MED1 抗体 (AA 641-690)
Our Local Distributor
北京 101111
Quick Overview for MED1 抗体 (AA 641-690) (ABIN1533917)
抗原
See all MED1 抗体适用
宿主
克隆类型
标记
应用范围
-
-
抗原表位
- AA 641-690
-
特异性
-
MED1 Antibody detects endogenous levels of total MED1 protein.
-
纯化方法
- The antibody was purified from rabbit antiserum by affinity-chromatography using immunogen.
-
纯度
- > 95 %
-
免疫原
- The antiserum was produced against synthesized peptide derived from human MED1.
-
亚型
- IgG
-
-
-
-
应用备注
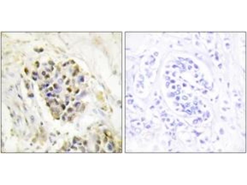
- WB: 1:500~1:1000 IHC: 1:50~1:100 ELISA: 1:10000
-
说明
-
Unigene-Number: Hs.643754 (NCBI Gene Symbol: MED1)
-
限制
- 仅限研究用
-
-
-
状态
- Liquid
-
浓度
- 1 mg/mL
-
缓冲液
- phosphate buffered saline (without Mg2+ and Ca2+), pH 7.4, 150 mM NaCl, 0.02 % sodium azide and 50 % glycerol.
-
储存液
- Sodium azide
-
注意事项
- This product contains sodium azide: a POISONOUS AND HAZARDOUS SUBSTANCE which should be handled by trained staff only.
-
储存条件
- -20 °C
-
储存方法
- Stable at -20°C for at least 1 year.
-
有效期
- 12 months
-
-
- MED1 (Mediator Complex Subunit 1 (MED1))
-
别名
- MED1
-
背景
-
Synonyms: Mediator complex subunit 1, Peroxisome proliferator-activated receptor-binding protein, PBP, PPAR-binding protein, Thyroid hormone receptor-associated protein complex 220 kDa component, Trap220, Thyroid receptor-interacting protein 2, TRIP-2, p53 regulato
NCBI Gene Symbol: MED1
-
分子量
- 168 kDa
-
基因ID
- 5469
-
OMIM
- 604311
-
UniProt
- Q15648
-
途径
- Nuclear Receptor Transcription Pathway, Intracellular Steroid Hormone Receptor Signaling Pathway, Regulation of Intracellular Steroid Hormone Receptor Signaling, Nuclear Hormone Receptor Binding, Chromatin Binding, Regulation of Lipid Metabolism by PPARalpha
抗原
-