电话:
+86 (0512) 65829739
传真:
+86 (010) 6788 5057
电子邮件:
orders@antibodies-online.cn

FLI1 抗体 (AA 291-340)

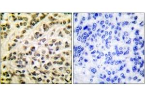
The 兔 多克隆 anti-FLI1 antibody (ABIN1533277) specifically detects FLI1 in WB, ELISA 和 IHC. The antibody is reactive with 人 和 小鼠 samples.
产品编号 ABIN1533277
发货至: 中国
Contact our Customer Service for availability and price in your country. Contact Info

Our Local Distributor

中国
北京 101111
No. 88 KeChuang 6th Street
Beijing Economic Technological Development Area
Room 801-803
4A Biotech Co.,Ltd.
Tel +86 (0512) 65829739 传真 +86 (010) 6788 5057

Quick Overview for FLI1 抗体 (AA 291-340) (ABIN1533277)

抗原

See all FLI1 抗体
FLI1 (Friend Leukemia Virus Integration 1 (FLI1))

适用

  • 93
  • 46
  • 22
  • 9
  • 6
  • 6
  • 6
  • 6
  • 5
  • 5
  • 4
  • 4
  • 4
  • 4
人, 小鼠

宿主

  • 71
  • 22
  • 1

克隆类型

  • 49
  • 45
多克隆

标记

  • 54
  • 6
  • 4
  • 3
  • 3
  • 3
  • 3
  • 3
  • 3
  • 2
  • 2
  • 1
  • 1
  • 1
  • 1
  • 1
  • 1
  • 1
  • 1
This FLI1 antibody is un-conjugated

应用范围

  • 81
  • 38
  • 29
  • 26
  • 17
  • 10
  • 8
  • 5
  • 3
  • 2
  • 1
  • 1
  • 1
Western Blotting (WB), ELISA, Immunohistochemistry (IHC)
  • 抗原表位

    • 12
    • 9
    • 6
    • 4
    • 3
    • 3
    • 3
    • 2
    • 2
    • 2
    • 2
    • 2
    • 2
    • 2
    • 1
    • 1
    • 1
    • 1
    • 1
    • 1
    • 1
    • 1
    • 1
    • 1
    • 1
    AA 291-340

    特异性

    FLI1 Antibody detects endogenous levels of total FLI1 protein.

    纯化方法

    The antibody was purified from rabbit antiserum by affinity-chromatography using immunogen.

    纯度

    > 95 %

    免疫原

    The antiserum was produced against synthesized peptide derived from human FLI1.

    亚型

    IgG
  • 应用备注

    WB: 1:500~1:1000 IHC: 1:50~1:100 ELISA: 1:10000

    说明

    Unigene-Number: Hs.504281 (NCBI Gene Symbol: FLI1)

    限制

    仅限研究用
  • 状态

    Liquid

    浓度

    1 mg/mL

    缓冲液

    phosphate buffered saline (without Mg2+ and Ca2+), pH 7.4, 150 mM NaCl, 0.02 % sodium azide and 50 % glycerol.

    储存液

    Sodium azide

    注意事项

    This product contains sodium azide: a POISONOUS AND HAZARDOUS SUBSTANCE which should be handled by trained staff only.

    储存条件

    -20 °C

    储存方法

    Stable at -20°C for at least 1 year.

    有效期

    12 months
  • 抗原

    FLI1 (Friend Leukemia Virus Integration 1 (FLI1))

    别名

    FLI1

    背景

    Synonyms: Friend leukemia integration 1 transcription factor, Fli-1 proto-oncogene, ERGB transcription factor, FLI1

    NCBI Gene Symbol: FLI1

    分子量

    50 kDa

    基因ID

    2313

    OMIM

    193067

    UniProt

    Q01543
You are here: