电话:
+86 (0512) 65829739
传真:
+86 (010) 6788 5057
电子邮件:
orders@antibodies-online.cn

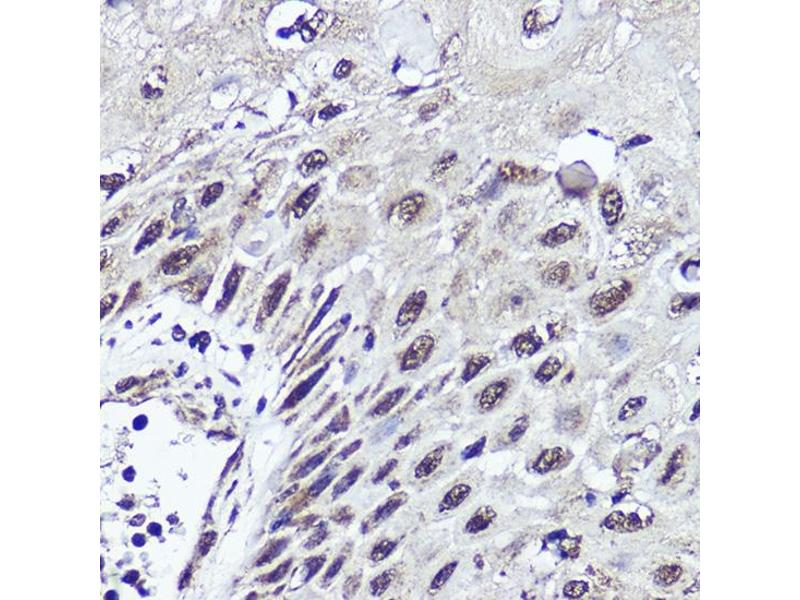
CUX1 抗体 (AA 1-280)

The 兔 多克隆 anti-CUX1 antibody is suitable to detect CUX1 in samples from 人. It has been validated for WB, IF 和 IHC.
产品编号 ABIN1679438
发货至: 中国
Contact our Customer Service for availability and price in your country. Contact Info

Our Local Distributor

中国
北京 101111
No. 88 KeChuang 6th Street
Beijing Economic Technological Development Area
Room 801-803
4A Biotech Co.,Ltd.
Tel +86 (0512) 65829739 传真 +86 (010) 6788 5057

Quick Overview for CUX1 抗体 (AA 1-280) (ABIN1679438)

抗原

See all CUX1 抗体
CUX1 (Cut-Like Homeobox 1 (CUX1))

适用

  • 80
  • 33
  • 20
  • 2
  • 2
  • 2
  • 2
  • 1
  • 1
  • 1
  • 1
  • 1

宿主

  • 69
  • 11

克隆类型

  • 62
  • 18
多克隆

标记

  • 44
  • 6
  • 6
  • 4
  • 3
  • 3
  • 2
  • 2
  • 2
  • 2
  • 2
  • 2
  • 1
  • 1
This CUX1 antibody is un-conjugated

应用范围

  • 63
  • 37
  • 27
  • 21
  • 15
  • 13
  • 8
  • 5
  • 2
Western Blotting (WB), Immunofluorescence (IF), Immunohistochemistry (IHC)
  • 抗原表位

    • 10
    • 8
    • 8
    • 6
    • 6
    • 5
    • 4
    • 3
    • 3
    • 2
    • 1
    • 1
    • 1
    • 1
    • 1
    • 1
    AA 1-280

    序列

    MAANVGSMFQ YWKRFDLQQL QRELDATATV LANRQDESEQ SRKRLIEQSR EFKKNTPEDL RKQVAPLLKS FQGEIDALSK RSKEAEAAFL NVYKRLIDVP DPVPALDLGQ QLQLKVQRLH DIETENQKLR ETLEEYNKEF AEVKNQEVTI KALKEKIREY EQTLKNQAET IALEKEQKLQ NDFAEKERKL QETQMSTTSK LEEAEHKVQS LQTALEKTRT ELFDLKTKYD EETTAKADEI EMIMTDLERA NQRAEVAQRE AETLREQLSS ANHSLQLASQ

    交叉反应

    人, 小鼠, 大鼠

    产品特性

    Polyclonal Antibodies

    纯化方法

    Affinity purification

    免疫原

    Recombinant fusion protein containing a sequence corresponding to amino acids 1-280 of human CUX1 (NP_001189472.1).

    亚型

    IgG
  • 应用备注

    WB,1:1000 - 1:2000,IHC,1:50 - 1:200,IF,1:50 - 1:200

    限制

    仅限研究用
  • 缓冲液

    PBS with 0.02 % sodium azide,50 % glycerol, pH 7.3.

    储存液

    Sodium azide

    注意事项

    This product contains Sodium azide: a POISONOUS AND HAZARDOUS SUBSTANCE which should be handled by trained staff only.

    储存条件

    -20 °C

    储存方法

    Store at -20°C. Avoid freeze / thaw cycles.
  • 抗原

    CUX1 (Cut-Like Homeobox 1 (CUX1))

    别名

    CUX1

    背景

    The protein encoded by this gene is a member of the homeodomain family of DNA binding proteins. It may regulate gene expression, morphogenesis, and differentiation and it may also play a role in the cell cycle progession. Several alternatively spliced transcript variants encoding different isoforms have been identified.,CUX1,CASP,CDP,CDP/Cut,CDP1,COY1,CUTL1,CUX,Clox,Cux/CDP,GOLIM6,Nbla10317,p100,p110,p200,p75,Epigenetics & Nuclear Signaling,Transcription Factors,CUX1

    分子量

    72-77 kDa/147-165 kDa

    基因ID

    1523

    UniProt

    P39880, Q13948

    途径

    Cellular Glucan Metabolic Process
You are here: