IARS2 抗体 (AA 71-120)
Our Local Distributor
北京 101111
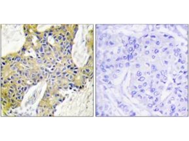
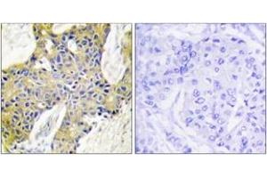
Quick Overview for IARS2 抗体 (AA 71-120) (ABIN1534148)
抗原
适用
宿主
克隆类型
标记
应用范围
-
-
抗原表位
- AA 71-120
-
特异性
-
IARS2 Antibody detects endogenous levels of total IARS2 protein.
-
纯化方法
- The antibody was purified from rabbit antiserum by affinity-chromatography using immunogen.
-
纯度
- > 95 %
-
免疫原
- The antiserum was produced against synthesized peptide derived from human IARS2.
-
亚型
- IgG
-
-
-
-
应用备注
- WB: 1:500~1:1000 IHC: 1:50~1:100 IF: 1:100~1:500 ELISA: 1:1000
-
说明
-
Unigene-Number: Hs.262823 (NCBI Gene Symbol: IARS2)
-
限制
- 仅限研究用
-
-
-
状态
- Liquid
-
浓度
- 1 mg/mL
-
缓冲液
- phosphate buffered saline (without Mg2+ and Ca2+), pH 7.4, 150 mM NaCl, 0.02 % sodium azide and 50 % glycerol.
-
储存液
- Sodium azide
-
注意事项
- This product contains sodium azide: a POISONOUS AND HAZARDOUS SUBSTANCE which should be handled by trained staff only.
-
储存条件
- -20 °C
-
储存方法
- Stable at -20°C for at least 1 year.
-
有效期
- 12 months
-
-
- IARS2 (Isoleucyl-tRNA Synthetase 2, Mitochondrial (IARS2))
-
别名
- IARS2
-
背景
-
Synonyms: Isoleucyl-tRNA synthetase mitochondrial, Isoleucine--tRNA ligase, IleRS , IARS2
NCBI Gene Symbol: IARS2
-
分子量
- 113 kDa
-
基因ID
- 55699
-
OMIM
- 612801
-
UniProt
- Q9NSE4
抗原
-