电话:
+86 (0512) 65829739
传真:
+86 (010) 6788 5057
电子邮件:
orders@antibodies-online.cn

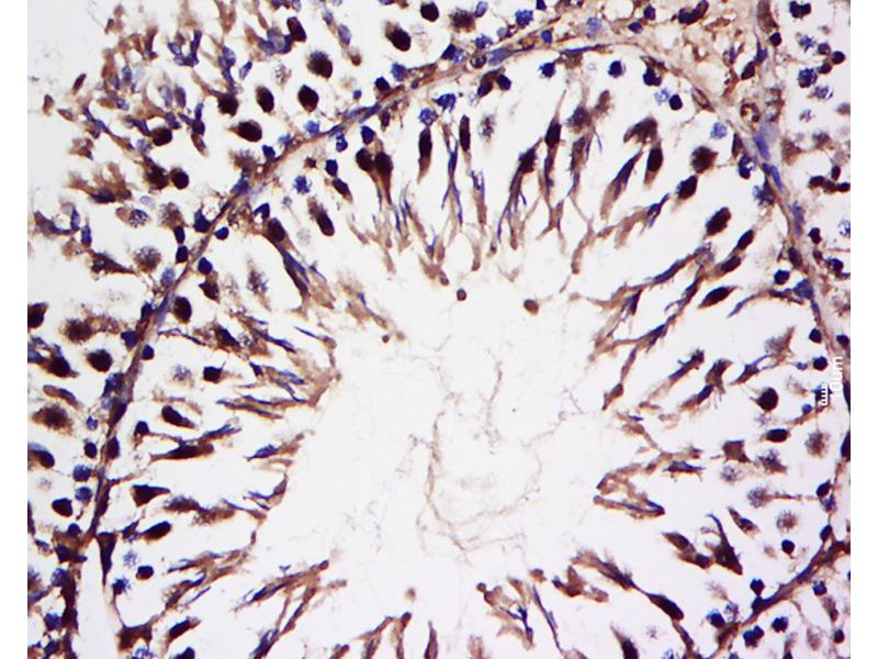
Hect E3 Ubiquitin Ligase 抗体 (AA 1-100)

The 兔 多克隆 anti-Hect E3 Ubiquitin Ligase antibody is suitable to detect Hect E3 Ubiquitin Ligase in samples from 大鼠. It has been validated for ELISA, ICC, IF (cc), IF (p), IHC (fro) 和 IHC (p).
产品编号 ABIN1713527
发货至: 中国
Contact our Customer Service for availability and price in your country. Contact Info

Our Local Distributor

中国
北京 101111
No. 88 KeChuang 6th Street
Beijing Economic Technological Development Area
Room 801-803
4A Biotech Co.,Ltd.
Tel +86 (0512) 65829739 传真 +86 (010) 6788 5057

Quick Overview for Hect E3 Ubiquitin Ligase 抗体 (AA 1-100) (ABIN1713527)

抗原

Hect E3 Ubiquitin Ligase (LOC662402)

适用

大鼠

宿主

克隆类型

多克隆

应用范围

ELISA, Immunocytochemistry (ICC), Immunofluorescence (Cultured Cells) (IF (cc)), Immunofluorescence (Paraffin-embedded Sections) (IF (p)), Immunohistochemistry (Frozen Sections) (IHC (fro)), Immunohistochemistry (Paraffin-embedded Sections) (IHC (p))
  • 抗原表位

    AA 1-100

    交叉反应

    大鼠

    预测反应

    Human

    纯化方法

    Purified by Protein A.

    免疫原

    KLH conjugated synthetic peptide derived from human HECT E3 ubiquitin ligase

    亚型

    IgG
  • 应用备注

    WB 1:300-5000
    ELISA 1:500-1000
    IHC-P 1:200-400
    IHC-F 1:100-500
    IF(IHC-P) 1:50-200
    IF(IHC-F) 1:50-200
    IF(ICC) 1:50-200
    ICC 1:100-500

    限制

    仅限研究用
  • 状态

    Liquid

    浓度

    1 μg/μL

    缓冲液

    0.01M TBS( pH 7.4) with 1 % BSA, 0.02 % Proclin300 and 50 % Glycerol.

    储存液

    ProClin

    注意事项

    This product contains ProClin: a POISONOUS AND HAZARDOUS SUBSTANCE, which should be handled by trained staff only.

    储存条件

    4 °C,-20 °C

    储存方法

    Shipped at 4°C. Store at -20°C for one year. Avoid repeated freeze/thaw cycles.

    有效期

    12 months
  • 抗原

    Hect E3 Ubiquitin Ligase (LOC662402)

    别名

    HECT E3 ubiquitin ligase

    背景

    Synonyms: CEB1, CEBP1, Cyclin E binding protein 1, Cyclin-E-binding protein 1, E3 ISG15--protein ligase HERC5, HECT domain and RCC1 like domain containing protein 5, HECT domain and RCC1-like domain-containing protein 5, Hect domain and RLD 5, HECT E3 ubiquitin ligase, HERC5, HERC5_HUMAN, Herc6.

    Background: HECT E3 ubiquitin ligase is a member of the HERC family of ubiquitin ligases and encodes a protein with a HECT domain and five RCC1 repeats. Pro-inflammatory cytokines upregulate expression of this gene in endothelial cells. The protein localizes to the cytoplasm and perinuclear region and functions as an interferon-induced E3 protein ligase that mediates ISGylation of protein targets. The gene lies in a cluster of HERC family genes on chromosome 4.

    基因ID

    51191
You are here: