电话:
+86 (0512) 65829739
传真:
+86 (010) 6788 5057
电子邮件:
orders@antibodies-online.cn

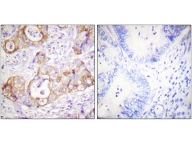
KRT8 抗体 (pSer432)

The 兔 多克隆 anti-KRT8 antibody is suitable to detect KRT8 in samples from 人, 大鼠 和 小鼠. It has been validated for WB, IHC, IF 和 ELISA.
产品编号 ABIN1531568
发货至: 中国
Contact our Customer Service for availability and price in your country. Contact Info

Our Local Distributor

中国
北京 101111
No. 88 KeChuang 6th Street
Beijing Economic Technological Development Area
Room 801-803
4A Biotech Co.,Ltd.
Tel +86 (0512) 65829739 传真 +86 (010) 6788 5057

Quick Overview for KRT8 抗体 (pSer432) (ABIN1531568)

抗原

See all KRT8 抗体
KRT8 (Keratin 8 (KRT8))

适用

  • 316
  • 89
  • 87
  • 67
  • 66
  • 64
  • 63
  • 16
  • 14
  • 10
  • 8
  • 5
  • 4
  • 3
  • 2
  • 1
  • 1
  • 1
人, 大鼠, 小鼠

宿主

  • 167
  • 161
  • 3

克隆类型

  • 190
  • 138
  • 1
多克隆

标记

  • 173
  • 26
  • 17
  • 8
  • 8
  • 7
  • 7
  • 7
  • 7
  • 7
  • 7
  • 3
  • 3
  • 3
  • 3
  • 3
  • 3
  • 3
  • 3
  • 3
  • 3
  • 3
  • 3
  • 2
  • 2
  • 2
  • 2
  • 2
  • 2
  • 2
  • 2
  • 2
  • 1
  • 1
  • 1
This KRT8 antibody is un-conjugated

应用范围

  • 233
  • 163
  • 129
  • 102
  • 72
  • 52
  • 47
  • 41
  • 41
  • 39
  • 35
  • 30
  • 23
  • 5
  • 4
  • 4
  • 2
  • 2
  • 2
  • 2
  • 1
  • 1
Western Blotting (WB), Immunohistochemistry (IHC), Immunofluorescence (IF), ELISA
  • 抗原表位

    • 23
    • 16
    • 13
    • 12
    • 8
    • 7
    • 6
    • 6
    • 6
    • 5
    • 4
    • 4
    • 3
    • 3
    • 2
    • 2
    • 2
    • 2
    • 2
    • 2
    • 2
    • 2
    • 2
    • 1
    • 1
    • 1
    • 1
    • 1
    • 1
    • 1
    • 1
    • 1
    • 1
    • 1
    • 1
    • 1
    • 1
    • 1
    • 1
    • 1
    • 1
    • 1
    • 1
    AA 401-450, pSer432

    特异性

    Keratin 8 (Phospho-Ser432) Antibody detects endogenous levels of Keratin 8 only when phosphorylated at Ser432.

    PhosphorylationH:S432 M:S438 R:S432

    纯化方法

    The antibody was purified from rabbit antiserum by affinity-chromatography using phospho peptide. The antibody against non-phospho peptide was removed by chromatography using corresponding non-phospho peptide.

    纯度

    > 95 %

    免疫原

    The antiserum was produced against synthesized peptide derived from human Keratin 8 around the phosphorylation site of Ser432.

    亚型

    IgG
  • 应用备注

    WB: 1:500~1:1000 IHC: 1:50~1:100 IF: 1:100~1:500 ELISA: 1:40000

    说明

    Unigene-Number: Hs.533782, Hs.708445 (NCBI Gene Symbol: KRT8)

    限制

    仅限研究用
  • 状态

    Liquid

    浓度

    1 mg/mL

    缓冲液

    phosphate buffered saline (without Mg2+ and Ca2+), pH 7.4, 150 mM NaCl, 0.02 % sodium azide and 50 % glycerol.

    储存液

    Sodium azide

    注意事项

    This product contains sodium azide: a POISONOUS AND HAZARDOUS SUBSTANCE which should be handled by trained staff only.

    储存条件

    -20 °C

    储存方法

    Stable at -20°C for at least 1 year.

    有效期

    12 months
  • 抗原

    KRT8 (Keratin 8 (KRT8))

    别名

    Keratin 8

    背景

    Synonyms: CK 8, CK8, CYK8, Cytokeratin endo A, K2C8, K8, KRT2-8, KRT8, Keratin, type II cytoskeletal 8, cytokeratin 8

    NCBI Gene Symbol: KRT8

    分子量

    53 kDa

    基因ID

    3856

    OMIM

    148060

    UniProt

    P05787
You are here: