电话:
+86 (0512) 65829739
传真:
+86 (010) 6788 5057
电子邮件:
orders@antibodies-online.cn

SCXA 抗体 (AA 165-200)

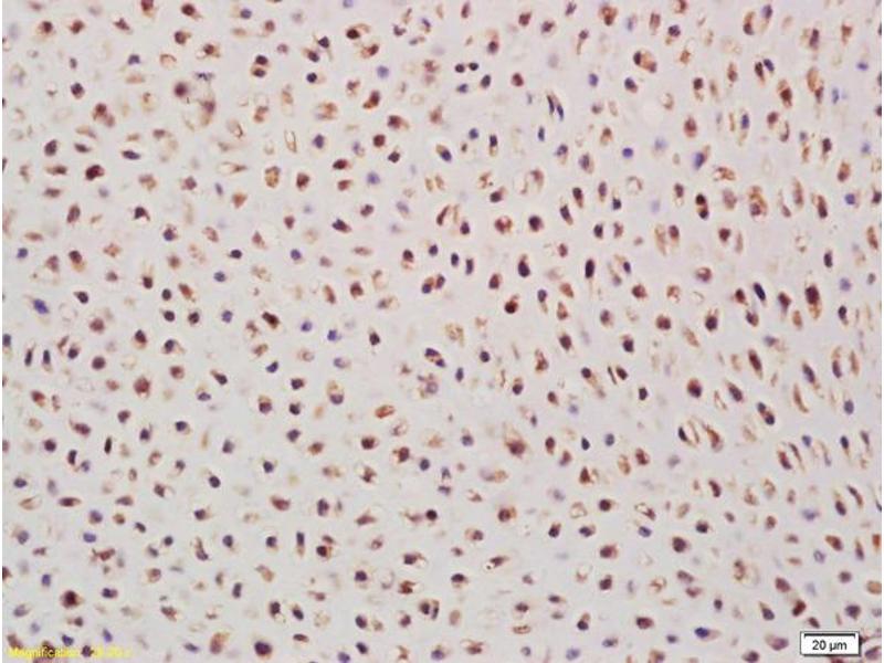
The 兔 多克隆 anti-SCXA antibody is suitable to detect SCXA in samples from 人, 小鼠 和 大鼠. It has been validated for WB, IF (p) 和 IHC (p).
产品编号 ABIN1714070
发货至: 中国
Contact our Customer Service for availability and price in your country. Contact Info

Our Local Distributor

中国
北京 101111
No. 88 KeChuang 6th Street
Beijing Economic Technological Development Area
Room 801-803
4A Biotech Co.,Ltd.
Tel +86 (0512) 65829739 传真 +86 (010) 6788 5057

Quick Overview for SCXA 抗体 (AA 165-200) (ABIN1714070)

抗原

See all SCXA 抗体
SCXA (Scleraxis (SCXA))

适用

人, 小鼠, 大鼠

宿主

  • 25
  • 3

克隆类型

  • 26
  • 3
多克隆

标记

  • 11
  • 2
  • 2
  • 2
  • 2
  • 1
  • 1
  • 1
  • 1
  • 1
  • 1
  • 1
  • 1
  • 1
  • 1
This SCXA antibody is un-conjugated

应用范围

  • 15
  • 10
  • 9
  • 3
  • 3
  • 3
  • 1
  • 1
Western Blotting (WB), Immunofluorescence (Paraffin-embedded Sections) (IF (p)), Immunohistochemistry (Paraffin-embedded Sections) (IHC (p))
  • 抗原表位

    • 12
    • 7
    • 5
    • 3
    • 2
    • 1
    AA 165-200

    纯化方法

    Purified by Protein A.

    免疫原

    KLH conjugated synthetic peptide derived from human SCXA/Scleraxis

    亚型

    IgG
  • 应用备注

    WB(1:100-1000), IHC-P(1:100-500), IF(IHC-P)(1:50-200)

    限制

    仅限研究用
  • 状态

    Liquid

    浓度

    1 μg/μL

    缓冲液

    Aqueous buffered solution containing 100 μg/mL BSA, 50 % glycerol and 0.09 % sodium azide.

    储存液

    Sodium azide

    注意事项

    This product contains Sodium azide: a POISONOUS AND HAZARDOUS SUBSTANCE which should be handled by trained staff only.

    储存条件

    -20 °C

    储存方法

    Store at -20°C

    有效期

    12 months
  • 抗原

    SCXA (Scleraxis (SCXA))

    背景

    Plays an early essential role in mesoderm formation, as well as a later role in formation of somite-derived chondrogenic lineages.

    Subcellular location: Nucleus


    Synonyms: SCXA, SCXB, bHLHa48, Basic helix-loop-helix transcription factor scleraxis, Class A basic helix-loop-helix protein 41, bHLHa41, Class A basic helix-loop-helix protein 48, SCX

    基因ID

    642658

    UniProt

    Q7RTU7
You are here: