电话:
+86 (0512) 65829739
传真:
+86 (010) 6788 5057
电子邮件:
orders@antibodies-online.cn

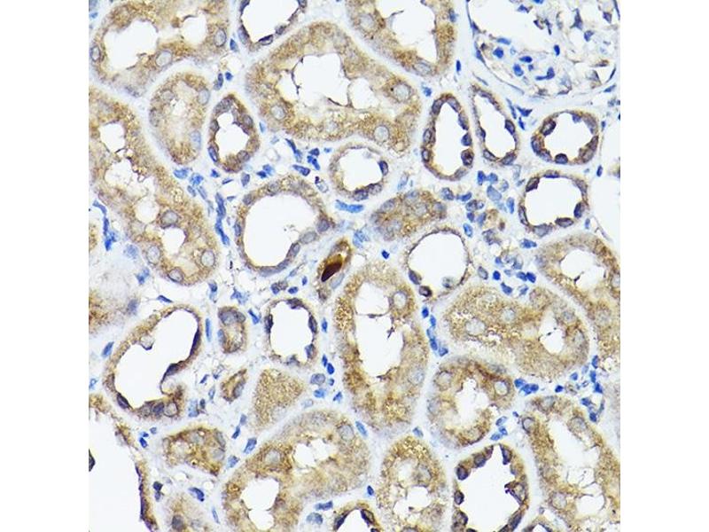
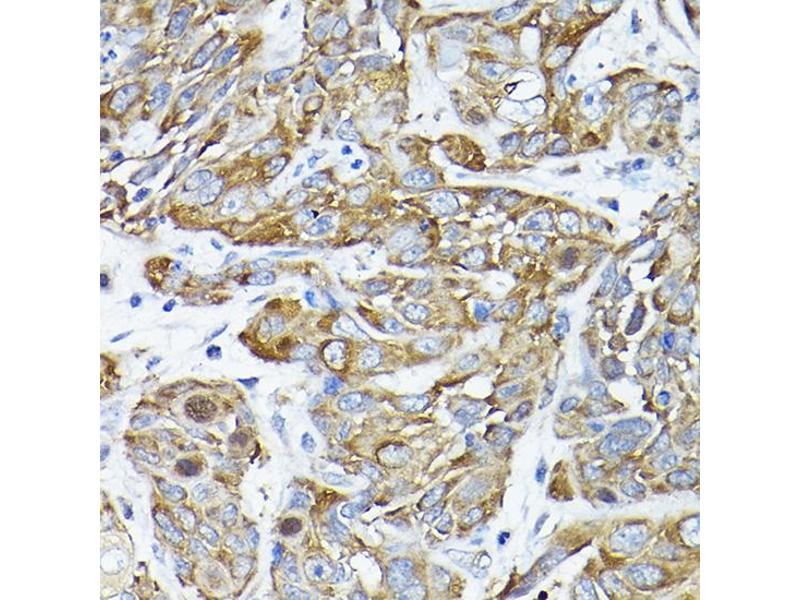
CC2D1A 抗体 (AA 1-150)

The 兔 多克隆 anti-CC2D1A antibody (ABIN1679010) specifically detects CC2D1A in WB 和 IHC. The antibody is reactive with 人 samples.
产品编号 ABIN1679010
发货至: 中国
Contact our Customer Service for availability and price in your country. Contact Info

Our Local Distributor

中国
北京 101111
No. 88 KeChuang 6th Street
Beijing Economic Technological Development Area
Room 801-803
4A Biotech Co.,Ltd.
Tel +86 (0512) 65829739 传真 +86 (010) 6788 5057

Quick Overview for CC2D1A 抗体 (AA 1-150) (ABIN1679010)

抗原

See all CC2D1A 抗体
CC2D1A (Coiled-Coil and C2 Domain Containing 1A (CC2D1A))

适用

  • 45
  • 23
  • 21

宿主

  • 43
  • 2

克隆类型

  • 32
  • 13
多克隆

标记

  • 24
  • 3
  • 2
  • 2
  • 2
  • 2
  • 2
  • 2
  • 1
  • 1
  • 1
  • 1
  • 1
  • 1
This CC2D1A antibody is un-conjugated

应用范围

  • 35
  • 19
  • 15
  • 15
  • 11
  • 5
  • 4
  • 3
  • 2
  • 1
  • 1
Western Blotting (WB), Immunohistochemistry (IHC)
  • 抗原表位

    • 8
    • 4
    • 3
    • 3
    • 2
    • 2
    AA 1-150

    序列

    MHKRKGPPGP PGRGAAAARQ LGLLVDLSPD GLMIPEDGAN DEELEAEFLA LVGGQPPALE KLKGKGPLPM EAIEKMASLC MRDPDEDEEE GTDEDDLEAD DDLLAELNEV LGEEQKASET PPPVAQPKPE APHPGLETTL QERLALYQTA

    交叉反应

    人, 小鼠, 大鼠

    产品特性

    Polyclonal Antibodies

    纯化方法

    Affinity purification

    免疫原

    Recombinant fusion protein containing a sequence corresponding to amino acids 1-150 of human CC2D1A (NP_060191.3).

    亚型

    IgG
  • 应用备注

    WB,1:1000 - 1:2000,IHC,1:50 - 1:200

    限制

    仅限研究用
  • 缓冲液

    PBS with 0.02 % sodium azide,50 % glycerol, pH 7.3.

    储存液

    Sodium azide

    注意事项

    This product contains Sodium azide: a POISONOUS AND HAZARDOUS SUBSTANCE which should be handled by trained staff only.

    储存条件

    -20 °C

    储存方法

    Store at -20°C. Avoid freeze / thaw cycles.
  • 抗原

    CC2D1A (Coiled-Coil and C2 Domain Containing 1A (CC2D1A))

    别名

    CC2D1A

    背景

    This gene encodes a transcriptional repressor that binds to a conserved 14-bp 5'-repressor element and regulates expression of the 5-hydroxytryptamine (serotonin) receptor 1A gene in neuronal cells. The DNA binding and transcriptional repressor activities of the protein are inhibited by calcium. A mutation in this gene results in nonsyndromic mental retardation-3.,CC2D1A,FREUD-1,Freud-1/Aki1,MRT3,Epigenetics & Nuclear Signaling,Transcription Factors,CC2D1A

    分子量

    103 kDa/104 kDa

    基因ID

    54862

    UniProt

    Q6P1N0
You are here: