C2ORF16 抗体 (AA 1901-1984)
Our Local Distributor
北京 101111
Quick Overview for C2ORF16 抗体 (AA 1901-1984) (ABIN1713405)
抗原
适用
宿主
克隆类型
标记
应用范围
-
-
抗原表位
- AA 1901-1984
-
交叉反应
- 人
-
纯化方法
- Purified by Protein A.
-
免疫原
- KLH conjugated synthetic peptide derived from human C2orf16
-
亚型
- IgG
-
-
-
-
应用备注
-
ELISA 1:500-1000
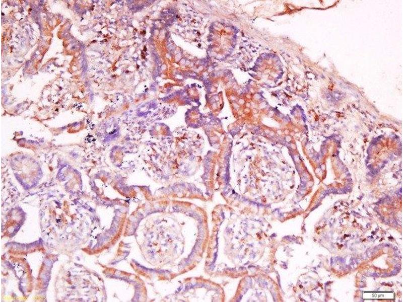
IHC-P 1:200-400
IHC-F 1:100-500
IF(IHC-P) 1:50-200
IF(IHC-F) 1:50-200
IF(ICC) 1:50-200
ICC 1:100-500 -
限制
- 仅限研究用
-
-
-
状态
- Liquid
-
浓度
- 1 μg/μL
-
缓冲液
- 0.01M TBS( pH 7.4) with 1 % BSA, 0.02 % Proclin300 and 50 % Glycerol.
-
储存液
- ProClin
-
注意事项
- This product contains ProClin: a POISONOUS AND HAZARDOUS SUBSTANCE, which should be handled by trained staff only.
-
储存条件
- 4 °C,-20 °C
-
储存方法
- Shipped at 4°C. Store at -20°C for one year. Avoid repeated freeze/thaw cycles.
-
有效期
- 12 months
-
-
- C2ORF16 (Chromosome 2 Open Reading Frame 16 (C2ORF16))
-
别名
- C2orf16
-
背景
-
Synonyms: Uncharacterized protein C2orf16, C2orf16
Background: C2orf16 (chromosome 2 open reading frame 16), also known as DKFZp434G118 or DKFZp781D2023, is a 1,984 amino acid protein encoded by a gene that maps to human chromosome 2p23.3. As the second largest human chromosome, chromosome 2 makes up approximately 8 % of the human genome and contains 237 million bases encoding over 1,400 genes. A number of genetic diseases are linked to genes on chromosome 2. Harlequin icthyosis, a rare skin deformity, is associated with mutations in the ABCA12 gene. The lipid metabolic disorder sitosterolemia is associated with ABCG5 and ABCG8. An extremely rare recessive genetic disorder, Alstr syndrome, is related to mutations in the ALMS1 gene. Chromosome 2 contains a probable vestigial second centromere as well as vestigial telomeres, which gives credence to the hypothesis that human chromosome 2 formed as a result of an ancient fusion of two ancestral chromosomes, which are still present in modern day apes.
-
基因ID
- 84226
-
UniProt
- Q68DN1
抗原
-