电话:
+86 (0512) 65829739
传真:
+86 (010) 6788 5057
电子邮件:
orders@antibodies-online.cn

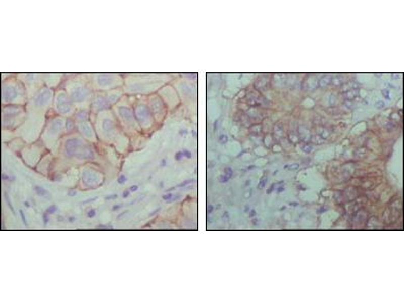
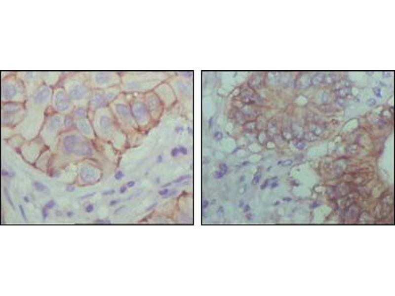
EhpB1 (AA 19-133) 抗体

There are 2+ publications for this product available. The 小鼠 单克隆 anti-EhpB1 antibody is suitable to detect EhpB1 in samples from 人. It has been validated for IHC, ELISA 和 WB.
产品编号 ABIN1724690
发货至: 中国
Contact our Customer Service for availability and price in your country. Contact Info

Our Local Distributor

中国
北京 101111
No. 88 KeChuang 6th Street
Beijing Economic Technological Development Area
Room 801-803
4A Biotech Co.,Ltd.
Tel +86 (0512) 65829739 传真 +86 (010) 6788 5057

Quick Overview for EhpB1 (AA 19-133) 抗体 (ABIN1724690)

抗原

EhpB1

适用

宿主

小鼠

克隆类型

单克隆

应用范围

Immunohistochemistry (IHC), ELISA, Western Blotting (WB)

克隆位点

5F10A4
  • 抗原表位

    AA 19-133

    原理

    EhpB1 Antibody

    纯化方法

    Ascitic fluid

    免疫原

    Purified recombinant fragment of EphB1 (aa19-133) expressed in E. Coli.

    亚型

    IgG1
  • 应用备注

    ELISA: 1/10000

    限制

    仅限研究用
  • 状态

    Liquid

    缓冲液

    Ascitic fluid containing 0.03 % sodium azide.

    储存液

    Sodium azide

    注意事项

    This product contains Sodium azide: a POISONOUS AND HAZARDOUS SUBSTANCE which should be handled by trained staff only.

    储存条件

    4 °C,-20 °C

    储存方法

    Store at 4°C short term. Aliquot and store at -20°C long term. Avoid freeze/thaw cycles.
  • Huynh-Do, Vindis, Liu, Cerretti, McGrew, Enriquez, Chen, Daniel: "Ephrin-B1 transduces signals to activate integrin-mediated migration, attachment and angiogenesis." in: Journal of cell science, Vol. 115, Issue Pt 15, pp. 3073-81, (2002) (PubMed).

    Prevost, Woulfe, Tanaka, Brass: "Interactions between Eph kinases and ephrins provide a mechanism to support platelet aggregation once cell-to-cell contact has occurred." in: Proceedings of the National Academy of Sciences of the United States of America, Vol. 99, Issue 14, pp. 9219-24, (2002) (PubMed).

  • 抗原

    EhpB1

    背景

    EhpB1: EPH receptor B1. It is a receptor for ephrin-B family members. Ephrin receptors and their ligands, the ephrins, medate numerous developmental processes, particularly in the nervous system. Based on their structures and sequence relationships, ephrins are divided into the ephrin-A (EFNA) class, which are anchored to the membrane by a glycosylphosphatidylinositol linkage, and the ephrin-B (EFNB) class, which are transmembrane proteins. The Eph family of receptors are divided into 2 groups based on the similarity of their extracellular domain sequences and their affinities for binding ephrin-A and ephrin-B ligands. Ephrin receptors make up the largest subgroup of the receptor tyrosine kinase (RTK) family.

    分子量

    110 kDa

    UniProt

    P54762
You are here: