电话:
+86 (0512) 65829739
传真:
+86 (010) 6788 5057
电子邮件:
orders@antibodies-online.cn

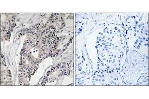
THBS4 抗体 (AA 561-610)

The 兔 多克隆 anti-THBS4 antibody is suitable to detect THBS4 in samples from 人. It has been validated for IHC 和 ELISA.
产品编号 ABIN1535410
发货至: 中国
Contact our Customer Service for availability and price in your country. Contact Info

Our Local Distributor

中国
北京 101111
No. 88 KeChuang 6th Street
Beijing Economic Technological Development Area
Room 801-803
4A Biotech Co.,Ltd.
Tel +86 (0512) 65829739 传真 +86 (010) 6788 5057

Quick Overview for THBS4 抗体 (AA 561-610) (ABIN1535410)

抗原

See all THBS4 抗体
THBS4 (Thrombospondin 4 (THBS4))

适用

  • 35
  • 11
  • 8

宿主

  • 45
  • 3

克隆类型

  • 47
  • 1
多克隆

标记

  • 21
  • 10
  • 8
  • 1
  • 1
  • 1
  • 1
  • 1
  • 1
  • 1
  • 1
  • 1
This THBS4 antibody is un-conjugated

应用范围

  • 39
  • 19
  • 14
  • 12
  • 7
  • 4
  • 4
  • 2
Immunohistochemistry (IHC), ELISA
  • 抗原表位

    • 10
    • 3
    • 3
    • 3
    • 3
    • 2
    • 2
    • 1
    • 1
    • 1
    • 1
    • 1
    AA 561-610

    特异性

    THBS4 Antibody detects endogenous levels of total THBS4 protein.

    纯化方法

    The antibody was purified from rabbit antiserum by affinity-chromatography using immunogen.

    纯度

    > 95 %

    免疫原

    The antiserum was produced against synthesized peptide derived from human THBS4.

    亚型

    IgG
  • 应用备注

    IHC: 1:50~1:100 ELISA: 1:20000

    说明

    Unigene-Number: Hs.211426 (NCBI Gene Symbol: THBS4)

    限制

    仅限研究用
  • 状态

    Liquid

    浓度

    1 mg/mL

    缓冲液

    phosphate buffered saline (without Mg2+ and Ca2+), pH 7.4, 150 mM NaCl, 0.02 % sodium azide and 50 % glycerol.

    储存液

    Sodium azide

    注意事项

    This product contains sodium azide: a POISONOUS AND HAZARDOUS SUBSTANCE which should be handled by trained staff only.

    储存条件

    -20 °C

    储存方法

    Stable at -20°C for at least 1 year.

    有效期

    12 months
  • 抗原

    THBS4 (Thrombospondin 4 (THBS4))

    别名

    THBS4

    背景

    Synonyms: Thrombospondin-4, THBS4, TSP4

    NCBI Gene Symbol: THBS4

    分子量

    105 kDa

    基因ID

    7060

    OMIM

    600715

    UniProt

    P35443
You are here: