电话:
+86 (0512) 65829739
传真:
+86 (010) 6788 5057
电子邮件:
orders@antibodies-online.cn

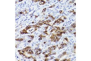
TFF3 抗体

This 兔 单克隆 antibody specifically detects TFF3 in IHC. It exhibits reactivity toward 人.
产品编号 ABIN1680916
发货至: 中国
Contact our Customer Service for availability and price in your country. Contact Info

Our Local Distributor

中国
北京 101111
No. 88 KeChuang 6th Street
Beijing Economic Technological Development Area
Room 801-803
4A Biotech Co.,Ltd.
Tel +86 (0512) 65829739 传真 +86 (010) 6788 5057

Quick Overview for TFF3 抗体 (ABIN1680916)

抗原

See all TFF3 抗体
TFF3 (Trefoil Factor 3 (Intestinal) (TFF3))

适用

  • 81
  • 26
  • 26
  • 6
  • 5
  • 2

宿主

  • 91
  • 16
  • 1

克隆类型

  • 72
  • 36
单克隆

标记

  • 36
  • 22
  • 5
  • 4
  • 4
  • 4
  • 4
  • 4
  • 4
  • 3
  • 2
  • 2
  • 2
  • 1
  • 1
  • 1
  • 1
  • 1
  • 1
  • 1
  • 1
  • 1
  • 1
  • 1
  • 1
This TFF3 antibody is un-conjugated

应用范围

  • 86
  • 52
  • 29
  • 27
  • 25
  • 24
  • 17
  • 13
  • 13
  • 8
  • 8
  • 5
  • 3
  • 1
Immunohistochemistry (IHC)
  • 交叉反应

    产品特性

    Monoclonal Antibodies

    纯化方法

    Affinity purification

    免疫原

    A synthesized peptide derived from human TFF3

    亚型

    IgG
  • 应用备注

    IHC,1:50 - 1:200

    限制

    仅限研究用
  • 缓冲液

    PBS with 0.02 % sodium azide,0.05 % BSA,50 % glycerol, pH 7.3.

    储存液

    Sodium azide

    注意事项

    This product contains Sodium azide: a POISONOUS AND HAZARDOUS SUBSTANCE which should be handled by trained staff only.

    储存条件

    -20 °C

    储存方法

    Store at -20°C. Avoid freeze / thaw cycles.
  • 抗原

    TFF3 (Trefoil Factor 3 (Intestinal) (TFF3))

    别名

    TFF3

    背景

    Members of the trefoil family are characterized by having at least one copy of the trefoil motif, a 40-amino acid domain that contains three conserved disulfides. They are stable secretory proteins expressed in gastrointestinal mucosa. Their functions are not defined, but they may protect the mucosa from insults, stabilize the mucus layer and affect healing of the epithelium. This gene is expressed in goblet cells of the intestines and colon. This gene and two other related trefoil family member genes are found in a cluster on chromosome 21. [provided by RefSeq, Jul 2008],ITF, P1B, TFI,Cell Biology & Developmental Biology,Cytoskeleton,Extracellular Matrix,Signal Transduction,TFF3

    分子量

    10 kDa

    基因ID

    7033

    UniProt

    Q07654
You are here: