电话:
+86 (0512) 65829739
传真:
+86 (010) 6788 5057
电子邮件:
orders@antibodies-online.cn

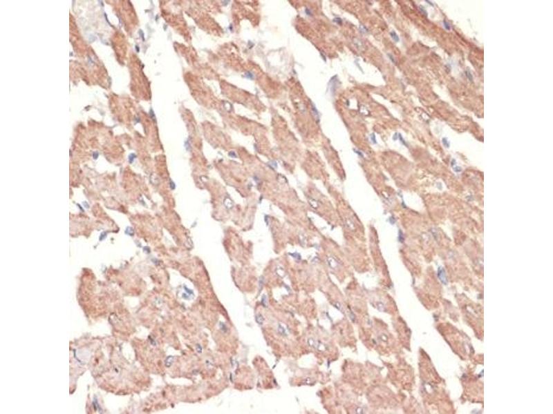
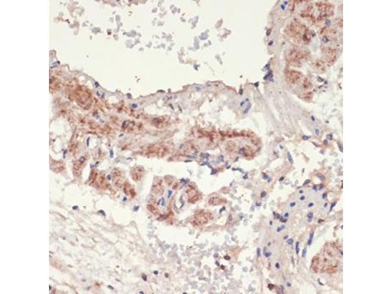
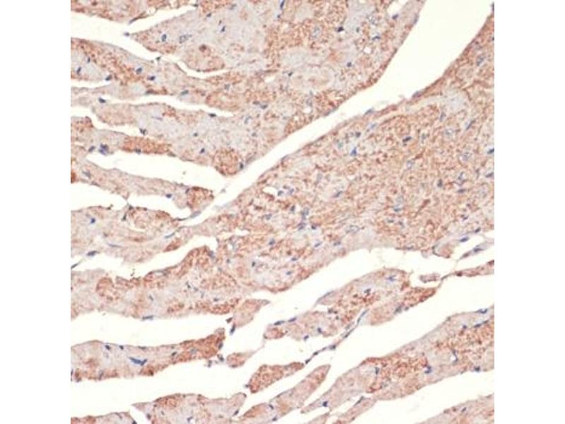
alpha 1 Adrenergic Receptor 抗体 (AA 346-475)

This 兔 多克隆 antibody specifically detects alpha 1 Adrenergic Receptor in WB, IF 和 IHC. It exhibits reactivity toward 人.
产品编号 ABIN1678588
发货至: 中国
Contact our Customer Service for availability and price in your country. Contact Info

Our Local Distributor

中国
北京 101111
No. 88 KeChuang 6th Street
Beijing Economic Technological Development Area
Room 801-803
4A Biotech Co.,Ltd.
Tel +86 (0512) 65829739 传真 +86 (010) 6788 5057

Quick Overview for alpha 1 Adrenergic Receptor 抗体 (AA 346-475) (ABIN1678588)

抗原

See all alpha 1 Adrenergic Receptor (ADRA1A) 抗体
alpha 1 Adrenergic Receptor (ADRA1A) (Adrenoceptor alpha 1A (ADRA1A))

适用

  • 66
  • 43
  • 43
  • 4
  • 4
  • 3
  • 3
  • 3
  • 3
  • 2
  • 2
  • 1
  • 1

宿主

  • 60
  • 3
  • 2
  • 1

克隆类型

  • 51
  • 15
多克隆

标记

  • 34
  • 3
  • 3
  • 3
  • 2
  • 2
  • 2
  • 2
  • 2
  • 2
  • 1
  • 1
  • 1
  • 1
  • 1
  • 1
  • 1
  • 1
  • 1
  • 1
  • 1
This alpha 1 Adrenergic Receptor antibody is un-conjugated

应用范围

  • 51
  • 24
  • 21
  • 18
  • 14
  • 13
  • 12
  • 11
  • 6
  • 3
  • 3
  • 2
  • 2
  • 1
Western Blotting (WB), Immunofluorescence (IF), Immunohistochemistry (IHC)
  • 抗原表位

    • 12
    • 5
    • 4
    • 2
    • 2
    • 2
    • 2
    • 2
    • 2
    • 1
    • 1
    • 1
    • 1
    • 1
    • 1
    • 1
    • 1
    • 1
    • 1
    • 1
    • 1
    • 1
    • 1
    AA 346-475

    序列

    LCRKQSSKHA LGYTLHPPSQ AVEGQHKDMV RIPVGSRETF YRISKTDGVC EWKFFSSMPR GSARITVSKD QSSCTTARTK SRSVTRLECS GMILAHCNLR LPGSRDSPAS ASQAAGTTGM CHQADATRPS

    交叉反应

    人, 小鼠, 大鼠

    产品特性

    Polyclonal Antibodies

    纯化方法

    Affinity purification

    免疫原

    Recombinant fusion protein containing a sequence corresponding to amino acids 346-475 of human ADRA1A (NP_150646.3).

    亚型

    IgG
  • 应用备注

    WB,1:500 - 1:2000,IHC,1:50 - 1:100,IF,1:50 - 1:200

    限制

    仅限研究用
  • 缓冲液

    PBS with 0.02 % sodium azide,50 % glycerol, pH 7.3.

    储存液

    Sodium azide

    注意事项

    This product contains Sodium azide: a POISONOUS AND HAZARDOUS SUBSTANCE which should be handled by trained staff only.

    储存条件

    -20 °C

    储存方法

    Store at -20°C. Avoid freeze / thaw cycles.
  • 抗原

    alpha 1 Adrenergic Receptor (ADRA1A) (Adrenoceptor alpha 1A (ADRA1A))

    别名

    ADRA1A

    背景

    Alpha-1-adrenergic receptors (alpha-1-ARs) are members of the G protein-coupled receptor superfamily. They activate mitogenic responses and regulate growth and proliferation of many cells. There are 3 alpha-1-AR subtypes: alpha-1A, -1B and -1D, all of which signal through the Gq/11 family of G-proteins and different subtypes show different patterns of activation. This gene encodes alpha-1A-adrenergic receptor. Alternative splicing of this gene generates four transcript variants, which encode four different isoforms with distinct C-termini but having similar ligand binding properties.,ADRA1A,ADRA1C,ADRA1L1,ALPHA1AAR,Signal Transduction,G protein signaling,G-Protein-Coupled Receptors(GPCR),Cell Biology & Developmental Biology,Apoptosis,Endocrine & Metabolism,AMPK Signaling Pathway,Neuroscience,ADRA1A

    分子量

    32-52 kDa

    基因ID

    148

    UniProt

    P35348

    途径

    AMPK Signaling
You are here: