电话:
+86 (0512) 65829739
传真:
+86 (010) 6788 5057
电子邮件:
orders@antibodies-online.cn

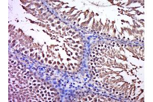
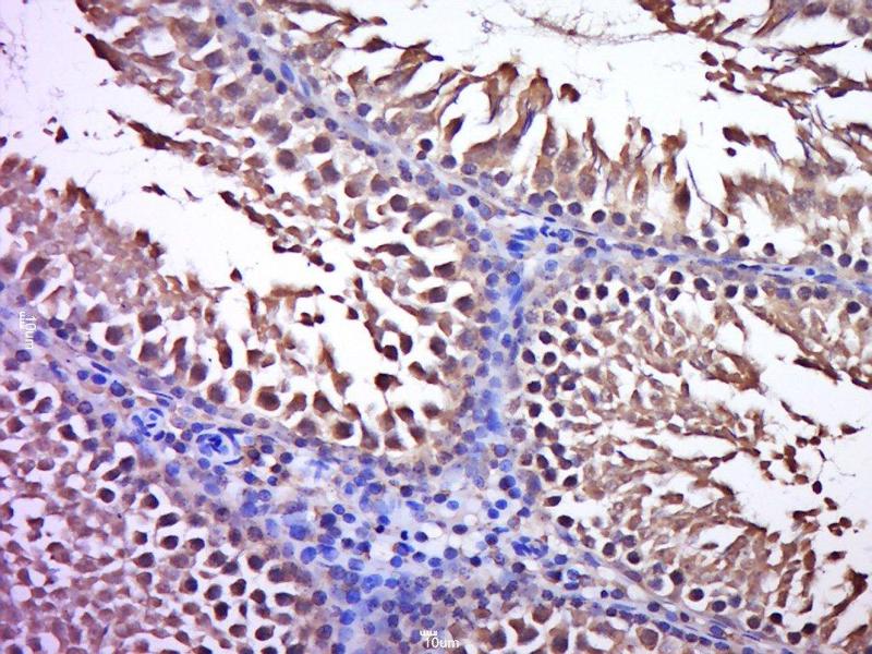
SSUH2 抗体 (AA 51-150)

The 兔 多克隆 anti-SSUH2 antibody (ABIN1714425) specifically detects SSUH2 in WB, IF (cc), IF (p), ELISA, IHC (fro), IHC (p) 和 ICC. The antibody is reactive with 小鼠 和 大鼠 samples.
产品编号 ABIN1714425
发货至: 中国
Contact our Customer Service for availability and price in your country. Contact Info

Our Local Distributor

中国
北京 101111
No. 88 KeChuang 6th Street
Beijing Economic Technological Development Area
Room 801-803
4A Biotech Co.,Ltd.
Tel +86 (0512) 65829739 传真 +86 (010) 6788 5057

Quick Overview for SSUH2 抗体 (AA 51-150) (ABIN1714425)

抗原

SSUH2 (Ssu-2 Homolog (C. Elegans) (SSUH2))

适用

  • 16
  • 14
  • 4
  • 1
  • 1
  • 1
  • 1
小鼠, 大鼠

宿主

  • 18

克隆类型

  • 18
多克隆

标记

  • 4
  • 1
  • 1
  • 1
  • 1
  • 1
  • 1
  • 1
  • 1
  • 1
  • 1
  • 1
  • 1
  • 1
  • 1
This SSUH2 antibody is un-conjugated

应用范围

Western Blotting (WB), Immunofluorescence (Cultured Cells) (IF (cc)), Immunofluorescence (Paraffin-embedded Sections) (IF (p)), ELISA, Immunohistochemistry (Frozen Sections) (IHC (fro)), Immunohistochemistry (Paraffin-embedded Sections) (IHC (p)), Immunocytochemistry (ICC)
  • 抗原表位

    • 14
    • 1
    • 1
    • 1
    • 1
    AA 51-150

    交叉反应

    小鼠, 大鼠

    预测反应

    Human,Dog,Sheep

    纯化方法

    Purified by Protein A.

    免疫原

    KLH conjugated synthetic peptide derived from human C3orf32

    亚型

    IgG
  • 应用备注

    WB 1:300-5000
    ELISA 1:500-1000
    IHC-P 1:200-400
    IHC-F 1:100-500
    IF(IHC-P) 1:50-200
    IF(IHC-F) 1:50-200
    IF(ICC) 1:50-200
    ICC 1:100-500

    限制

    仅限研究用
  • 状态

    Liquid

    浓度

    1 μg/μL

    缓冲液

    0.01M TBS( pH 7.4) with 1 % BSA, 0.02 % Proclin300 and 50 % Glycerol.

    储存液

    ProClin

    注意事项

    This product contains ProClin: a POISONOUS AND HAZARDOUS SUBSTANCE, which should be handled by trained staff only.

    储存条件

    4 °C,-20 °C

    储存方法

    Shipped at 4°C. Store at -20°C for one year. Avoid repeated freeze/thaw cycles.

    有效期

    12 months
  • 抗原

    SSUH2 (Ssu-2 Homolog (C. Elegans) (SSUH2))

    别名

    C3orf32

    背景

    Synonyms: chromosome 3 open reading frame 32, fls485, SSU-2, SSUH2, SSUH2 ssu-2 homolog C. elegans, uncharacterized protein C3orf32 homolog, SSUH2_HUMAN.

    Background: C3orf32 (chromosome 3 open reading frame 32), also known as fls485, is a 353 amino acid protein encoded by a gene that maps to human chromosome 3p26.1. Chromosome 3 is made up of approximately 214 million bases encoding over 1,100 genes. Notably, there is a chemokine receptor gene cluster and a variety of human cancer related loci on chromosome 3. Particular regions of the chromosome 3 short arm are deleted in many types of cancer cells. Key tumor suppressing genes on chromosome 3 encode apoptosis mediator RASSF1, cell migration regulator HYAL1 and angiogenesis suppressor SEMA3B. Marfan Syndrome, porphyria, von Hippel-Lindau syndrome, osteogenesis imperfecta and Charcot-Marie-Tooth disease are a few of the numerous genetic diseases associated with chromosome 3.

    基因ID

    51066
You are here: