电话:
+86 (0512) 65829739
传真:
+86 (010) 6788 5057
电子邮件:
orders@antibodies-online.cn

RHOT2 抗体 (AA 280-480)

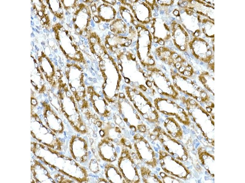
The 兔 多克隆 anti-RHOT2 antibody is suitable to detect RHOT2 in samples from 人. It has been validated for WB 和 IHC.
产品编号 ABIN1682532
发货至: 中国
Contact our Customer Service for availability and price in your country. Contact Info

Our Local Distributor

中国
北京 101111
No. 88 KeChuang 6th Street
Beijing Economic Technological Development Area
Room 801-803
4A Biotech Co.,Ltd.
Tel +86 (0512) 65829739 传真 +86 (010) 6788 5057

Quick Overview for RHOT2 抗体 (AA 280-480) (ABIN1682532)

抗原

See all RHOT2 抗体
RHOT2 (Ras Homolog Gene Family, Member T2 (RHOT2))

适用

  • 30
  • 5
  • 5
  • 1
  • 1
  • 1
  • 1
  • 1

宿主

  • 22
  • 10

克隆类型

  • 25
  • 7
多克隆

标记

  • 20
  • 2
  • 2
  • 2
  • 1
  • 1
  • 1
  • 1
  • 1
  • 1
This RHOT2 antibody is un-conjugated

应用范围

  • 23
  • 18
  • 13
  • 7
  • 2
  • 1
  • 1
Western Blotting (WB), Immunohistochemistry (IHC)
  • 抗原表位

    • 7
    • 6
    • 4
    • 2
    • 1
    • 1
    • 1
    • 1
    • 1
    • 1
    • 1
    • 1
    AA 280-480

    序列

    LELTADYLSP LIHVPPGCST ELNHLGYQFV QRVFEKHDQD RDGALSPVEL QSLFSVFPAA PWGPELPRTV RTEAGRLPLH GYLCQWTLVT YLDVRSCLGH LGYLGYPTLC EQDQAHAITV TREKRLDQEK GQTQRSVLLC KVVGARGVGK SAFLQAFLGR GLGHQDTREQ PPGYAIDTVQ VNGQEKYLIL CEVGTDGLLA T

    交叉反应

    人, 小鼠, 大鼠

    产品特性

    Polyclonal Antibodies

    免疫原

    Recombinant fusion protein containing a sequence corresponding to amino acids 280-480 of human RHOT2 (NP_620124.1).

    亚型

    IgG
  • 应用备注

    WB,1:500 - 1:2000,IHC,1:50 - 1:200

    限制

    仅限研究用
  • 缓冲液

    PBS with 0.02 % sodium azide,50 % glycerol, pH 7.3.

    储存液

    Sodium azide

    注意事项

    This product contains Sodium azide: a POISONOUS AND HAZARDOUS SUBSTANCE which should be handled by trained staff only.

    储存条件

    -20 °C

    储存方法

    Store at -20°C. Avoid freeze / thaw cycles.
  • 抗原

    RHOT2 (Ras Homolog Gene Family, Member T2 (RHOT2))

    别名

    RHOT2

    背景

    This gene encodes a member of the Rho family of GTPases. The encoded protein is localized to the outer mitochondrial membrane and plays a role in mitochondrial trafficking and fusion-fission dynamics.,RHOT2,ARHT2,C16orf39,MIRO-2,MIRO2,RASL,Signal Transduction,G protein signaling,Cell Biology & Developmental Biology,Microtubules,Endocrine & Metabolism,Mitochondrial metabolism,Mitochondrial markers,RHOT2

    分子量

    23 kDa/68 kDa

    基因ID

    89941

    UniProt

    Q8IXI1
You are here: