电话:
+86 (0512) 65829739
传真:
+86 (010) 6788 5057
电子邮件:
orders@antibodies-online.cn

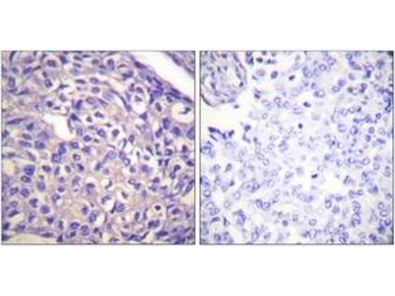
PPP1R12A 抗体 (AA 661-710)

The 兔 多克隆 anti-PPP1R12A antibody (ABIN1532365) specifically detects PPP1R12A in WB, ELISA 和 IHC. The antibody is reactive with 人, 小鼠 和 大鼠 samples.
产品编号 ABIN1532365
发货至: 中国
Contact our Customer Service for availability and price in your country. Contact Info

Our Local Distributor

中国
北京 101111
No. 88 KeChuang 6th Street
Beijing Economic Technological Development Area
Room 801-803
4A Biotech Co.,Ltd.
Tel +86 (0512) 65829739 传真 +86 (010) 6788 5057

Quick Overview for PPP1R12A 抗体 (AA 661-710) (ABIN1532365)

抗原

See all PPP1R12A 抗体
PPP1R12A (Myosin Phosphatase, Target Subunit 1 (PPP1R12A))

适用

  • 68
  • 59
  • 43
  • 6
  • 6
  • 6
  • 5
  • 4
  • 3
  • 3
  • 3
  • 3
  • 2
  • 1
人, 小鼠, 大鼠

宿主

  • 93
  • 1

克隆类型

  • 93
  • 1
多克隆

标记

  • 53
  • 3
  • 2
  • 2
  • 2
  • 2
  • 2
  • 2
  • 2
  • 2
  • 2
  • 2
  • 2
  • 2
  • 2
  • 2
  • 2
  • 2
  • 2
  • 2
  • 2
This PPP1R12A antibody is un-conjugated

应用范围

  • 59
  • 26
  • 26
  • 26
  • 23
  • 12
  • 10
  • 6
  • 5
  • 3
  • 1
  • 1
Western Blotting (WB), ELISA, Immunohistochemistry (IHC)
You are here: