电话:
+86 (0512) 65829739
传真:
+86 (010) 6788 5057
电子邮件:
orders@antibodies-online.cn

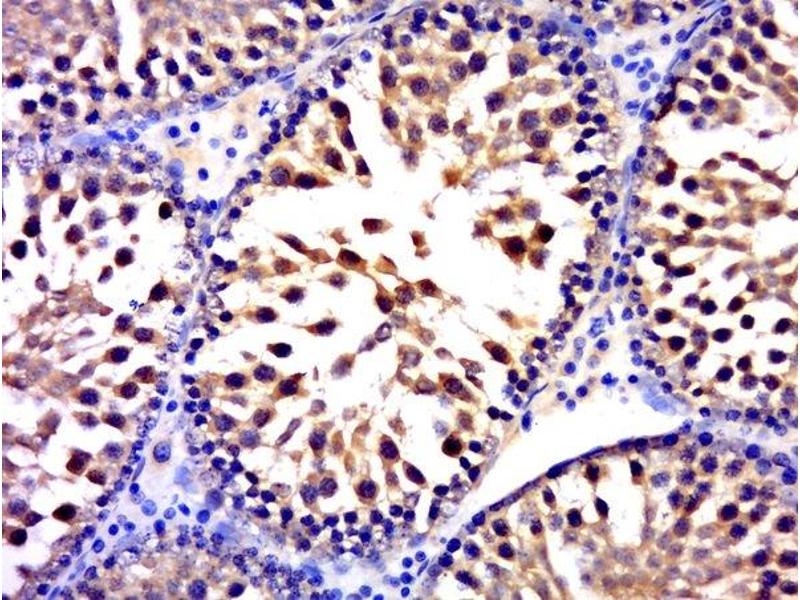
SRSF10 抗体 (AA 151-250)

The 兔 多克隆 anti-SRSF10 antibody is suitable to detect SRSF10 in samples from 小鼠 和 大鼠. It has been validated for WB, ELISA, IF (p), IF (cc), IHC (p), IHC (fro) 和 ICC.
产品编号 ABIN1714778
发货至: 中国
Contact our Customer Service for availability and price in your country. Contact Info

Our Local Distributor

中国
北京 101111
No. 88 KeChuang 6th Street
Beijing Economic Technological Development Area
Room 801-803
4A Biotech Co.,Ltd.
Tel +86 (0512) 65829739 传真 +86 (010) 6788 5057

Quick Overview for SRSF10 抗体 (AA 151-250) (ABIN1714778)

抗原

See all SRSF10 抗体
SRSF10 (serine/arginine-Rich Splicing Factor 10 (SRSF10))

适用

  • 30
  • 22
  • 18
  • 5
  • 4
  • 4
  • 3
  • 3
  • 3
  • 2
  • 1
小鼠, 大鼠

宿主

  • 43
  • 1

克隆类型

  • 43
  • 1
多克隆

标记

  • 19
  • 4
  • 4
  • 4
  • 1
  • 1
  • 1
  • 1
  • 1
  • 1
  • 1
  • 1
  • 1
  • 1
  • 1
  • 1
  • 1
This SRSF10 antibody is un-conjugated

应用范围

  • 33
  • 18
  • 13
  • 12
  • 8
  • 5
  • 2
  • 2
Western Blotting (WB), ELISA, Immunofluorescence (Paraffin-embedded Sections) (IF (p)), Immunofluorescence (Cultured Cells) (IF (cc)), Immunohistochemistry (Paraffin-embedded Sections) (IHC (p)), Immunohistochemistry (Frozen Sections) (IHC (fro)), Immunocytochemistry (ICC)
  • 抗原表位

    • 14
    • 8
    • 8
    • 4
    • 3
    • 2
    • 1
    • 1
    • 1
    • 1
    AA 151-250

    交叉反应

    小鼠, 大鼠

    预测反应

    Human,Dog,Cow,Sheep,Pig

    纯化方法

    Purified by Protein A.

    免疫原

    KLH conjugated synthetic peptide derived from human FUSIP1

    亚型

    IgG
  • 应用备注

    WB 1:300-5000
    ELISA 1:500-1000
    IHC-P 1:200-400
    IHC-F 1:100-500
    IF(IHC-P) 1:50-200
    IF(IHC-F) 1:50-200
    IF(ICC) 1:50-200
    ICC 1:100-500

    限制

    仅限研究用
  • 状态

    Liquid

    浓度

    1 μg/μL

    缓冲液

    0.01M TBS( pH 7.4) with 1 % BSA, 0.02 % Proclin300 and 50 % Glycerol.

    储存液

    ProClin

    注意事项

    This product contains ProClin: a POISONOUS AND HAZARDOUS SUBSTANCE, which should be handled by trained staff only.

    储存条件

    4 °C,-20 °C

    储存方法

    Shipped at 4°C. Store at -20°C for one year. Avoid repeated freeze/thaw cycles.

    有效期

    12 months
  • 抗原

    SRSF10 (serine/arginine-Rich Splicing Factor 10 (SRSF10))

    别名

    FUSIP1

    背景

    Synonyms: 40 kDa SR repressor protein, 40 kDa SR-repressor protein, Anti TLS associated protein with SR repeats, arginine/serine-rich 13A, FUS interacting protein serine arginine rich 1, FUS interacting protein serine arginine rich 2, FUS interacting serine arginine rich protein 1, FUS-interacting serine-arginine-rich protein 1, FUSIP1, FUSIP2, NSSR, OTTHUMP00000015774, Serine arginine repressor protein 40 kDa, Serine/arginine-rich splicing factor 10, SFRS13, SFRS13A, Splicing factor, Splicing factor arginine serine rich 13, Splicing factor SRp38, SRp38, SRp40, SRrp40, SRS10_HUMAN, Srsf10, TASR, TASR1, TASR2, TLS associated protein TASR1, TLS associated protein TASR2, TLS associated protein with Ser Arg repeats, TLS associated protein with SR repeats, TLS associated serine arginine protein 1, TLS associated serine arginine protein 2, TLS associated serine arginine protein, TLS associated SR protein, TLS-associated protein with Ser-Arg repeats, TLS-associated protein with SR repeats, TLS-associated serine-arginine protein, TLS-associated SR protein.

    Background: FUSIP1 is a member of the Serine/Arginine (SR) family of splicing factors. Members of the SR family all contain one or more RNA recognition motifs (RRM) and an SR-rich domain. SR factors are not only essential for constitutive splicing but also regulate splicing in a concentration-dependent manner by influencing the selection of alternative splice sites. Expressed in a variety of tissues with low expression in kidney, liver and heart, FUSIP1 localizes to the cytoplasm and nuclear speckles. In its dephosphorylated form (occurring during M phase of the cell cycle), FUSIP1 functions as a potent general repressor of pre-mRNA splicing and can interact with U1 SnRNP 70. In its phosphorylated form, FUSIP1 interacts with Tra-2 and, together, they may cooperate in the regulation of splicing. Four isoforms exist for FUSIP1. In neurons, FUSIP1 isoforms may act to either positively or negatively regulate alternative splicing.

    基因ID

    10772

    途径

    Ribonucleoprotein Complex Subunit Organization
You are here: