电话:
+86 (0512) 65829739
传真:
+86 (010) 6788 5057
电子邮件:
orders@antibodies-online.cn

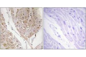
LEG2 抗体 (AA 31-80)

This 兔 多克隆 antibody specifically detects LEG2 in IF, IHC 和 ELISA. It exhibits reactivity toward 人, 小鼠 和 大鼠.
产品编号 ABIN1534461
发货至: 中国
Contact our Customer Service for availability and price in your country. Contact Info

Our Local Distributor

中国
北京 101111
No. 88 KeChuang 6th Street
Beijing Economic Technological Development Area
Room 801-803
4A Biotech Co.,Ltd.
Tel +86 (0512) 65829739 传真 +86 (010) 6788 5057

Quick Overview for LEG2 抗体 (AA 31-80) (ABIN1534461)

抗原

LEG2 (Longevity Extending Gene 2 (LEG2))

适用

人, 小鼠, 大鼠

宿主

  • 1

克隆类型

  • 1
多克隆

标记

  • 1
This LEG2 antibody is un-conjugated

应用范围

Immunofluorescence (IF), Immunohistochemistry (IHC), ELISA
  • 抗原表位

    AA 31-80

    特异性

    LEG2 Antibody detects endogenous levels of total LEG2 protein.

    纯化方法

    The antibody was purified from rabbit antiserum by affinity-chromatography using immunogen.

    纯度

    > 95 %

    免疫原

    The antiserum was produced against synthesized peptide derived from human LEG2.

    亚型

    IgG
  • 应用备注

    IHC: 1:50~1:100 IF: 1:100~1:500 ELISA: 1:1000

    说明

    Unigene-Number: Hs.531776 (NCBI Gene Symbol: LGALS2)

    限制

    仅限研究用
  • 状态

    Liquid

    浓度

    1 mg/mL

    缓冲液

    phosphate buffered saline (without Mg2+ and Ca2+), pH 7.4, 150 mM NaCl, 0.02 % sodium azide and 50 % glycerol.

    储存液

    Sodium azide

    注意事项

    This product contains sodium azide: a POISONOUS AND HAZARDOUS SUBSTANCE which should be handled by trained staff only.

    储存条件

    -20 °C

    储存方法

    Stable at -20°C for at least 1 year.

    有效期

    12 months
  • 抗原

    LEG2 (Longevity Extending Gene 2 (LEG2))

    别名

    LEG2

    背景

    Synonyms: Galectin-2, Beta-galactoside-binding lectin L-14-II, Lactose-binding lectin 2, S-Lac lectin 2, HL14, LGALS2

    NCBI Gene Symbol: LGALS2

    分子量

    14 kDa

    基因ID

    3957

    OMIM

    150571

    UniProt

    P05162
You are here: