电话:
+86 (0512) 65829739
传真:
+86 (010) 6788 5057
电子邮件:
orders@antibodies-online.cn

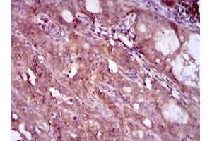
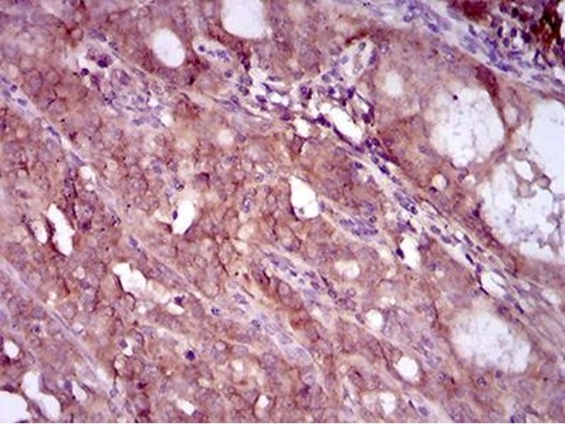
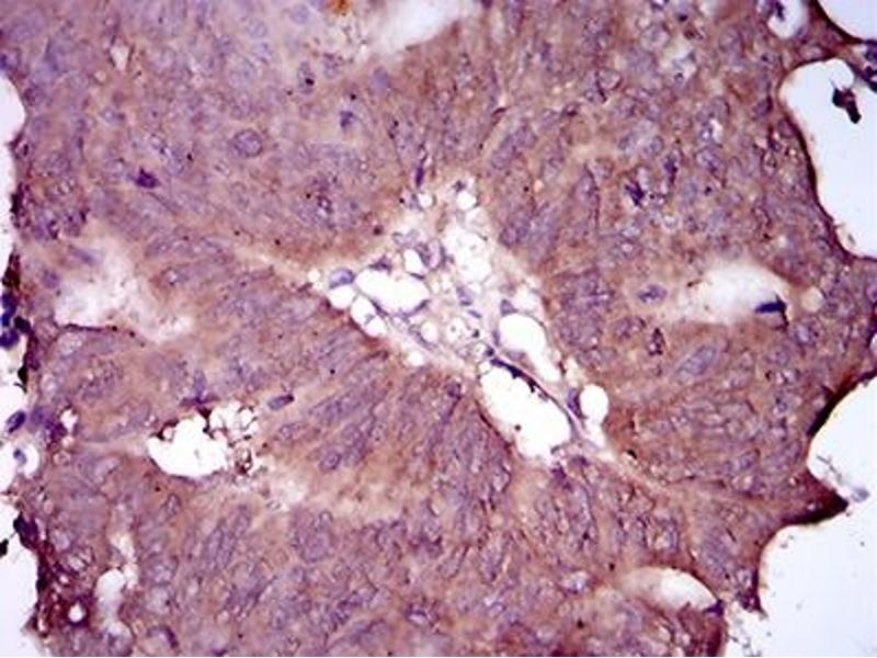
EGFR Mutant (AA 693-893) 抗体

There are 2+ publications for this product available. The 小鼠 单克隆 anti-EGFR Mutant antibody is suitable to detect EGFR Mutant in samples from 人. It has been validated for ELISA, IHC, FACS 和 WB.
产品编号 ABIN1724825
发货至: 中国
Contact our Customer Service for availability and price in your country. Contact Info

Our Local Distributor

中国
北京 101111
No. 88 KeChuang 6th Street
Beijing Economic Technological Development Area
Room 801-803
4A Biotech Co.,Ltd.
Tel +86 (0512) 65829739 传真 +86 (010) 6788 5057

Quick Overview for EGFR Mutant (AA 693-893) 抗体 (ABIN1724825)

抗原

EGFR Mutant

适用

宿主

  • 2
小鼠

克隆类型

  • 2
单克隆

标记

  • 2
非结合性

应用范围

ELISA, Immunohistochemistry (IHC), Flow Cytometry (FACS), Western Blotting (WB)

克隆位点

5G9B5
  • 抗原表位

    • 2
    • 2
    AA 693-893

    原理

    EGFR mutant Antibody

    产品特性

    Mutant

    纯化方法

    Purified antibody

    免疫原

    Purified recombinant fragment of human EGFR mutant (AA: 693-893) expressed in E. Coli.

    亚型

    IgG1
  • 应用备注

    ELISA: 1/10000

    FCM: 1/200 - 1/400

    限制

    仅限研究用
  • 状态

    Liquid

    缓冲液

    Purified antibody in PBS with 0.05 % sodium azide.

    储存液

    Sodium azide

    注意事项

    This product contains Sodium azide: a POISONOUS AND HAZARDOUS SUBSTANCE which should be handled by trained staff only.

    储存条件

    4 °C,-20 °C

    储存方法

    Store at 4°C short term. Aliquot and store at -20°C long term. Avoid freeze/thaw cycles.
  • Derer, Bauer, Lohse, Scheel, Berger, Kellner, Peipp, Valerius: "Impact of epidermal growth factor receptor (EGFR) cell surface expression levels on effector mechanisms of EGFR antibodies." in: Journal of immunology (Baltimore, Md. : 1950), Vol. 189, Issue 11, pp. 5230-9, (2012) (PubMed).

    Minder, Bayha, Becker-Pauly, Sterchi: "Meprin? transactivates the epidermal growth factor receptor (EGFR) via ligand shedding, thereby enhancing colorectal cancer cell proliferation and migration." in: The Journal of biological chemistry, Vol. 287, Issue 42, pp. 35201-11, (2012) (PubMed).

  • 抗原

    EGFR Mutant

    背景

    The protein encoded by this gene is a transmembrane glycoprotein that is a member of the protein kinase superfamily. This protein is a receptor for members of the epidermal growth factor family. EGFR is a cell surface protein that binds to epidermal growth factor. Binding of the protein to a ligand induces receptor dimerization and tyrosine autophosphorylation and leads to cell proliferation. Mutations in this gene are associated with lung cancer. Multiple alternatively spliced transcript variants that encode different protein isoforms have been found for this gene.

    分子量

    175 kDa

    基因ID

    1956

    UniProt

    P00533
You are here: