电话:
+86 (0512) 65829739
传真:
+86 (010) 6788 5057
电子邮件:
orders@antibodies-online.cn

CST2 抗体 (AA 11-60)

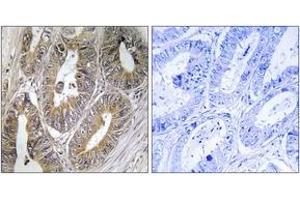
The 兔 多克隆 anti-CST2 antibody is suitable to detect CST2 in samples from 人. It has been validated for IHC 和 ELISA.
产品编号 ABIN1534810
发货至: 中国
Contact our Customer Service for availability and price in your country. Contact Info

Our Local Distributor

中国
北京 101111
No. 88 KeChuang 6th Street
Beijing Economic Technological Development Area
Room 801-803
4A Biotech Co.,Ltd.
Tel +86 (0512) 65829739 传真 +86 (010) 6788 5057

Quick Overview for CST2 抗体 (AA 11-60) (ABIN1534810)

抗原

See all CST2 抗体
CST2 (Cystatin SA (CST2))

适用

  • 39
  • 2

宿主

  • 32
  • 7

克隆类型

  • 32
  • 7
多克隆

标记

  • 17
  • 3
  • 1
  • 1
  • 1
  • 1
  • 1
  • 1
  • 1
  • 1
  • 1
  • 1
  • 1
  • 1
  • 1
  • 1
  • 1
  • 1
  • 1
  • 1
  • 1
This CST2 antibody is un-conjugated

应用范围

  • 15
  • 13
  • 13
  • 10
  • 6
  • 3
  • 3
  • 3
  • 2
  • 1
  • 1
  • 1
  • 1
Immunohistochemistry (IHC), ELISA
  • 抗原表位

    • 15
    • 5
    • 1
    • 1
    • 1
    • 1
    • 1
    AA 11-60

    特异性

    CST2 Antibody detects endogenous levels of total CST2 protein.

    纯化方法

    The antibody was purified from rabbit antiserum by affinity-chromatography using immunogen.

    纯度

    > 95 %

    免疫原

    The antiserum was produced against synthesized peptide derived from human CST2.

    亚型

    IgG
  • 应用备注

    IHC: 1:50~1:100 ELISA: 1:40000

    说明

    Unigene-Number: Hs.669305 (NCBI Gene Symbol: CST2)

    限制

    仅限研究用
  • 状态

    Liquid

    浓度

    1 mg/mL

    缓冲液

    phosphate buffered saline (without Mg2+ and Ca2+), pH 7.4, 150 mM NaCl, 0.02 % sodium azide and 50 % glycerol.

    储存液

    Sodium azide

    注意事项

    This product contains sodium azide: a POISONOUS AND HAZARDOUS SUBSTANCE which should be handled by trained staff only.

    储存条件

    -20 °C

    储存方法

    Stable at -20°C for at least 1 year.

    有效期

    12 months
  • 抗原

    CST2 (Cystatin SA (CST2))

    别名

    CST2

    背景

    Synonyms: Cystatin-SA, Cystatin-2, Cystatin-S5

    NCBI Gene Symbol: CST2

    分子量

    16 kDa

    基因ID

    1470

    OMIM

    123856

    UniProt

    P09228
You are here: