电话:
+86 (0512) 65829739
传真:
+86 (010) 6788 5057
电子邮件:
orders@antibodies-online.cn

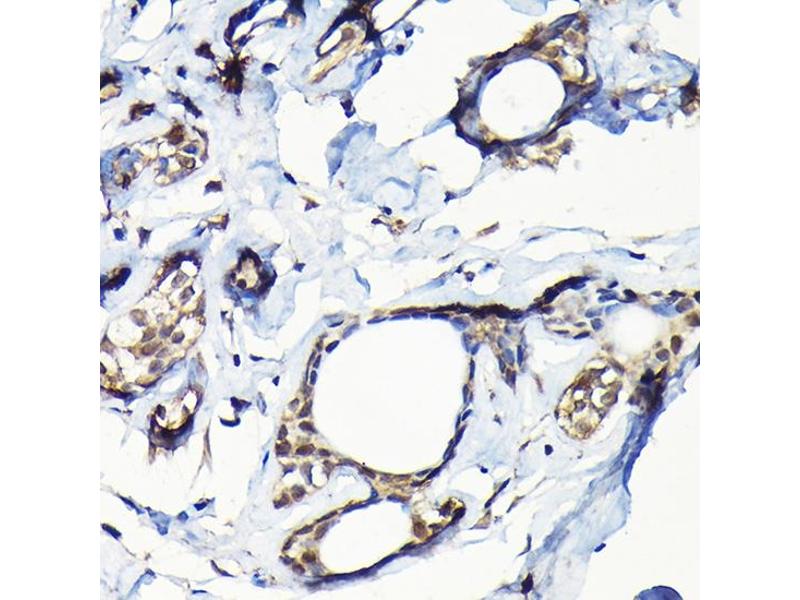
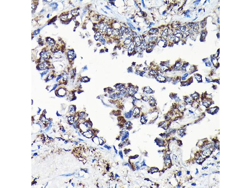
USP5 抗体 (AA 1-280)

The 兔 多克隆 anti-USP5 antibody (ABIN1683231) specifically detects USP5 in WB, IHC 和 IF. The antibody is reactive with 人 samples.
产品编号 ABIN1683231
发货至: 中国
Contact our Customer Service for availability and price in your country. Contact Info

Our Local Distributor

中国
北京 101111
No. 88 KeChuang 6th Street
Beijing Economic Technological Development Area
Room 801-803
4A Biotech Co.,Ltd.
Tel +86 (0512) 65829739 传真 +86 (010) 6788 5057

Quick Overview for USP5 抗体 (AA 1-280) (ABIN1683231)

抗原

See all USP5 抗体
USP5 (Ubiquitin Specific Peptidase 5 (USP5))

适用

  • 42
  • 8
  • 7
  • 2
  • 2
  • 1
  • 1
  • 1
  • 1
  • 1

宿主

  • 33
  • 10

克隆类型

  • 32
  • 11
多克隆

标记

  • 28
  • 3
  • 2
  • 2
  • 1
  • 1
  • 1
  • 1
  • 1
  • 1
  • 1
  • 1
This USP5 antibody is un-conjugated

应用范围

  • 29
  • 18
  • 9
  • 5
  • 4
  • 4
  • 2
  • 2
  • 1
  • 1
  • 1
Western Blotting (WB), Immunohistochemistry (IHC), Immunofluorescence (IF)
  • 抗原表位

    • 6
    • 6
    • 3
    • 3
    • 2
    • 2
    • 2
    • 1
    • 1
    • 1
    • 1
    • 1
    • 1
    AA 1-280

    序列

    MAELSEEALL SVLPTIRVPK AGDRVHKDEC AFSFDTPESE GGLYICMNTF LGFGKQYVER HFNKTGQRVY LHLRRTRRPK EEDPATGTGD PPRKKPTRLA IGVEGGFDLS EEKFELDEDV KIVILPDYLE IARDGLGGLP DIVRDRVTSA VEALLSADSA SRKQEVQAWD GEVRQVSKHA FSLKQLDNPA RIPPCGWKCS KCDMRENLWL NLTDGSILCG RRYFDGSGGN NHAVEHYRET GYPLAVKLGT ITPDGADVYS YDEDDMVLDP SLAEHLSHFG

    交叉反应

    人, 小鼠, 大鼠

    产品特性

    Polyclonal Antibodies

    免疫原

    Recombinant fusion protein containing a sequence corresponding to amino acids 1-280 of human USP5 (NP_003472.2).

    亚型

    IgG
  • 应用备注

    WB,1:1000 - 1:2000,IHC,1:50 - 1:200,IF,1:50 - 1:200

    限制

    仅限研究用
  • 缓冲液

    PBS with 0.02 % sodium azide,50 % glycerol, pH 7.3.

    储存液

    Sodium azide

    注意事项

    This product contains Sodium azide: a POISONOUS AND HAZARDOUS SUBSTANCE which should be handled by trained staff only.

    储存条件

    -20 °C

    储存方法

    Store at -20°C. Avoid freeze / thaw cycles.
  • 抗原

    USP5 (Ubiquitin Specific Peptidase 5 (USP5))

    别名

    USP5

    背景

    Ubiquitin (see MIM 191339)-dependent proteolysis is a complex pathway of protein metabolism implicated in such diverse cellular functions as maintenance of chromatin structure, receptor function, and degradation of abnormal proteins. A late step of the process involves disassembly of the polyubiquitin chains on degraded proteins into ubiquitin monomers. USP5 disassembles branched polyubiquitin chains by a sequential exo mechanism, starting at the proximal end of the chain (Wilkinson et al., 1995 [PubMed 7578059]).[supplied by OMIM, Mar 2010],USP5,ISOT,Epigenetics & Nuclear Signaling,Cell Biology & Developmental Biology,Ubiquitin,USP5

    分子量

    93 kDa/95 kDa

    基因ID

    8078

    UniProt

    P45974
You are here: