电话:
+86 (0512) 65829739
传真:
+86 (010) 6788 5057
电子邮件:
orders@antibodies-online.cn

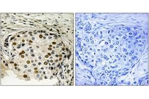
OSR1 抗体 (pThr185)

This 兔 多克隆 antibody specifically detects OSR1 in ELISA, WB 和 IHC. It exhibits reactivity toward 人 和 小鼠.
产品编号 ABIN1532067
发货至: 中国
Contact our Customer Service for availability and price in your country. Contact Info

Our Local Distributor

中国
北京 101111
No. 88 KeChuang 6th Street
Beijing Economic Technological Development Area
Room 801-803
4A Biotech Co.,Ltd.
Tel +86 (0512) 65829739 传真 +86 (010) 6788 5057

Quick Overview for OSR1 抗体 (pThr185) (ABIN1532067)

抗原

See all OSR1 抗体
OSR1 (Odd-Skipped Related 1 (OSR1))

适用

  • 42
  • 9
  • 5
  • 2
  • 2
  • 2
  • 2
  • 2
  • 2
  • 1
  • 1
  • 1
人, 小鼠

宿主

  • 37
  • 5

克隆类型

  • 37
  • 5
多克隆

标记

  • 25
  • 3
  • 2
  • 2
  • 2
  • 2
  • 1
  • 1
  • 1
  • 1
  • 1
  • 1
This OSR1 antibody is un-conjugated

应用范围

  • 23
  • 11
  • 11
  • 7
  • 3
  • 3
  • 3
  • 2
  • 2
  • 1
  • 1
ELISA, Western Blotting (WB), Immunohistochemistry (IHC)
  • 抗原表位

    • 9
    • 9
    • 8
    • 4
    • 2
    • 2
    • 1
    • 1
    • 1
    AA 151-200, pThr185

    特异性

    OSR1 (Phospho-Thr185) Antibody detects endogenous levels of OSR1 only when phosphorylated at Thr185.

    PhosphorylationH:T185 M:T185

    纯化方法

    The antibody was purified from rabbit antiserum by affinity-chromatography using phospho peptide. The antibody against non-phospho peptide was removed by chromatography using corresponding non-phospho peptide.

    纯度

    > 95 %

    免疫原

    The antiserum was produced against synthesized peptide derived from human OSR1 around the phosphorylation site of Thr185.

    亚型

    IgG
  • 应用备注

    WB: 1:500~1:1000 IHC: 1:50~1:100 ELISA: 1:10000

    说明

    Unigene-Number: Hs.475970 (NCBI Gene Symbol: OXSR1)

    限制

    仅限研究用
  • 状态

    Liquid

    浓度

    1 mg/mL

    缓冲液

    phosphate buffered saline (without Mg2+ and Ca2+), pH 7.4, 150 mM NaCl, 0.02 % sodium azide and 50 % glycerol.

    储存液

    Sodium azide

    注意事项

    This product contains sodium azide: a POISONOUS AND HAZARDOUS SUBSTANCE which should be handled by trained staff only.

    储存条件

    -20 °C

    储存方法

    Stable at -20°C for at least 1 year.

    有效期

    12 months
  • 抗原

    OSR1 (Odd-Skipped Related 1 (OSR1))

    别名

    OSR1

    背景

    Synonyms: Oxidative stress-responsive 1 protein

    NCBI Gene Symbol: OXSR1

    分子量

    58 kDa

    基因ID

    9943

    OMIM

    604046

    UniProt

    O95747

    途径

    Tube Formation
You are here: