电话:
+86 (0512) 65829739
传真:
+86 (010) 6788 5057
电子邮件:
orders@antibodies-online.cn

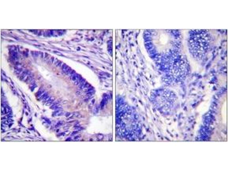
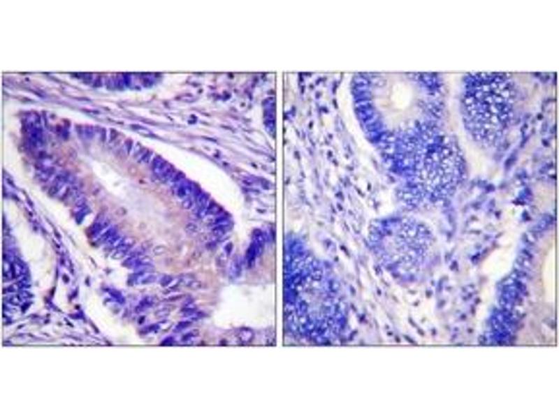
EIF4B 抗体 (pSer422)

The 兔 多克隆 anti-EIF4B antibody (ABIN1531431) specifically detects EIF4B in WB, IHC, ELISA 和 IF. The antibody is reactive with 人 和 小鼠 samples.
产品编号 ABIN1531431
发货至: 中国
Contact our Customer Service for availability and price in your country. Contact Info

Our Local Distributor

中国
北京 101111
No. 88 KeChuang 6th Street
Beijing Economic Technological Development Area
Room 801-803
4A Biotech Co.,Ltd.
Tel +86 (0512) 65829739 传真 +86 (010) 6788 5057

Quick Overview for EIF4B 抗体 (pSer422) (ABIN1531431)

抗原

See all EIF4B 抗体
EIF4B (Eukaryotic Translation Initiation Factor 4B (EIF4B))

适用

  • 122
  • 60
  • 44
  • 6
  • 6
  • 4
  • 4
  • 3
  • 2
  • 1
人, 小鼠

宿主

  • 107
  • 13
  • 2

克隆类型

  • 85
  • 37
多克隆

标记

  • 63
  • 8
  • 6
  • 5
  • 4
  • 3
  • 3
  • 3
  • 3
  • 3
  • 3
  • 3
  • 2
  • 2
  • 1
  • 1
  • 1
  • 1
  • 1
  • 1
  • 1
  • 1
  • 1
  • 1
  • 1
This EIF4B antibody is un-conjugated

应用范围

  • 106
  • 56
  • 41
  • 28
  • 19
  • 18
  • 14
  • 13
  • 7
  • 4
  • 3
  • 3
  • 1
Western Blotting (WB), Immunohistochemistry (IHC), ELISA, Immunofluorescence (IF)
  • 抗原表位

    • 30
    • 14
    • 8
    • 8
    • 5
    • 3
    • 2
    • 2
    • 2
    • 2
    • 2
    • 2
    • 2
    • 2
    • 1
    • 1
    • 1
    • 1
    • 1
    • 1
    • 1
    • 1
    • 1
    • 1
    AA 388-437, pSer422

    特异性

    eIF4B (Phospho-Ser422) Antibody detects endogenous levels of eIF4B only when phosphorylated at Ser422.

    PhosphorylationH:S422 M:S422

    纯化方法

    The antibody was purified from rabbit antiserum by affinity-chromatography using phospho peptide. The antibody against non-phospho peptide was removed by chromatography using corresponding non-phospho peptide.

    纯度

    > 95 %

    免疫原

    The antiserum was produced against synthesized peptide derived from human eIF4B around the phosphorylation site of Ser422.

    亚型

    IgG
  • 应用备注

    WB: 1:500~1:1000 IHC: 1:50~1:100 IF: 1:100~1:500 ELISA: 1:40000

    说明

    Unigene-Number: Hs.207538 (NCBI Gene Symbol: EIF4B)

    限制

    仅限研究用
  • 状态

    Liquid

    浓度

    1 mg/mL

    缓冲液

    phosphate buffered saline (without Mg2+ and Ca2+), pH 7.4, 150 mM NaCl, 0.02 % sodium azide and 50 % glycerol.

    储存液

    Sodium azide

    注意事项

    This product contains sodium azide: a POISONOUS AND HAZARDOUS SUBSTANCE which should be handled by trained staff only.

    储存条件

    -20 °C

    储存方法

    Stable at -20°C for at least 1 year.

    有效期

    12 months
  • 抗原

    EIF4B (Eukaryotic Translation Initiation Factor 4B (EIF4B))

    别名

    eIF4B

    背景

    Synonyms: Eukaryotic translation initiation factor 4B, IF4B, eIF-4B

    NCBI Gene Symbol: EIF4B

    分子量

    69 kDa

    基因ID

    3716

    OMIM

    147795

    UniProt

    P23588
You are here: