电话:
+86 (0512) 65829739
传真:
+86 (010) 6788 5057
电子邮件:
orders@antibodies-online.cn

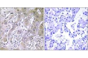
ACOT12 抗体 (AA 281-330)

The 兔 多克隆 anti-ACOT12 antibody (ABIN1534598) specifically detects ACOT12 in IHC, ELISA 和 IF. The antibody is reactive with 人, 小鼠 和 大鼠 samples.
产品编号 ABIN1534598
发货至: 中国
Contact our Customer Service for availability and price in your country. Contact Info

Our Local Distributor

中国
北京 101111
No. 88 KeChuang 6th Street
Beijing Economic Technological Development Area
Room 801-803
4A Biotech Co.,Ltd.
Tel +86 (0512) 65829739 传真 +86 (010) 6788 5057

Quick Overview for ACOT12 抗体 (AA 281-330) (ABIN1534598)

抗原

See all ACOT12 抗体
ACOT12 (Acyl-CoA Thioesterase 12 (ACOT12))

适用

  • 20
  • 7
  • 7
  • 3
  • 2
  • 2
  • 2
  • 2
  • 1
  • 1
  • 1
  • 1
  • 1
人, 小鼠, 大鼠

宿主

  • 18
  • 2

克隆类型

  • 18
  • 2
多克隆

标记

  • 13
  • 1
  • 1
  • 1
  • 1
  • 1
  • 1
  • 1
This ACOT12 antibody is un-conjugated

应用范围

  • 10
  • 5
  • 4
  • 3
  • 3
  • 2
Immunohistochemistry (IHC), ELISA, Immunofluorescence (IF)
  • 抗原表位

    • 2
    • 1
    • 1
    • 1
    • 1
    • 1
    AA 281-330

    特异性

    ACOT12 Antibody detects endogenous levels of total ACOT12 protein.

    纯化方法

    The antibody was purified from rabbit antiserum by affinity-chromatography using immunogen.

    纯度

    > 95 %

    免疫原

    The antiserum was produced against synthesized peptide derived from human ACOT12.

    亚型

    IgG
  • 应用备注

    IHC: 1:50~1:100 IF: 1:100~1:500 ELISA: 1:40000

    说明

    Unigene-Number: Hs.591756 (NCBI Gene Symbol: ACOT12)

    限制

    仅限研究用
  • 状态

    Liquid

    浓度

    1 mg/mL

    缓冲液

    phosphate buffered saline (without Mg2+ and Ca2+), pH 7.4, 150 mM NaCl, 0.02 % sodium azide and 50 % glycerol.

    储存液

    Sodium azide

    注意事项

    This product contains sodium azide: a POISONOUS AND HAZARDOUS SUBSTANCE which should be handled by trained staff only.

    储存条件

    -20 °C

    储存方法

    Stable at -20°C for at least 1 year.

    有效期

    12 months
  • 抗原

    ACOT12 (Acyl-CoA Thioesterase 12 (ACOT12))

    别名

    ACOT12

    背景

    Synonyms: Acyl-coenzyme A thioesterase 12, Acyl-CoA thioesterase 12, Acyl-CoA thioester hydrolase 12, Cytoplasmic acetyl-CoA hydrolase 1, CACH-1, hCACH-1, START domain-containing protein 12, StARD12

    NCBI Gene Symbol: ACOT12

    分子量

    62 kDa

    基因ID

    134526

    UniProt

    Q8WYK0
You are here: