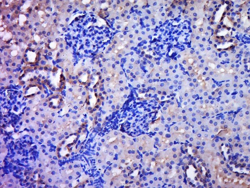
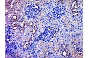
C20ORF96 抗体 (AA 101-200)
Our Local Distributor
北京 101111
Quick Overview for C20ORF96 抗体 (AA 101-200) (ABIN1713722)
抗原
适用
宿主
克隆类型
标记
应用范围
-
-
抗原表位
- AA 101-200
-
交叉反应
- 大鼠
-
预测反应
- Human,Mouse
-
纯化方法
- Purified by Protein A.
-
免疫原
- KLH conjugated synthetic peptide derived from human C20orf96
-
亚型
- IgG
-
-
-
-
应用备注
-
WB 1:300-5000
ELISA 1:500-1000
IHC-P 1:200-400
IHC-F 1:100-500
IF(IHC-P) 1:50-200
IF(IHC-F) 1:50-200
IF(ICC) 1:50-200
ICC 1:100-500 -
限制
- 仅限研究用
-
-
-
状态
- Liquid
-
浓度
- 1 μg/μL
-
缓冲液
- 0.01M TBS( pH 7.4) with 1 % BSA, 0.02 % Proclin300 and 50 % Glycerol.
-
储存液
- ProClin
-
注意事项
- This product contains ProClin: a POISONOUS AND HAZARDOUS SUBSTANCE, which should be handled by trained staff only.
-
储存条件
- 4 °C,-20 °C
-
储存方法
- Shipped at 4°C. Store at -20°C for one year. Avoid repeated freeze/thaw cycles.
-
有效期
- 12 months
-
-
- C20ORF96 (Chromosome 20 Open Reading Frame 96 (C20ORF96))
-
别名
- C20orf96
-
背景
-
Synonyms: Chromosome 20 open reading frame 96, dJ1103G7.2, Uncharacterized protein C20orf96, CT096_HUMAN.
Background: Representing about 2 % of human DNA, chromosome 20 consists of approximately 63 million bases and 600 genes. Chromosome 20 contains a region with numerous genes expressed in the epididymis, which are thought important for seminal production, and some viewed as potential targets for male contraception. The PRNP gene encoding the prion protein associated with spongiform encephalopathies, like Creutzfeldt-Jakob disease, is found on chromosome 20. Amyotrophic lateral sclerosis, spinal muscular atrophy, ring chromosome 20 epilepsy syndrome and Alagille syndrome are also associated with chromosome 20. The C20orf96 gene product has been provisionally designated C20orf96 pending further characterization.
抗原
-