鼠

宿主

  • 72
  • 65
小鼠

克隆类型

  • 91
  • 46
单克隆

标记

  • 59
  • 12
  • 6
  • 6
  • 6
  • 6
  • 6
  • 6
  • 6
  • 5
  • 3
  • 2
  • 2
  • 2
  • 2
  • 2
  • 2
  • 1
  • 1
  • 1
  • 1
This NAPSA antibody is un-conjugated

应用范围

  • 86
  • 72
  • 45
  • 27
  • 18
  • 18
  • 15
  • 12
  • 9
  • 5
  • 1
  • 1
Immunohistochemistry (IHC), Western Blotting (WB), ELISA

克隆位点

10C4B8
  • 抗原表位

    • 58
    • 9
    • 8
    • 6
    • 5
    • 4
    • 3
    • 2
    • 2
    • 2
    • 1
    • 1
    • 1
    • 1
    • 1
    • 1
    • 1
    • 1
    AA 20-158

    原理

    NAPSA Antibody

    纯化方法

    Purified antibody

    免疫原

    Purified recombinant fragment of human NAPSA (AA: 20-158) expressed in E. Coli.

    亚型

    IgG1
  • 应用备注

    ELISA: 1/10000

    限制

    仅限研究用
  • 状态

    Liquid

    缓冲液

    Purified antibody in PBS with 0.05 % sodium azide.

    储存液

    Sodium azide

    注意事项

    This product contains Sodium azide: a POISONOUS AND HAZARDOUS SUBSTANCE which should be handled by trained staff only.

    储存条件

    4 °C,-20 °C

    储存方法

    Store at 4°C short term. Aliquot and store at -20°C long term. Avoid freeze/thaw cycles.
  • Aikawa, Kawahara, Hattori, Yamaguchi, Abe, Taira, Azuma, Kage: "Comparison of the expression levels of napsin A, thyroid transcription factor-1, and p63 in nonsmall cell lung cancer using cytocentrifuged bronchial brushings." in: Cancer cytopathology, Vol. 119, Issue 5, pp. 335-45, (2011) (PubMed).

  • 抗原

    NAPSA (Napsin A Aspartic Peptidase (NAPSA))

    别名

    NAPSA

    背景

    The activation peptides of aspartic proteinases plays role as inhibitors of the active site. These peptide segments, or pro-parts, are deemed important for correct folding, targeting, and control of the activation of aspartic proteinase zymogens. The pronapsin A gene is expressed predominantly in lung and kidney. Its translation product is predicted to be a fully functional, glycosylated aspartic proteinase precursor containing an RGD motif and an additional 18 residues at its C-terminus.


    分子量

    45.4 kDa

    基因ID

    9476

    UniProt

    O96009

    途径

    Tube Formation, Asymmetric Protein Localization, Embryonic Body Morphogenesis
You are here: