电话:
+86 (0512) 65829739
传真:
+86 (010) 6788 5057
电子邮件:
orders@antibodies-online.cn

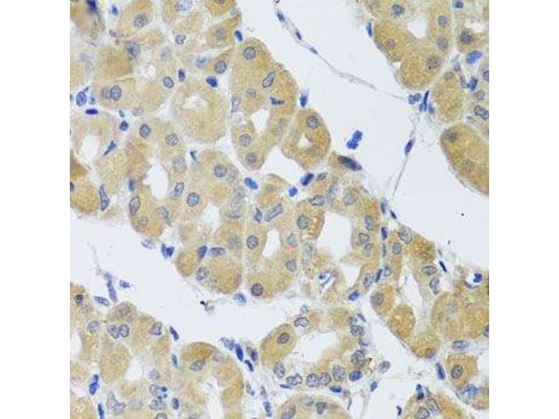
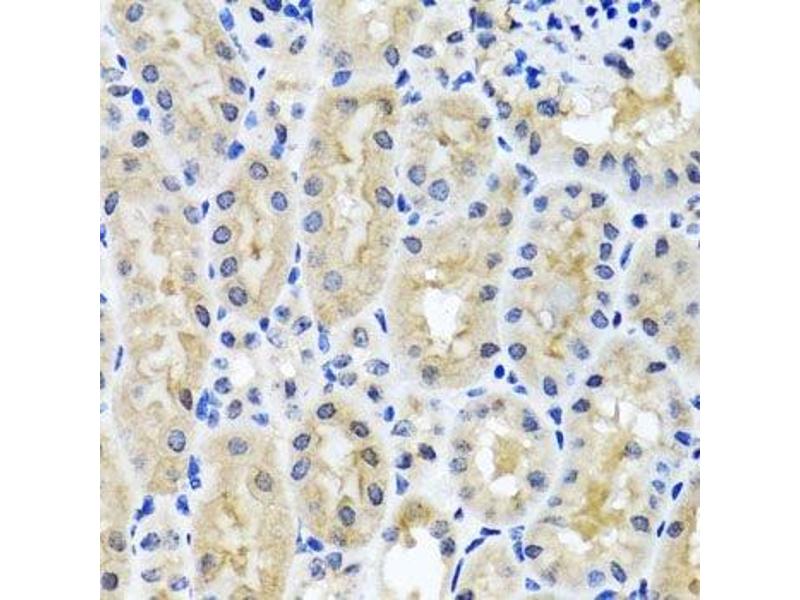
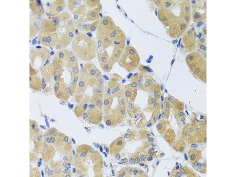
SNAP29 抗体 (AA 1-258)

The 兔 多克隆 anti-SNAP29 antibody (ABIN1682838) specifically detects SNAP29 in WB 和 IP. The antibody is reactive with 人 samples.
产品编号 ABIN1682838
发货至: 中国
Contact our Customer Service for availability and price in your country. Contact Info

Our Local Distributor

中国
北京 101111
No. 88 KeChuang 6th Street
Beijing Economic Technological Development Area
Room 801-803
4A Biotech Co.,Ltd.
Tel +86 (0512) 65829739 传真 +86 (010) 6788 5057

Quick Overview for SNAP29 抗体 (AA 1-258) (ABIN1682838)

抗原

See all SNAP29 抗体
SNAP29 (Synaptosomal-Associated Protein, 29kDa (SNAP29))

适用

  • 36
  • 34
  • 19
  • 3
  • 3
  • 2
  • 1
  • 1
  • 1

宿主

  • 49
  • 3
  • 1

克隆类型

  • 38
  • 15
多克隆

标记

  • 23
  • 3
  • 2
  • 2
  • 2
  • 2
  • 2
  • 2
  • 1
  • 1
  • 1
  • 1
  • 1
  • 1
  • 1
  • 1
  • 1
  • 1
  • 1
  • 1
  • 1
  • 1
  • 1
This SNAP29 antibody is un-conjugated

应用范围

  • 43
  • 13
  • 13
  • 13
  • 11
  • 6
  • 4
  • 3
  • 3
  • 3
  • 1
Western Blotting (WB), Immunoprecipitation (IP)
  • 抗原表位

    • 15
    • 5
    • 2
    • 1
    • 1
    • 1
    • 1
    • 1
    • 1
    • 1
    • 1
    AA 1-258

    序列

    MSAYPKSYNP FDDDGEDEGA RPAPWRDARD LPDGPDAPAD RQQYLRQEVL RRAEATAAST SRSLALMYES EKVGVASSEE LARQRGVLER TEKMVDKMDQ DLKISQKHIN SIKSVFGGLV NYFKSKPVET PPEQNGTLTS QPNNRLKEAI STSKEQEAKY QASHPNLRKL DDTDPVPRGA GSAMSTDAYP KNPHLRAYHQ KIDSNLDELS MGLGRLKDIA LGMQTEIEEQ DDILDRLTTK VDKLDVNIKS TERKVRQL

    交叉反应

    人, 小鼠, 大鼠

    产品特性

    Polyclonal Antibodies

    免疫原

    Recombinant fusion protein containing a sequence corresponding to amino acids 1-258 of human SNAP29 (NP_004773.1).

    亚型

    IgG
  • 应用备注

    WB,1:1000 - 1:4000,IP,1:50 - 1:200

    限制

    仅限研究用
  • 缓冲液

    PBS with 0.02 % sodium azide,50 % glycerol, pH 7.3.

    储存液

    Sodium azide

    注意事项

    This product contains Sodium azide: a POISONOUS AND HAZARDOUS SUBSTANCE which should be handled by trained staff only.

    储存条件

    -20 °C

    储存方法

    Store at -20°C. Avoid freeze / thaw cycles.
  • 抗原

    SNAP29 (Synaptosomal-Associated Protein, 29kDa (SNAP29))

    别名

    SNAP29

    背景

    This gene, a member of the SNAP25 gene family, encodes a protein involved in multiple membrane trafficking steps. Two other members of this gene family, SNAP23 and SNAP25, encode proteins that bind a syntaxin protein and mediate synaptic vesicle membrane docking and fusion to the plasma membrane. The protein encoded by this gene binds tightly to multiple syntaxins and is localized to intracellular membrane structures rather than to the plasma membrane. While the protein is mostly membrane-bound, a significant fraction of it is found free in the cytoplasm. Use of multiple polyadenylation sites has been noted for this gene.,SNAP29,CEDNIK,SNAP-29,Signal Transduction,Neuroscience,Cell Type Marker,Neuron marker,Synapse marker,SNAP29

    分子量

    28 kDa

    基因ID

    9342

    UniProt

    O95721
You are here: