电话:
+86 (0512) 65829739
传真:
+86 (010) 6788 5057
电子邮件:
orders@antibodies-online.cn

CCR8 抗体

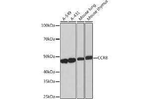
The 兔 单克隆 anti-CCR8 antibody (ABIN1683150) specifically detects CCR8 in WB 和 IF. The antibody is reactive with 人 samples.
产品编号 ABIN1683150
发货至: 中国
Contact our Customer Service for availability and price in your country. Contact Info

Our Local Distributor

中国
北京 101111
No. 88 KeChuang 6th Street
Beijing Economic Technological Development Area
Room 801-803
4A Biotech Co.,Ltd.
Tel +86 (0512) 65829739 传真 +86 (010) 6788 5057

Quick Overview for CCR8 抗体 (ABIN1683150)

抗原

See all CCR8 抗体
CCR8 (Chemokine (C-C Motif) Receptor 8 (CCR8))

适用

  • 71
  • 21
  • 14
  • 2
  • 2
  • 1
  • 1

宿主

  • 54
  • 9
  • 7
  • 4
  • 2
  • 1

克隆类型

  • 48
  • 29
单克隆

标记

  • 49
  • 5
  • 3
  • 2
  • 2
  • 2
  • 2
  • 2
  • 2
  • 2
  • 2
  • 1
  • 1
  • 1
  • 1
This CCR8 antibody is un-conjugated

应用范围

  • 48
  • 33
  • 32
  • 14
  • 12
  • 12
  • 7
  • 2
  • 2
  • 1
  • 1
Western Blotting (WB), Immunofluorescence (IF)
  • 交叉反应

    人, 小鼠

    产品特性

    Monoclonal Antibodies

    纯化方法

    Affinity purification

    免疫原

    A synthesized peptide derived from human CCR8

    亚型

    IgG
  • 应用备注

    WB,1:500 - 1:2000,IF,1:50 - 1:200

    限制

    仅限研究用
  • 缓冲液

    PBS with 0.02 % sodium azide,0.05 % BSA,50 % glycerol, pH 7.3.

    储存液

    Sodium azide

    注意事项

    This product contains Sodium azide: a POISONOUS AND HAZARDOUS SUBSTANCE which should be handled by trained staff only.

    储存条件

    -20 °C

    储存方法

    Store at -20°C. Avoid freeze / thaw cycles.
  • 抗原

    CCR8 (Chemokine (C-C Motif) Receptor 8 (CCR8))

    别名

    CCR8

    背景

    This gene encodes a member of the beta chemokine receptor family, which is predicted to be a seven transmembrane protein similar to G protein-coupled receptors. Chemokines and their receptors are important for the migration of various cell types into the inflammatory sites. This receptor protein preferentially expresses in the thymus. I-309, thymus activation-regulated cytokine (TARC) and macrophage inflammatory protein-1 beta (MIP-1 beta) have been identified as ligands of this receptor. Studies of this receptor and its ligands suggested its role in regulation of monocyte chemotaxis and thymic cell apoptosis. More specifically, this receptor may contribute to the proper positioning of activated T cells within the antigenic challenge sites and specialized areas of lymphoid tissues. This gene is located at the chemokine receptor gene cluster region. [provided by RefSeq, Jul 2008],CC-CKR-8, CCR-8, CDw198, CKRL1, CMKBR8, CMKBRL2, CY6, GPRCY6, TER1,CDs,Cell Intrinsic Innate Immunity Signaling Pathway,G protein signaling,G protein signaling_G-Protein-Coupled Receptors(GPCR),Immunology & Inflammation,Innate Immunity_Chemokines,Signal Transduction,CCR8

    分子量

    41 kDa

    基因ID

    1237

    UniProt

    P51685
You are here: