电话:
+86 (0512) 65829739
传真:
+86 (010) 6788 5057
电子邮件:
orders@antibodies-online.cn

MEF2A+MEF2C 抗体

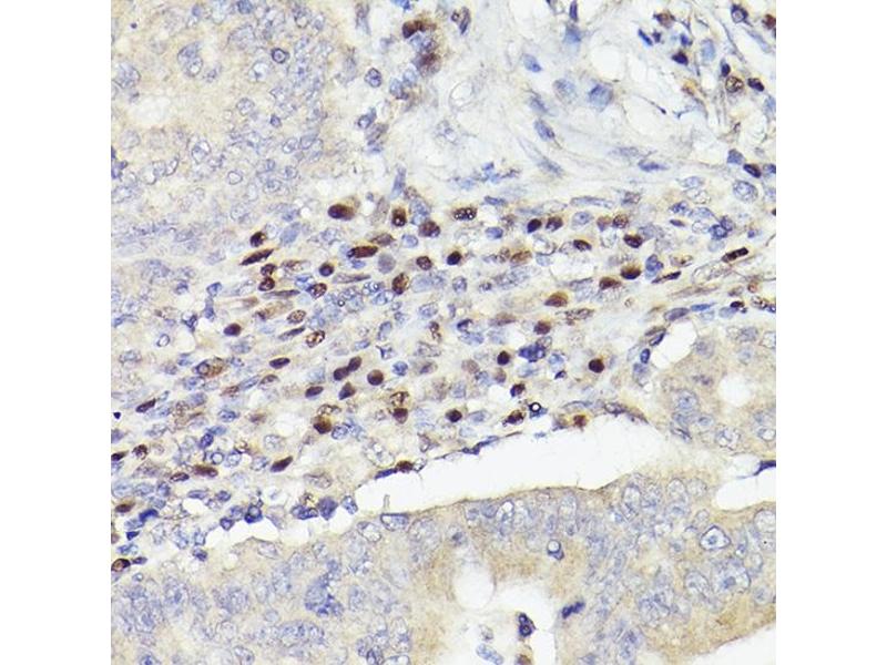
The 兔 单克隆 anti-MEF2A+MEF2C antibody (ABIN1679050) specifically detects MEF2A+MEF2C in WB 和 IHC. The antibody is reactive with 人 samples.
产品编号 ABIN1679050
发货至: 中国
Contact our Customer Service for availability and price in your country. Contact Info

Our Local Distributor

中国
北京 101111
No. 88 KeChuang 6th Street
Beijing Economic Technological Development Area
Room 801-803
4A Biotech Co.,Ltd.
Tel +86 (0512) 65829739 传真 +86 (010) 6788 5057

Quick Overview for MEF2A+MEF2C 抗体 (ABIN1679050)

抗原

MEF2A+MEF2C

适用

  • 11
  • 10
  • 10

宿主

  • 11

克隆类型

  • 11
单克隆

标记

  • 2
  • 1
  • 1
  • 1
  • 1
  • 1
  • 1
  • 1
  • 1
  • 1
非结合性

应用范围

  • 11
  • 10
  • 10
  • 9
  • 9
Western Blotting (WB), Immunohistochemistry (IHC)
  • 交叉反应

    人, 小鼠

    产品特性

    Monoclonal Antibodies

    纯化方法

    Affinity purification

    免疫原

    A synthesized peptide derived from human MEF2A+MEF2C.

    亚型

    IgG
  • 应用备注

    WB,1:500 - 1:2000,IHC,1:50 - 1:200

    限制

    仅限研究用
  • 缓冲液

    PBS with 0.02 % sodium azide,0.05 % BSA,50 % glycerol, pH 7.3.

    储存液

    Sodium azide

    注意事项

    This product contains Sodium azide: a POISONOUS AND HAZARDOUS SUBSTANCE which should be handled by trained staff only.

    储存条件

    -20 °C

    储存方法

    Store at -20°C. Avoid freeze / thaw cycles.
  • 抗原

    MEF2A+MEF2C

    背景

    MEF2A+MEF2C

    分子量

    51 kDa

    基因ID

    4208, 4205

    UniProt

    Q06413, Q02078
You are here: