电话:
+86 (0512) 65829739
传真:
+86 (010) 6788 5057
电子邮件:
orders@antibodies-online.cn

ZNF638 抗体 (AA 1271-1320)

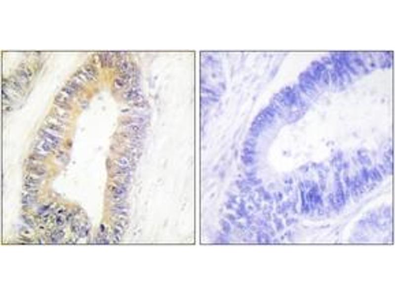
The 兔 多克隆 anti-ZNF638 antibody is suitable to detect ZNF638 in samples from 人. It has been validated for WB, IHC 和 ELISA.
产品编号 ABIN1533895
发货至: 中国
Contact our Customer Service for availability and price in your country. Contact Info

Our Local Distributor

中国
北京 101111
No. 88 KeChuang 6th Street
Beijing Economic Technological Development Area
Room 801-803
4A Biotech Co.,Ltd.
Tel +86 (0512) 65829739 传真 +86 (010) 6788 5057

Quick Overview for ZNF638 抗体 (AA 1271-1320) (ABIN1533895)

抗原

See all ZNF638 抗体
ZNF638 (Zinc Finger Protein 638 (ZNF638))

适用

  • 17
  • 4
  • 3
  • 2
  • 2
  • 2
  • 1
  • 1
  • 1

宿主

  • 17

克隆类型

  • 17
多克隆

标记

  • 10
  • 1
  • 1
  • 1
  • 1
  • 1
  • 1
  • 1
This ZNF638 antibody is un-conjugated

应用范围

  • 10
  • 4
  • 3
  • 2
  • 1
  • 1
  • 1
Western Blotting (WB), Immunohistochemistry (IHC), ELISA
  • 抗原表位

    • 2
    • 2
    • 2
    • 1
    • 1
    • 1
    AA 1271-1320

    特异性

    ZNF638 Antibody detects endogenous levels of total ZNF638 protein.

    纯化方法

    The antibody was purified from rabbit antiserum by affinity-chromatography using immunogen.

    纯度

    > 95 %

    免疫原

    The antiserum was produced against synthesized peptide derived from human ZNF638.

    亚型

    IgG
  • 应用备注

    WB: 1:500~1:1000 IHC: 1:50~1:100 ELISA: 1:20000

    说明

    Unigene-Number: Hs.434401 (NCBI Gene Symbol: ZNF638)

    限制

    仅限研究用
  • 状态

    Liquid

    浓度

    1 mg/mL

    缓冲液

    phosphate buffered saline (without Mg2+ and Ca2+), pH 7.4, 150 mM NaCl, 0.02 % sodium azide and 50 % glycerol.

    储存液

    Sodium azide

    注意事项

    This product contains sodium azide: a POISONOUS AND HAZARDOUS SUBSTANCE which should be handled by trained staff only.

    储存条件

    -20 °C

    储存方法

    Stable at -20°C for at least 1 year.

    有效期

    12 months
  • 抗原

    ZNF638 (Zinc Finger Protein 638 (ZNF638))

    别名

    ZNF638

    背景

    Synonyms: Zinc finger protein 638, Cutaneous T-cell lymphoma-associated antigen se33-1, CTCL-associated antigen se33-1, Nuclear protein 220, Zinc finger matrin-like protein , ZNF638 , NP220, ZFML

    NCBI Gene Symbol: ZNF638

    分子量

    220 kDa

    基因ID

    27332

    UniProt

    Q14966
You are here: