电话:
+86 (0512) 65829739
传真:
+86 (010) 6788 5057
电子邮件:
orders@antibodies-online.cn

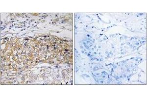
USP24 抗体 (AA 21-70)

This 兔 多克隆 antibody specifically detects USP24 in ELISA 和 IHC. It exhibits reactivity toward 人 和 小鼠.
产品编号 ABIN1535433
发货至: 中国
Contact our Customer Service for availability and price in your country. Contact Info

Our Local Distributor

中国
北京 101111
No. 88 KeChuang 6th Street
Beijing Economic Technological Development Area
Room 801-803
4A Biotech Co.,Ltd.
Tel +86 (0512) 65829739 传真 +86 (010) 6788 5057

Quick Overview for USP24 抗体 (AA 21-70) (ABIN1535433)

抗原

See all USP24 抗体
USP24 (Ubiquitin Specific Peptidase 24 (USP24))

适用

  • 26
  • 11
  • 7
  • 1
  • 1
  • 1
  • 1
  • 1
人, 小鼠

宿主

  • 25
  • 2

克隆类型

  • 22
  • 5
多克隆

标记

  • 23
  • 2
  • 1
  • 1
This USP24 antibody is un-conjugated

应用范围

  • 14
  • 14
  • 6
  • 5
  • 2
  • 2
  • 1
  • 1
ELISA, Immunohistochemistry (IHC)
  • 抗原表位

    • 5
    • 3
    • 2
    • 1
    • 1
    • 1
    • 1
    • 1
    • 1
    AA 21-70

    特异性

    USP24 Antibody detects endogenous levels of total USP24 protein.

    纯化方法

    The antibody was purified from rabbit antiserum by affinity-chromatography using immunogen.

    纯度

    > 95 %

    免疫原

    The antiserum was produced against synthesized peptide derived from human USP24.

    亚型

    IgG
  • 应用备注

    IHC: 1:50~1:100 ELISA: 1:10000

    说明

    Unigene-Number: Hs.477009 (NCBI Gene Symbol: USP24)

    限制

    仅限研究用
  • 状态

    Liquid

    浓度

    1 mg/mL

    缓冲液

    phosphate buffered saline (without Mg2+ and Ca2+), pH 7.4, 150 mM NaCl, 0.02 % sodium azide and 50 % glycerol.

    储存液

    Sodium azide

    注意事项

    This product contains sodium azide: a POISONOUS AND HAZARDOUS SUBSTANCE which should be handled by trained staff only.

    储存条件

    -20 °C

    储存方法

    Stable at -20°C for at least 1 year.

    有效期

    12 months
  • 抗原

    USP24 (Ubiquitin Specific Peptidase 24 (USP24))

    别名

    USP24

    背景

    Synonyms: Ubiquitin carboxyl-terminal hydrolase 24, Ubiquitin thioesterase 24, Ubiquitin-specific-processing protease 24, Deubiquitinating enzyme 24, USP24, KIAA1057,

    NCBI Gene Symbol: USP24

    分子量

    211 kDa

    基因ID

    23358

    OMIM

    610569

    UniProt

    Q9UPU5
You are here: