电话:
+86 (0512) 65829739
传真:
+86 (010) 6788 5057
电子邮件:
orders@antibodies-online.cn

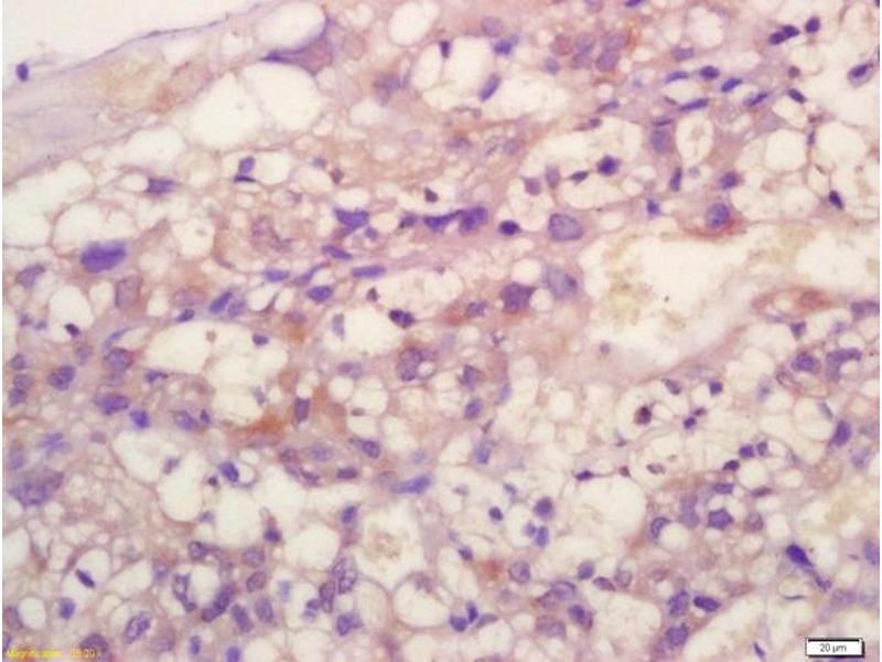
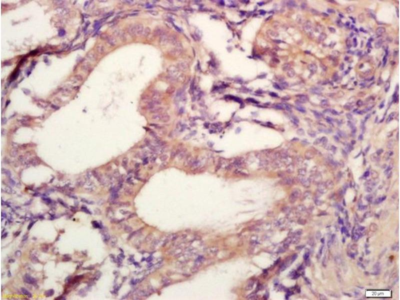
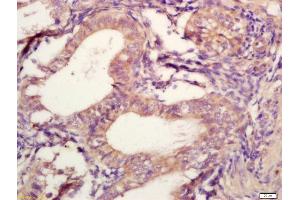
TIMP2 抗体 (AA 51-150)

The 兔 多克隆 anti-TIMP2 antibody (ABIN1713918) specifically detects TIMP2 in WB, ELISA, ICC, IHC (p), IF (cc), IF (p) 和 IHC (fro). The antibody is reactive with 人, 大鼠 和 小鼠 samples.
产品编号 ABIN1713918
发货至: 中国
Contact our Customer Service for availability and price in your country. Contact Info

Our Local Distributor

中国
北京 101111
No. 88 KeChuang 6th Street
Beijing Economic Technological Development Area
Room 801-803
4A Biotech Co.,Ltd.
Tel +86 (0512) 65829739 传真 +86 (010) 6788 5057

Quick Overview for TIMP2 抗体 (AA 51-150) (ABIN1713918)

抗原

See all TIMP2 抗体
TIMP2 (Metalloproteinase Inhibitor 2 (TIMP2))

适用

  • 156
  • 121
  • 90
  • 47
  • 45
  • 43
  • 42
  • 13
  • 13
  • 11
  • 10
  • 7
  • 4
  • 3
  • 1
  • 1
  • 1
  • 1
人, 大鼠, 小鼠

宿主

  • 144
  • 58
  • 8
  • 3
  • 1

克隆类型

  • 126
  • 88
多克隆

标记

  • 80
  • 22
  • 9
  • 5
  • 5
  • 5
  • 5
  • 5
  • 5
  • 4
  • 4
  • 4
  • 4
  • 4
  • 4
  • 4
  • 4
  • 3
  • 3
  • 3
  • 3
  • 3
  • 3
  • 3
  • 3
  • 3
  • 3
  • 3
  • 2
  • 2
  • 2
  • 1
  • 1
This TIMP2 antibody is un-conjugated

应用范围

  • 140
  • 84
  • 39
  • 38
  • 32
  • 30
  • 28
  • 25
  • 23
  • 20
  • 19
  • 10
  • 6
  • 4
  • 4
  • 2
  • 1
  • 1
  • 1
Western Blotting (WB), ELISA, Immunocytochemistry (ICC), Immunohistochemistry (Paraffin-embedded Sections) (IHC (p)), Immunofluorescence (Cultured Cells) (IF (cc)), Immunofluorescence (Paraffin-embedded Sections) (IF (p)), Immunohistochemistry (Frozen Sections) (IHC (fro))
  • 抗原表位

    • 37
    • 36
    • 15
    • 15
    • 14
    • 12
    • 11
    • 7
    • 5
    • 3
    • 3
    • 3
    • 2
    • 2
    • 1
    • 1
    • 1
    • 1
    • 1
    • 1
    • 1
    • 1
    • 1
    • 1
    • 1
    • 1
    AA 51-150

    交叉反应

    人, 小鼠, 大鼠

    预测反应

    Dog,Cow,Sheep,Pig,Horse

    纯化方法

    Purified by Protein A.

    免疫原

    KLH conjugated synthetic peptide derived from human TIMP-2

    亚型

    IgG
  • 应用备注

    WB 1:300-5000
    ELISA 1:500-1000
    IHC-P 1:200-400
    IHC-F 1:100-500
    IF(IHC-P) 1:50-200
    IF(IHC-F) 1:50-200
    IF(ICC) 1:50-200
    ICC 1:100-500

    限制

    仅限研究用
  • 状态

    Liquid

    浓度

    1 μg/μL

    缓冲液

    0.01M TBS( pH 7.4) with 1 % BSA, 0.02 % Proclin300 and 50 % Glycerol.

    储存液

    ProClin

    注意事项

    This product contains ProClin: a POISONOUS AND HAZARDOUS SUBSTANCE, which should be handled by trained staff only.

    储存条件

    4 °C,-20 °C

    储存方法

    Shipped at 4°C. Store at -20°C for one year. Avoid repeated freeze/thaw cycles.

    有效期

    12 months
  • 抗原

    TIMP2 (Metalloproteinase Inhibitor 2 (TIMP2))

    别名

    TIMP-2

    背景

    Synonyms: DDC8, CSC-21K, KIAA1731NL, Metalloproteinase inhibitor 2, Tissue inhibitor of metalloproteinases 2, TIMP-2, TIMP2

    Background: Complexes with metalloproteinases (such as collagenases) and irreversibly inactivates them by binding to their catalytic zinc cofactor. Known to act on MMP-1, MMP-2, MMP-3, MMP-7, MMP-8, MMP-9, MMP-1, MMP-13, MMP-14, MMP-15, MMP-16 and MMP-19.

    基因ID

    7077

    UniProt

    P16035

    途径

    cAMP Metabolic Process
You are here: