电话:
+86 (0512) 65829739
传真:
+86 (010) 6788 5057
电子邮件:
orders@antibodies-online.cn

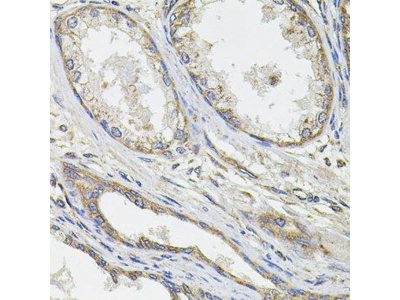
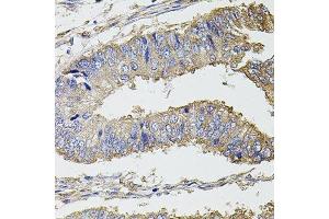
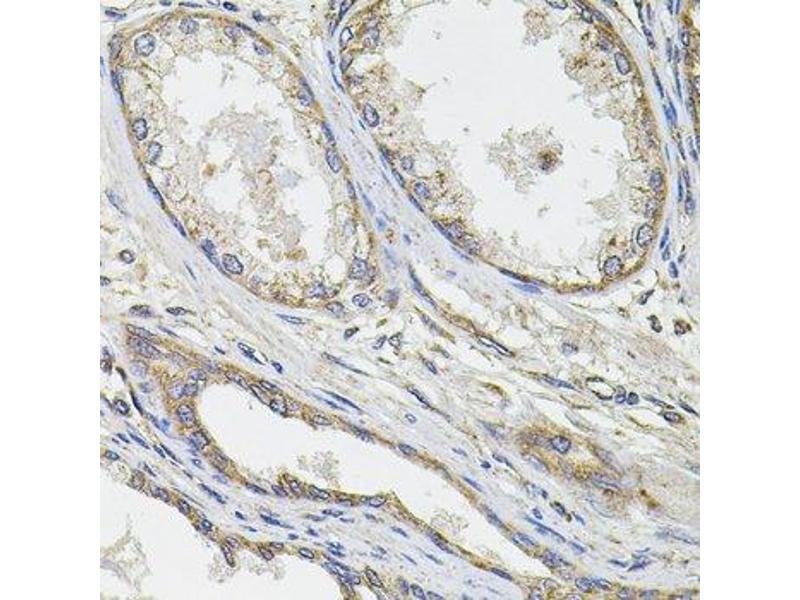
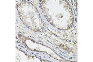
UBE2S 抗体 (AA 122-221)

The 兔 多克隆 anti-UBE2S antibody (ABIN1683198) specifically detects UBE2S in WB 和 IF. The antibody is reactive with 人 samples.
产品编号 ABIN1683198
发货至: 中国
Contact our Customer Service for availability and price in your country. Contact Info

Our Local Distributor

中国
北京 101111
No. 88 KeChuang 6th Street
Beijing Economic Technological Development Area
Room 801-803
4A Biotech Co.,Ltd.
Tel +86 (0512) 65829739 传真 +86 (010) 6788 5057

Quick Overview for UBE2S 抗体 (AA 122-221) (ABIN1683198)

抗原

See all UBE2S 抗体
UBE2S (Ubiquitin-Conjugating Enzyme E2S (UBE2S))

适用

  • 66
  • 26
  • 16
  • 4
  • 4
  • 3
  • 3
  • 3
  • 3
  • 2
  • 1
  • 1

宿主

  • 71
  • 11
  • 1

克隆类型

  • 74
  • 9
多克隆

标记

  • 47
  • 5
  • 4
  • 4
  • 3
  • 3
  • 1
  • 1
  • 1
  • 1
  • 1
  • 1
  • 1
  • 1
  • 1
  • 1
  • 1
  • 1
  • 1
  • 1
  • 1
  • 1
  • 1
This UBE2S antibody is un-conjugated

应用范围

  • 68
  • 36
  • 26
  • 13
  • 13
  • 11
  • 10
  • 8
  • 7
  • 5
  • 3
  • 2
  • 1
Western Blotting (WB), Immunofluorescence (IF)
  • 抗原表位

    • 8
    • 8
    • 7
    • 7
    • 7
    • 3
    • 2
    • 2
    • 2
    • 2
    • 1
    • 1
    AA 122-221

    序列

    HPNPESALNE EAGRLLLENY EEYAARARLL TEIHGGAGGP SGRAEAGRAL ASGTEASSTD PGAPGGPGGA EGPMAKKHAG ERDKKLAAKK KTDKKRALRR

    交叉反应

    人, 小鼠, 大鼠

    产品特性

    Polyclonal Antibodies

    免疫原

    Recombinant fusion protein containing a sequence corresponding to amino acids 122-221 of human UBE2S (NP_055316.2).

    亚型

    IgG
  • 应用备注

    WB,1:200 - 1:2000,IF,1:50 - 1:200

    限制

    仅限研究用
  • 缓冲液

    PBS with 0.02 % sodium azide,50 % glycerol, pH 7.3.

    储存液

    Sodium azide

    注意事项

    This product contains Sodium azide: a POISONOUS AND HAZARDOUS SUBSTANCE which should be handled by trained staff only.

    储存条件

    -20 °C

    储存方法

    Store at -20°C. Avoid freeze / thaw cycles.
  • 抗原

    UBE2S (Ubiquitin-Conjugating Enzyme E2S (UBE2S))

    别名

    UBE2S

    背景

    This gene encodes a member of the ubiquitin-conjugating enzyme family. The encoded protein is able to form a thiol ester linkage with ubiquitin in a ubiquitin activating enzyme-dependent manner, a characteristic property of ubiquitin carrier proteins.,UBE2S,E2-EPF,E2EPF,EPF5,Epigenetics & Nuclear Signaling,Cell Biology & Developmental Biology,Ubiquitin,Ubiquitin-Proteasome Signaling Pathway,UBE2S

    分子量

    23 kDa

    基因ID

    27338

    UniProt

    Q16763

    途径

    Ubiquitin Proteasome Pathway
You are here: