UQCRC2 抗体
Our Local Distributor
北京 101111
Quick Overview for UQCRC2 抗体 (ABIN1679334)
抗原
See all UQCRC2 抗体适用
宿主
克隆类型
标记
应用范围
-
-
交叉反应
- 人, 小鼠, 大鼠
-
产品特性
- Monoclonal Antibodies
-
纯化方法
- Affinity purification
-
免疫原
- A synthesized peptide derived from human UQCRC2
-
亚型
- IgG
-
-
-
-
应用备注
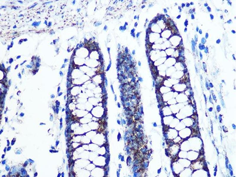
- WB,1:500 - 1:2000,IHC,1:50 - 1:200
-
限制
- 仅限研究用
-
-
-
缓冲液
- PBS with 0.02 % sodium azide,0.05 % BSA,50 % glycerol, pH 7.3.
-
储存液
- Sodium azide
-
注意事项
- This product contains Sodium azide: a POISONOUS AND HAZARDOUS SUBSTANCE which should be handled by trained staff only.
-
储存条件
- -20 °C
-
储存方法
- Store at -20°C. Avoid freeze / thaw cycles.
-
-
- UQCRC2 (Ubiquinol-Cytochrome C Reductase Core Protein II (UQCRC2))
-
别名
- UQCRC2
-
背景
- The protein encoded by this gene is located in the mitochondrion, where it is part of the ubiquinol-cytochrome c reductase complex (also known as complex III). This complex constitutes a part of the mitochondrial respiratory chain. Defects in this gene are a cause of mitochondrial complex III deficiency nuclear type 5. [provided by RefSeq, Jul 2015],MC3DN5, QCR2, UQCR2,Cancer,Endocrine & Metabolism,Mitochondrial metabolism,Mitochondrial metabolism_Mitochondrial markers,Mitochondrial metabolism_Oxidative phosphorylation,Neurodegenerative Diseases,Neuroscience,Signal Transduction,UQCRC2
-
分子量
- 48 kDa
-
基因ID
- 7385
-
UniProt
- P22695
抗原
-