电话:
+86 (0512) 65829739
传真:
+86 (010) 6788 5057
电子邮件:
orders@antibodies-online.cn

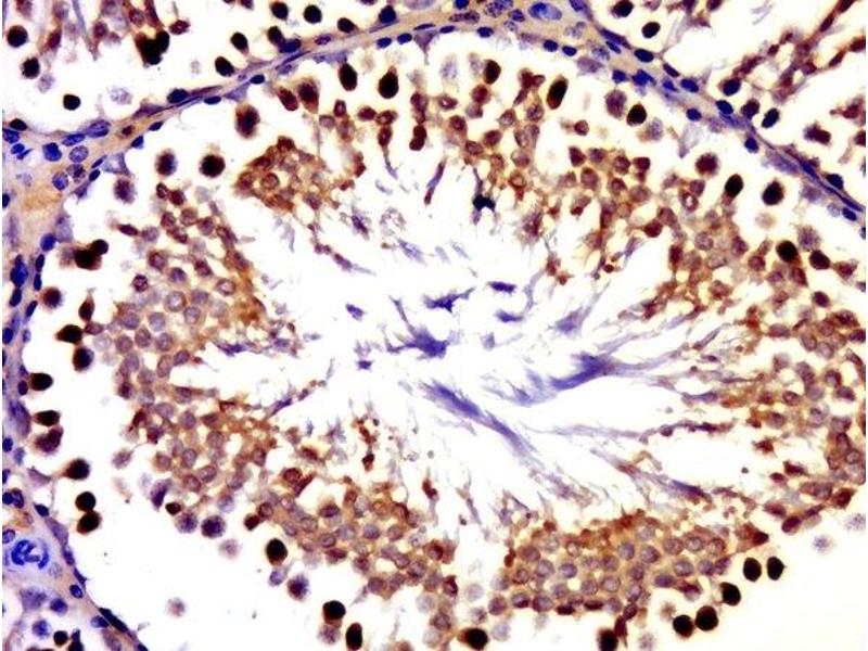
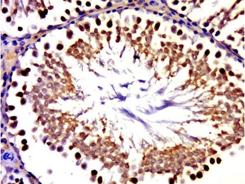
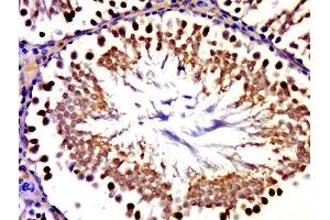
GLE1 抗体 (AA 611-698)

This 兔 多克隆 antibody specifically detects GLE1 in ELISA, IHC (p), ICC, IF (cc), IF (p) 和 IHC (fro). It exhibits reactivity toward 大鼠.
产品编号 ABIN1714807
发货至: 中国
Contact our Customer Service for availability and price in your country. Contact Info

Our Local Distributor

中国
北京 101111
No. 88 KeChuang 6th Street
Beijing Economic Technological Development Area
Room 801-803
4A Biotech Co.,Ltd.
Tel +86 (0512) 65829739 传真 +86 (010) 6788 5057

Quick Overview for GLE1 抗体 (AA 611-698) (ABIN1714807)

抗原

See all GLE1 抗体
GLE1 (GLE1 RNA Export Mediator (GLE1))

适用

  • 16
  • 5
  • 5
  • 2
  • 1
  • 1
  • 1
  • 1
  • 1
  • 1
大鼠

宿主

  • 13
  • 3

克隆类型

  • 15
  • 1
多克隆

标记

  • 12
  • 2
  • 1
  • 1
This GLE1 antibody is un-conjugated

应用范围

  • 12
  • 7
  • 6
  • 4
  • 2
  • 1
  • 1
  • 1
ELISA, Immunohistochemistry (Paraffin-embedded Sections) (IHC (p)), Immunocytochemistry (ICC), Immunofluorescence (Cultured Cells) (IF (cc)), Immunofluorescence (Paraffin-embedded Sections) (IF (p)), Immunohistochemistry (Frozen Sections) (IHC (fro))
  • 抗原表位

    • 5
    • 2
    • 2
    • 1
    • 1
    • 1
    • 1
    • 1
    • 1
    AA 611-698

    交叉反应

    大鼠

    预测反应

    Human,Mouse,Dog,Cow,Sheep,Pig,Horse

    纯化方法

    Purified by Protein A.

    免疫原

    KLH conjugated synthetic peptide derived from human GLE1

    亚型

    IgG
  • 应用备注

    ELISA 1:500-1000
    IHC-P 1:200-400
    IHC-F 1:100-500
    IF(IHC-P) 1:50-200
    IF(IHC-F) 1:50-200
    IF(ICC) 1:50-200
    ICC 1:100-500

    限制

    仅限研究用
  • 状态

    Liquid

    浓度

    1 μg/μL

    缓冲液

    0.01M TBS( pH 7.4) with 1 % BSA, 0.02 % Proclin300 and 50 % Glycerol.

    储存液

    ProClin

    注意事项

    This product contains ProClin: a POISONOUS AND HAZARDOUS SUBSTANCE, which should be handled by trained staff only.

    储存条件

    4 °C,-20 °C

    储存方法

    Shipped at 4°C. Store at -20°C for one year. Avoid repeated freeze/thaw cycles.

    有效期

    12 months
  • 抗原

    GLE1 (GLE1 RNA Export Mediator (GLE1))

    别名

    GLE1

    背景

    Synonyms: GLE 1, GLE1, GLE1 like protein, GLE1 like RNA export mediator, GLE1 RNA export mediator homolog, GLE1 RNA export mediator like yeast, GLE1-like protein, GLE1_HUMAN, GLE1L, hGLE1, LCCS 1, LCCS, LCCS1, Nucleoporin GLE1.

    Background: Protein transport across the nucleus is a selective, multi-step process involving several cytoplasmic factors that mediate protein passage through the nuclear pore complex (NPC). Gle1, also known as GLE1L, is a 698 amino acid protein that localizes to both the nucleus and the cytoplasm and belongs to the Gle1 family. Expressed as two alternatively spliced isoforms, Gle1 associates with the NPC and is required for the transport of poly(A)-containing mRNAs from the nucleus to the cytoplasm. Defects in the gene encoding Gle1 are the cause of lethal congenital contracture syndrome type 1 (LCCS1) and lethal arthrogryposis with anterior horn cell disease (LAAHD), the former of which is characterized by early fetal hydrops and akinesia, micrognatia, pulmonary hypoplasia, pterygia and prenatal death, while the latter is associated with respiratory failure.

    基因ID

    2733
You are here: