电话:
+86 (0512) 65829739
传真:
+86 (010) 6788 5057
电子邮件:
orders@antibodies-online.cn

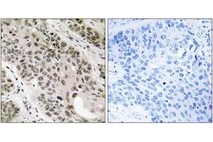
TNNI3K 抗体 (AA 301-350)

This 兔 多克隆 antibody specifically detects TNNI3K in IHC 和 ELISA. It exhibits reactivity toward 人, 小鼠 和 大鼠.
产品编号 ABIN1535346
发货至: 中国
Contact our Customer Service for availability and price in your country. Contact Info

Our Local Distributor

中国
北京 101111
No. 88 KeChuang 6th Street
Beijing Economic Technological Development Area
Room 801-803
4A Biotech Co.,Ltd.
Tel +86 (0512) 65829739 传真 +86 (010) 6788 5057

Quick Overview for TNNI3K 抗体 (AA 301-350) (ABIN1535346)

抗原

See all TNNI3K 抗体
TNNI3K (TNNI3 Interacting Kinase (TNNI3K))

适用

  • 41
  • 32
  • 31
  • 6
  • 5
  • 4
  • 3
  • 2
  • 2
  • 2
  • 1
人, 小鼠, 大鼠

宿主

  • 41

克隆类型

  • 41
多克隆

标记

  • 21
  • 1
  • 1
  • 1
  • 1
  • 1
  • 1
  • 1
  • 1
  • 1
  • 1
  • 1
  • 1
  • 1
  • 1
  • 1
  • 1
  • 1
  • 1
  • 1
  • 1
This TNNI3K antibody is un-conjugated

应用范围

  • 33
  • 13
  • 7
  • 6
  • 4
  • 3
  • 2
  • 1
  • 1
Immunohistochemistry (IHC), ELISA
  • 抗原表位

    • 3
    • 3
    • 2
    • 2
    • 2
    • 1
    • 1
    • 1
    • 1
    • 1
    • 1
    • 1
    • 1
    AA 301-350

    特异性

    TNNI3K Antibody detects endogenous levels of total TNNI3K protein.

    纯化方法

    The antibody was purified from rabbit antiserum by affinity-chromatography using immunogen.

    纯度

    > 95 %

    免疫原

    The antiserum was produced against synthesized peptide derived from human TNNI3K.

    亚型

    IgG
  • 应用备注

    IHC: 1:50~1:100 ELISA: 1:10000

    说明

    Unigene-Number: Hs.480085 (NCBI Gene Symbol: TNNI3K)

    限制

    仅限研究用
  • 状态

    Liquid

    浓度

    1 mg/mL

    缓冲液

    phosphate buffered saline (without Mg2+ and Ca2+), pH 7.4, 150 mM NaCl, 0.02 % sodium azide and 50 % glycerol.

    储存液

    Sodium azide

    注意事项

    This product contains sodium azide: a POISONOUS AND HAZARDOUS SUBSTANCE which should be handled by trained staff only.

    储存条件

    -20 °C

    储存方法

    Stable at -20°C for at least 1 year.

    有效期

    12 months
  • 抗原

    TNNI3K (TNNI3 Interacting Kinase (TNNI3K))

    别名

    TNNI3K

    背景

    Synonyms: Serine/threonine-protein kinase TNNI3K TNNI3-interacting kinase, Cardiac ankyrin repeat kinase TNNI3K

    NCBI Gene Symbol: TNNI3K

    分子量

    104 kDa

    基因ID

    51086

    UniProt

    Q59H18
You are here: