电话:
+86 (0512) 65829739
传真:
+86 (010) 6788 5057
电子邮件:
orders@antibodies-online.cn

NUMA1 抗体 (AA 1-309)

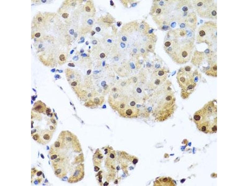
The 兔 多克隆 anti-NUMA1 antibody is suitable to detect NUMA1 in samples from 人. It has been validated for WB, IHC 和 IF.
产品编号 ABIN1681136
发货至: 中国
Contact our Customer Service for availability and price in your country. Contact Info

Our Local Distributor

中国
北京 101111
No. 88 KeChuang 6th Street
Beijing Economic Technological Development Area
Room 801-803
4A Biotech Co.,Ltd.
Tel +86 (0512) 65829739 传真 +86 (010) 6788 5057

Quick Overview for NUMA1 抗体 (AA 1-309) (ABIN1681136)

抗原

See all NUMA1 抗体
NUMA1 (Nuclear Mitotic Apparatus Protein 1 (NUMA1))

适用

  • 94
  • 16
  • 15
  • 3
  • 3
  • 2
  • 2
  • 2
  • 1
  • 1
  • 1
  • 1
  • 1

宿主

  • 78
  • 16

克隆类型

  • 65
  • 29
多克隆

标记

  • 47
  • 4
  • 4
  • 3
  • 2
  • 2
  • 2
  • 2
  • 2
  • 2
  • 2
  • 2
  • 2
  • 2
  • 2
  • 2
  • 2
  • 2
  • 2
  • 2
  • 2
  • 1
  • 1
This NUMA1 antibody is un-conjugated

应用范围

  • 44
  • 29
  • 28
  • 26
  • 26
  • 24
  • 21
  • 16
  • 10
  • 7
  • 6
  • 1
  • 1
  • 1
  • 1
  • 1
Western Blotting (WB), Immunohistochemistry (IHC), Immunofluorescence (IF)
  • 抗原表位

    • 15
    • 15
    • 5
    • 5
    • 3
    • 3
    • 2
    • 2
    • 2
    • 2
    • 1
    • 1
    • 1
    • 1
    • 1
    • 1
    • 1
    • 1
    • 1
    • 1
    • 1
    AA 1-309

    序列

    MTLHATRGAA LLSWVNSLHV ADPVEAVLQL QDCSIFIKII DRIHGTEEGQ QILKQPVSER LDFVCSFLQK NRKHPSSPEC LVSAQKVLEG SELELAKMTM LLLYHSTMSS KSPRDWEQFE YKIQAELAVI LKFVLDHEDG LNLNEDLENF LQKAPVPSTC SSTFPEELSP PSHQAKREIR FLELQKVASS SSGNNFLSGS PASPMGDILQ TPQFQMRRLK KQLADERSNR DELELELAEN RKLLTEKDAQ IAMMQQRIDR LALLNEKQAA SPLEPKELEE LRDKNESLTM RLHETLKQCQ DLKTEKSQM

    交叉反应

    人, 小鼠, 大鼠

    产品特性

    Polyclonal Antibodies

    纯化方法

    Affinity purification

    免疫原

    Recombinant fusion protein containing a sequence corresponding to amino acids 1-309 of human NUMA1 (NP_006176.2).

    亚型

    IgG
  • 应用备注

    WB,1:200 - 1:1000,IHC,1:50 - 1:100,IF,1:50 - 1:100

    限制

    仅限研究用
  • 缓冲液

    PBS with 0.02 % sodium azide,50 % glycerol, pH 7.3.

    储存液

    Sodium azide

    注意事项

    This product contains Sodium azide: a POISONOUS AND HAZARDOUS SUBSTANCE which should be handled by trained staff only.

    储存条件

    -20 °C

    储存方法

    Store at -20°C. Avoid freeze / thaw cycles.
  • 抗原

    NUMA1 (Nuclear Mitotic Apparatus Protein 1 (NUMA1))

    别名

    NUMA1

    背景

    This gene encodes a large protein that forms a structural component of the nuclear matrix. The encoded protein interacts with microtubules and plays a role in the formation and organization of the mitotic spindle during cell division. Chromosomal translocation of this gene with the RARA (retinoic acid receptor, alpha) gene on chromosome 17 have been detected in patients with acute promyelocytic leukemia. Alternative splicing results in multiple transcript variants.,NUMA1,NMP-22,NUMA,Cell Biology & Developmental Biology,Cell Cycle,NUMA1

    分子量

    109 kDa/200 kDa/201 kDa/236 kDa/238 kDa

    基因ID

    4926

    UniProt

    Q14980

    途径

    Caspase Cascade in Apoptosis, Regulation of Actin Filament Polymerization, M Phase
You are here: