电话:
+86 (0512) 65829739
传真:
+86 (010) 6788 5057
电子邮件:
orders@antibodies-online.cn

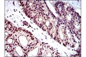
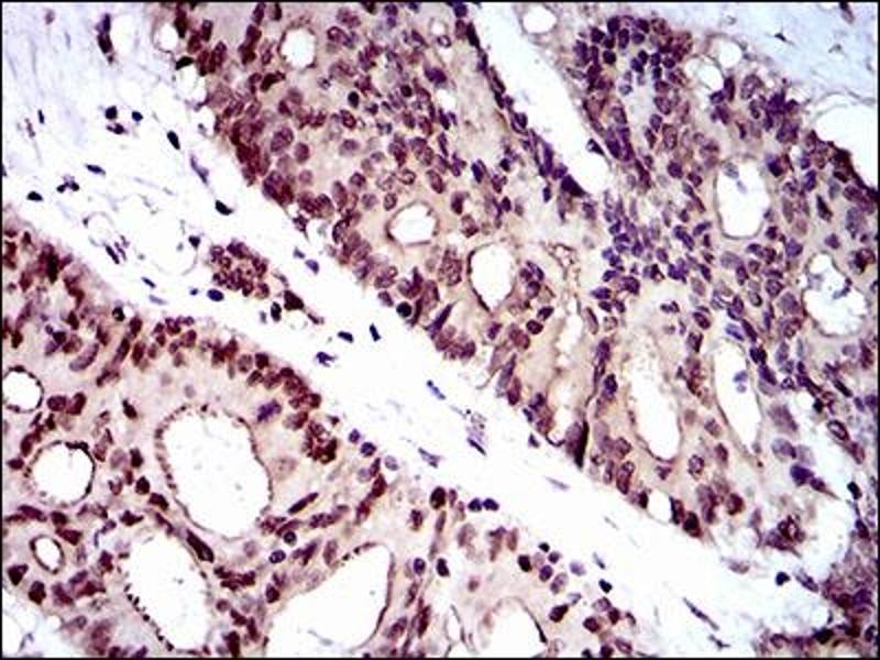
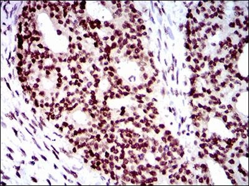
WHSC2 抗体 (AA 280-511)

Cited in 2+ publications. The 小鼠 单克隆 anti-WHSC2 antibody (Clone 6B11H8) (ABIN1724802) specifically detects WHSC2 in WB, ELISA, IHC, FACS 和 ICC. The antibody is reactive with 人 和 大鼠 samples.
产品编号 ABIN1724802
发货至: 中国
Contact our Customer Service for availability and price in your country. Contact Info

Our Local Distributor

中国
北京 101111
No. 88 KeChuang 6th Street
Beijing Economic Technological Development Area
Room 801-803
4A Biotech Co.,Ltd.
Tel +86 (0512) 65829739 传真 +86 (010) 6788 5057

Quick Overview for WHSC2 抗体 (AA 280-511) (ABIN1724802)

抗原

See all WHSC2 抗体
WHSC2 (Wolf-Hirschhorn Syndrome Candidate 2 (WHSC2))

适用

  • 46
  • 16
  • 16
  • 4
  • 3
  • 3
  • 2
  • 2
  • 2
  • 1
  • 1
  • 1
  • 1
  • 1
人, 大鼠

宿主

  • 30
  • 15
  • 1
小鼠

克隆类型

  • 34
  • 12
单克隆

标记

  • 27
  • 3
  • 2
  • 2
  • 2
  • 2
  • 2
  • 2
  • 1
  • 1
  • 1
  • 1
This WHSC2 antibody is un-conjugated

应用范围

  • 31
  • 16
  • 7
  • 7
  • 6
  • 3
  • 2
  • 2
  • 1
  • 1
  • 1
  • 1
Western Blotting (WB), ELISA, Immunohistochemistry (IHC), Flow Cytometry (FACS), Immunocytochemistry (ICC)

克隆位点

6B11H8
  • 抗原表位

    • 8
    • 4
    • 3
    • 2
    • 2
    • 2
    • 2
    • 1
    • 1
    • 1
    • 1
    • 1
    • 1
    • 1
    • 1
    AA 280-511

    原理

    WHSC2 Antibody

    纯化方法

    Purified antibody

    免疫原

    Purified recombinant fragment of human WHSC2 (AA: 280-511) expressed in E. Coli.

    亚型

    IgG2b
  • 应用备注

    ELISA: 1/10000

    FCM: 1/200 - 1/400

    ICC: 1/200 - 1/1000

    限制

    仅限研究用
  • 状态

    Liquid

    缓冲液

    Purified antibody in PBS with 0.05 % sodium azide.

    储存液

    Sodium azide

    注意事项

    This product contains Sodium azide: a POISONOUS AND HAZARDOUS SUBSTANCE which should be handled by trained staff only.

    储存条件

    4 °C,-20 °C

    储存方法

    Store at 4°C short term. Aliquot and store at -20°C long term. Avoid freeze/thaw cycles.
  • Kerzendorfer, Hannes, Colnaghi, Abramowicz, Carpenter, Vermeesch, ODriscoll: "Characterizing the functional consequences of haploinsufficiency of NELF-A (WHSC2) and SLBP identifies novel cellular phenotypes in Wolf-Hirschhorn syndrome." in: Human molecular genetics, Vol. 21, Issue 10, pp. 2181-93, (2012) (PubMed).

    Yung, Narita, Komori, Yamaguchi, Handa: "Cellular dynamics of the negative transcription elongation factor NELF." in: Experimental cell research, Vol. 315, Issue 10, pp. 1693-705, (2009) (PubMed).

  • 抗原

    WHSC2 (Wolf-Hirschhorn Syndrome Candidate 2 (WHSC2))

    别名

    WHSC2

    背景

    This gene is expressed ubiquitously with higher levels in fetal than in adult tissues. It encodes a protein sharing 93 % sequence identity with the mouse protein. Wolf-Hirschhorn syndrome (WHS) is a malformation syndrome associated with a hemizygous deletion of the distal short arm of chromosome 4. This gene is mapped to the 165 kb WHS critical region, and may play a role in the phenotype of the WHS or Pitt-Rogers-Danks syndrome. The encoded protein is found to be capable of reacting with HLA-A2-restricted and tumor-specific cytotoxic T lymphocytes, suggesting a target for use in specific immunotherapy for a large number of cancer patients. This protein has also been shown to be a member of the NELF (negative elongation factor) protein complex that participates in the regulation of RNA polymerase II transcription elongation.

    分子量

    57.3 kDa

    基因ID

    7469

    途径

    Chromatin Binding
You are here: