电话:
+86 (0512) 65829739
传真:
+86 (010) 6788 5057
电子邮件:
orders@antibodies-online.cn

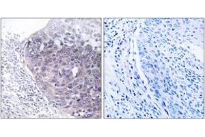
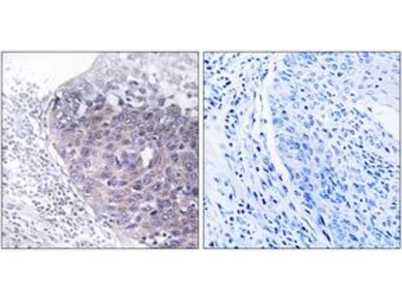
GTPBP5 抗体 (AA 71-120)

This 兔 多克隆 antibody specifically detects GTPBP5 in ELISA 和 IHC. It exhibits reactivity toward 人, 小鼠 和 大鼠.
产品编号 ABIN1534962
发货至: 中国
Contact our Customer Service for availability and price in your country. Contact Info

Our Local Distributor

中国
北京 101111
No. 88 KeChuang 6th Street
Beijing Economic Technological Development Area
Room 801-803
4A Biotech Co.,Ltd.
Tel +86 (0512) 65829739 传真 +86 (010) 6788 5057

Quick Overview for GTPBP5 抗体 (AA 71-120) (ABIN1534962)

抗原

See all GTPBP5 抗体
GTPBP5 (GTP Binding Protein 5 (GTPBP5))

适用

  • 20
  • 7
  • 7
  • 2
  • 2
  • 1
  • 1
  • 1
人, 小鼠, 大鼠

宿主

  • 18
  • 2

克隆类型

  • 20
多克隆

标记

  • 15
  • 1
  • 1
  • 1
  • 1
  • 1
This GTPBP5 antibody is un-conjugated

应用范围

  • 17
  • 13
  • 4
  • 1
  • 1
  • 1
ELISA, Immunohistochemistry (IHC)
  • 抗原表位

    • 8
    • 3
    • 3
    • 2
    • 1
    • 1
    • 1
    • 1
    AA 71-120

    特异性

    GTPBP5 Antibody detects endogenous levels of total GTPBP5 protein.

    纯化方法

    The antibody was purified from rabbit antiserum by affinity-chromatography using immunogen.

    纯度

    > 95 %

    免疫原

    The antiserum was produced against synthesized peptide derived from human GTPBP5.

    亚型

    IgG
  • 应用备注

    IHC: 1:50~1:100 ELISA: 1:1000

    说明

    Unigene-Number: Hs.340636 (NCBI Gene Symbol: GTPB5)

    限制

    仅限研究用
  • 状态

    Liquid

    浓度

    1 mg/mL

    缓冲液

    phosphate buffered saline (without Mg2+ and Ca2+), pH 7.4, 150 mM NaCl, 0.02 % sodium azide and 50 % glycerol.

    储存液

    Sodium azide

    注意事项

    This product contains sodium azide: a POISONOUS AND HAZARDOUS SUBSTANCE which should be handled by trained staff only.

    储存条件

    -20 °C

    储存方法

    Stable at -20°C for at least 1 year.

    有效期

    12 months
  • 抗原

    GTPBP5 (GTP Binding Protein 5 (GTPBP5))

    别名

    GTPBP5

    背景

    Synonyms: GTP-binding protein 5,Protein obg homolog 1, ObgH1

    NCBI Gene Symbol: GTPB5

    分子量

    43 kDa

    基因ID

    26164

    OMIM

    610919

    UniProt

    Q9H4K7
You are here: