电话:
+86 (0512) 65829739
传真:
+86 (010) 6788 5057
电子邮件:
orders@antibodies-online.cn

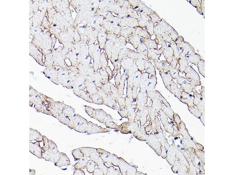
Dystrophin 抗体 (AA 346-635)

The 兔 多克隆 anti-Dystrophin antibody is suitable to detect Dystrophin in samples from 人. It has been validated for IHC, WB 和 IF.
产品编号 ABIN1679546
发货至: 中国
Contact our Customer Service for availability and price in your country. Contact Info

Our Local Distributor

中国
北京 101111
No. 88 KeChuang 6th Street
Beijing Economic Technological Development Area
Room 801-803
4A Biotech Co.,Ltd.
Tel +86 (0512) 65829739 传真 +86 (010) 6788 5057

Quick Overview for Dystrophin 抗体 (AA 346-635) (ABIN1679546)

抗原

See all Dystrophin (DMD) 抗体
Dystrophin (DMD)

适用

  • 86
  • 18
  • 17
  • 3
  • 2

宿主

  • 52
  • 35

克隆类型

  • 63
  • 24
多克隆

标记

  • 42
  • 5
  • 3
  • 3
  • 3
  • 3
  • 3
  • 3
  • 3
  • 2
  • 2
  • 2
  • 2
  • 2
  • 2
  • 2
  • 1
  • 1
  • 1
  • 1
  • 1
This Dystrophin antibody is un-conjugated

应用范围

  • 57
  • 29
  • 26
  • 17
  • 10
  • 9
  • 8
  • 4
  • 2
  • 2
  • 2
  • 1
  • 1
Immunohistochemistry (IHC), Western Blotting (WB), Immunofluorescence (IF)
  • 抗原表位

    • 34
    • 6
    • 6
    • 4
    • 4
    • 4
    • 1
    • 1
    • 1
    • 1
    • 1
    • 1
    AA 346-635

    序列

    NFWPVDSAPA SSPQLSHDDT HSRIEHYASR LAEMENSNGS YLNDSISPNE SIDDEHLLIQ HYCQSLNQDS PLSQPRSPAQ ILISLESEER GELERILADL EEENRNLQAE YDRLKQQHEH KGLSPLPSPP EMMPTSPQSP RDAELIAEAK LLRQHKGRLE ARMQILEDHN KQLESQLHRL RQLLEQPQAE AKVNGTTVSS PSTSLQRSDS SQPMLLRVVG SQTSDSMGEE DLLSPPQDTS TGLEEVMEQL NNSFPSSRGH NVGSLFHMAD DLGRAMESLV SVMTDEEGAE

    交叉反应

    人, 小鼠, 大鼠

    产品特性

    Polyclonal Antibodies

    纯化方法

    Affinity purification

    免疫原

    Recombinant fusion protein containing a sequence corresponding to amino acids 346-635 of human Dystrophin (NP_004007.1).

    亚型

    IgG
  • 应用备注

    WB,1:200 - 1:2000,IHC,1:50 - 1:200,IF,1:50 - 1:200

    限制

    仅限研究用
  • 缓冲液

    PBS with 0.02 % sodium azide,50 % glycerol, pH 7.3.

    储存液

    Sodium azide

    注意事项

    This product contains Sodium azide: a POISONOUS AND HAZARDOUS SUBSTANCE which should be handled by trained staff only.

    储存条件

    -20 °C

    储存方法

    Store at -20°C. Avoid freeze / thaw cycles.
  • 抗原

    Dystrophin (DMD)

    别名

    DMD

    背景

    This gene spans a genomic range of greater than 2 Mb and encodes a large protein containing an N-terminal actin-binding domain and multiple spectrin repeats. The encoded protein forms a component of the dystrophin-glycoprotein complex (DGC), which bridges the inner cytoskeleton and the extracellular matrix. Deletions, duplications, and point mutations at this gene locus may cause Duchenne muscular dystrophy (DMD), Becker muscular dystrophy (BMD), or cardiomyopathy. Alternative promoter usage and alternative splicing result in numerous distinct transcript variants and protein isoforms for this gene.,DMD,BMD,CMD3B,DXS142,DXS164,DXS206,DXS230,DXS239,DXS268,DXS269,DXS270,DXS272,MRX85,Signal Transduction,Cell Biology & Developmental Biology,Cytoskeleton,Microfilaments,Neuroscience,Neurodegenerative Diseases,Stem Cells,Mesenchymal Stem Cells,DMD

    分子量

    57-72 kDa/271 kDa/425-426 kDa

    基因ID

    1756

    UniProt

    P11532

    途径

    Skeletal Muscle Fiber Development
You are here: