电话:
+86 (0512) 65829739
传真:
+86 (010) 6788 5057
电子邮件:
orders@antibodies-online.cn

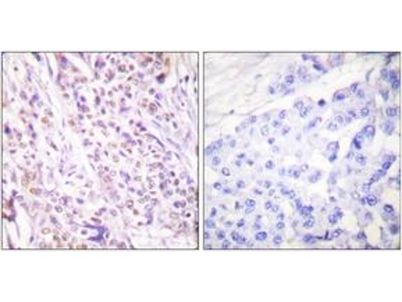
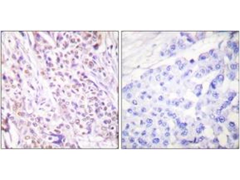
RAD17 抗体 (AA 621-670)

The 兔 多克隆 anti-RAD17 antibody is suitable to detect RAD17 in samples from 人 和 小鼠. It has been validated for WB, ELISA, IHC 和 IF.
产品编号 ABIN1532259
发货至: 中国
Contact our Customer Service for availability and price in your country. Contact Info

Our Local Distributor

中国
北京 101111
No. 88 KeChuang 6th Street
Beijing Economic Technological Development Area
Room 801-803
4A Biotech Co.,Ltd.
Tel +86 (0512) 65829739 传真 +86 (010) 6788 5057

Quick Overview for RAD17 抗体 (AA 621-670) (ABIN1532259)

抗原

See all RAD17 抗体
RAD17

适用

  • 112
  • 31
  • 20
  • 5
  • 4
  • 4
  • 3
  • 2
  • 1
  • 1
  • 1
  • 1
人, 小鼠

宿主

  • 109
  • 4
  • 3
  • 1

克隆类型

  • 103
  • 13
多克隆

标记

  • 56
  • 7
  • 5
  • 4
  • 3
  • 3
  • 3
  • 3
  • 3
  • 3
  • 2
  • 2
  • 2
  • 2
  • 2
  • 2
  • 2
  • 2
  • 2
  • 2
  • 2
  • 2
  • 1
  • 1
  • 1
This RAD17 antibody is un-conjugated

应用范围

  • 68
  • 33
  • 26
  • 26
  • 21
  • 19
  • 14
  • 13
  • 10
  • 6
  • 5
  • 1
  • 1
  • 1
Western Blotting (WB), ELISA, Immunohistochemistry (IHC), Immunofluorescence (IF)
  • 抗原表位

    • 21
    • 15
    • 12
    • 10
    • 7
    • 6
    • 5
    • 5
    • 4
    • 2
    • 2
    • 2
    • 2
    • 1
    • 1
    • 1
    • 1
    • 1
    • 1
    • 1
    • 1
    • 1
    • 1
    • 1
    • 1
    • 1
    AA 621-670

    特异性

    RAD17 Antibody detects endogenous levels of total RAD17 protein.

    纯化方法

    The antibody was purified from rabbit antiserum by affinity-chromatography using immunogen.

    纯度

    > 95 %

    免疫原

    The antiserum was produced against synthesized peptide derived from human RAD17.

    亚型

    IgG
  • 应用备注

    WB: 1:500~1:1000 IHC: 1:50~1:100 IF: 1:100~1:500 ELISA: 1:10000

    说明

    Unigene-Number: Hs.16184 (NCBI Gene Symbol: RAD17)

    限制

    仅限研究用
  • 状态

    Liquid

    浓度

    1 mg/mL

    缓冲液

    phosphate buffered saline (without Mg2+ and Ca2+), pH 7.4, 150 mM NaCl, 0.02 % sodium azide and 50 % glycerol.

    储存液

    Sodium azide

    注意事项

    This product contains sodium azide: a POISONOUS AND HAZARDOUS SUBSTANCE which should be handled by trained staff only.

    储存条件

    -20 °C

    储存方法

    Stable at -20°C for at least 1 year.

    有效期

    12 months
  • 抗原

    RAD17

    别名

    RAD17

    背景

    Synonyms: Cell cycle checkpoint protein RAD17, hRad17, RF-C/activator 1 homolog , RAD17 , R24L

    NCBI Gene Symbol: RAD17

    分子量

    77 kDa

    基因ID

    5884

    OMIM

    603139

    UniProt

    O75943
You are here: