电话:
+86 (0512) 65829739
传真:
+86 (010) 6788 5057
电子邮件:
orders@antibodies-online.cn

Histone H2B 抗体 (acLys12)

This anti-Histone H2B antibody is a 兔 多克隆 antibody detecting Histone H2B in WB, ELISA, IHC 和 IF. Suitable for 人 和 小鼠.
产品编号 ABIN486135
发货至: 中国

Quick Overview for Histone H2B 抗体 (acLys12) (ABIN486135)

抗原

See all Histone H2B 抗体
Histone H2B

适用

  • 262
  • 137
  • 130
  • 12
  • 10
  • 5
  • 5
  • 5
  • 5
  • 4
  • 3
  • 3
  • 2
  • 2
  • 1
人, 小鼠

宿主

  • 267
  • 22
  • 2

克隆类型

  • 212
  • 79
多克隆

标记

  • 169
  • 17
  • 9
  • 9
  • 9
  • 9
  • 9
  • 9
  • 8
  • 7
  • 5
  • 5
  • 2
  • 2
  • 2
  • 2
  • 2
  • 2
  • 2
  • 2
  • 2
  • 2
  • 2
  • 2
  • 2
This Histone H2B antibody is un-conjugated

应用范围

  • 217
  • 102
  • 99
  • 71
  • 61
  • 34
  • 29
  • 27
  • 26
  • 25
  • 18
  • 7
  • 6
  • 6
  • 6
  • 2
  • 2
  • 1
  • 1
Western Blotting (WB), ELISA, Immunohistochemistry (IHC), Immunofluorescence (IF)
  • 抗原表位

    • 23
    • 15
    • 12
    • 12
    • 11
    • 10
    • 10
    • 10
    • 9
    • 9
    • 9
    • 9
    • 9
    • 9
    • 7
    • 5
    • 5
    • 4
    • 4
    • 3
    • 3
    • 3
    • 3
    • 3
    • 3
    • 3
    • 3
    • 2
    • 2
    • 2
    • 2
    • 2
    • 2
    • 2
    • 2
    • 2
    • 2
    • 2
    • 2
    • 2
    • 2
    • 2
    • 2
    • 1
    • 1
    • 1
    • 1
    • 1
    • 1
    • 1
    AA 10-59, acLys12

    特异性

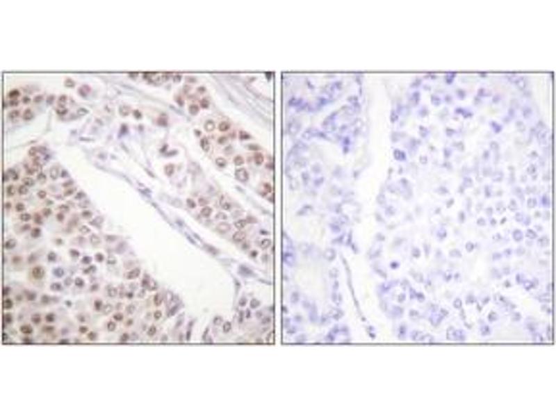
    Histone H2B (Acetyl-Lys12) Antibody detects endogenous levels of total Histone H2B protein only when acetylated at Lys12.

    AcetylationH:K12 M:K12

    纯化方法

    The antibody was purified from rabbit antiserum by affinity-chromatography using acetylated peptide. The antibody against non-acetylated peptide was removed by chromatography using corresponding non-acetylated peptide.

    纯度

    > 95 %

    免疫原

    The antiserum was produced against synthesized peptide derived from human Histone H2B around the acetylated site of Lys12.

    亚型

    IgG
  • 应用备注

    WB: 1:500~1:1000 IHC: 1:50~1:100 IF: 1:100~1:500 ELISA: 1:1000

    说明

    Unigene-Number: Hs.473961 (NCBI Gene Symbol: H2BFS)

    限制

    仅限研究用
  • 状态

    Liquid

    浓度

    1 mg/mL

    缓冲液

    phosphate buffered saline (without Mg2+ and Ca2+), pH 7.4, 150 mM NaCl, 0.02 % sodium azide and 50 % glycerol.

    储存液

    Sodium azide

    注意事项

    This product contains sodium azide: a POISONOUS AND HAZARDOUS SUBSTANCE which should be handled by trained staff only.

    储存条件

    -20 °C

    储存方法

    Stable at -20°C for at least 1 year.

    有效期

    12 months
  • 抗原

    Histone H2B

    背景

    Synonyms: Histone cluster 1, H2bb,H2B.1, H2B/f, H2BFF, H2B histone family, member F,histone 1, H2bb

    NCBI Gene Symbol: H2BFS

    分子量

    13 kDa

    基因ID

    54145

    UniProt

    P57053
You are here:
Chat with us!