电话:
+86 (0512) 65829739
传真:
+86 (010) 6788 5057
电子邮件:
orders@antibodies-online.cn

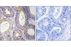
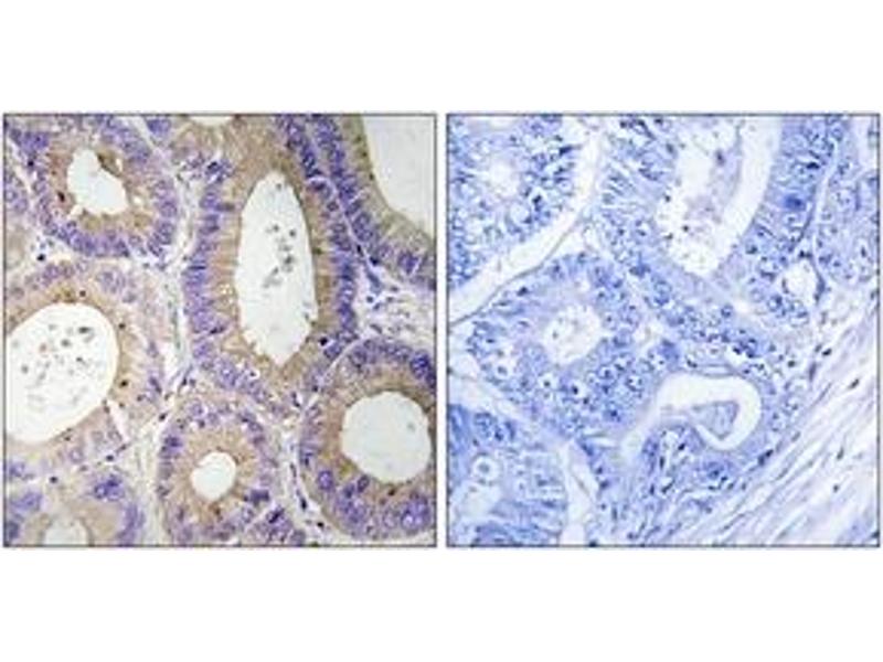
CBR3 抗体 (AA 151-200)

The 兔 多克隆 anti-CBR3 antibody is suitable to detect CBR3 in samples from 人, 小鼠 和 大鼠. It has been validated for WB, IHC 和 ELISA.
产品编号 ABIN1534732
发货至: 中国
Contact our Customer Service for availability and price in your country. Contact Info

Our Local Distributor

中国
北京 101111
No. 88 KeChuang 6th Street
Beijing Economic Technological Development Area
Room 801-803
4A Biotech Co.,Ltd.
Tel +86 (0512) 65829739 传真 +86 (010) 6788 5057

Quick Overview for CBR3 抗体 (AA 151-200) (ABIN1534732)

抗原

See all CBR3 抗体
CBR3 (Carbonyl Reductase 3 (CBR3))

适用

  • 40
  • 9
  • 9
  • 3
  • 2
  • 1
  • 1
  • 1
人, 小鼠, 大鼠

宿主

  • 30
  • 9
  • 1

克隆类型

  • 34
  • 6
多克隆

标记

  • 29
  • 1
  • 1
  • 1
  • 1
  • 1
  • 1
  • 1
  • 1
  • 1
  • 1
  • 1
This CBR3 antibody is un-conjugated

应用范围

  • 27
  • 15
  • 13
  • 7
  • 7
  • 7
  • 4
  • 3
  • 2
  • 2
  • 1
Western Blotting (WB), Immunohistochemistry (IHC), ELISA
  • 抗原表位

    • 13
    • 6
    • 2
    • 2
    • 2
    • 1
    • 1
    • 1
    • 1
    • 1
    AA 151-200

    特异性

    CBR3 Antibody detects endogenous levels of total CBR3 protein.

    纯化方法

    The antibody was purified from rabbit antiserum by affinity-chromatography using immunogen.

    纯度

    > 95 %

    免疫原

    The antiserum was produced against synthesized peptide derived from human CBR3.

    亚型

    IgG
  • 应用备注

    WB: 1:500~1:1000 IHC: 1:50~1:100 ELISA: 1:40000

    说明

    Unigene-Number: Hs.154510 (NCBI Gene Symbol: CBR3)

    限制

    仅限研究用
  • 状态

    Liquid

    浓度

    1 mg/mL

    缓冲液

    phosphate buffered saline (without Mg2+ and Ca2+), pH 7.4, 150 mM NaCl, 0.02 % sodium azide and 50 % glycerol.

    储存液

    Sodium azide

    注意事项

    This product contains sodium azide: a POISONOUS AND HAZARDOUS SUBSTANCE which should be handled by trained staff only.

    储存条件

    -20 °C

    储存方法

    Stable at -20°C for at least 1 year.

    有效期

    12 months
  • 抗原

    CBR3 (Carbonyl Reductase 3 (CBR3))

    别名

    CBR3

    背景

    Synonyms: carbonyl reductase 3, NADPH-dependent carbonyl reductase 3

    NCBI Gene Symbol: CBR3

    分子量

    30 kDa

    基因ID

    874

    OMIM

    603608

    UniProt

    O75828
You are here: