电话:
+86 (0512) 65829739
传真:
+86 (010) 6788 5057
电子邮件:
orders@antibodies-online.cn

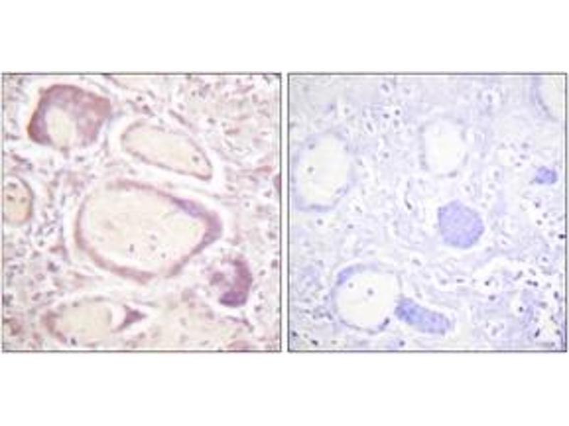
Cyclin B1 抗体 (pSer147)

This 兔 多克隆 antibody specifically detects Cyclin B1 in WB, IHC 和 ELISA. It exhibits reactivity toward 人, 小鼠 和 大鼠.
产品编号 ABIN1531429
发货至: 中国
Contact our Customer Service for availability and price in your country. Contact Info

Our Local Distributor

中国
北京 101111
No. 88 KeChuang 6th Street
Beijing Economic Technological Development Area
Room 801-803
4A Biotech Co.,Ltd.
Tel +86 (0512) 65829739 传真 +86 (010) 6788 5057

Quick Overview for Cyclin B1 抗体 (pSer147) (ABIN1531429)

抗原

See all Cyclin B1 (CCNB1) 抗体
Cyclin B1 (CCNB1)

适用

  • 229
  • 100
  • 44
  • 24
  • 21
  • 16
  • 5
  • 4
  • 4
  • 3
  • 3
  • 2
  • 2
  • 1
  • 1
人, 小鼠, 大鼠

宿主

  • 196
  • 41
  • 1

克隆类型

  • 146
  • 92
多克隆

标记

  • 111
  • 12
  • 6
  • 6
  • 6
  • 4
  • 4
  • 4
  • 4
  • 4
  • 4
  • 4
  • 4
  • 4
  • 4
  • 4
  • 4
  • 4
  • 4
  • 4
  • 4
  • 4
  • 3
  • 3
  • 3
  • 3
  • 3
  • 3
  • 3
  • 3
  • 3
  • 2
This Cyclin B1 antibody is un-conjugated

应用范围

  • 166
  • 87
  • 76
  • 66
  • 58
  • 41
  • 40
  • 39
  • 35
  • 27
  • 11
  • 9
  • 9
  • 8
  • 4
  • 2
  • 2
  • 1
  • 1
Western Blotting (WB), Immunohistochemistry (IHC), ELISA
  • 抗原表位

    • 40
    • 21
    • 16
    • 16
    • 8
    • 8
    • 7
    • 3
    • 3
    • 3
    • 2
    • 2
    • 2
    • 2
    • 2
    • 2
    • 2
    • 2
    • 2
    • 2
    • 2
    • 2
    • 2
    • 2
    • 2
    • 1
    • 1
    • 1
    • 1
    • 1
    • 1
    • 1
    • 1
    • 1
    AA 121-170, pSer147

    特异性

    Cyclin B1 (Phospho-Ser147) Antibody detects endogenous levels of Cyclin B1 only when phosphorylated at Ser147.

    PhosphorylationH:S147 M:S144 R:S137

    纯化方法

    The antibody was purified from rabbit antiserum by affinity-chromatography using phospho peptide. The antibody against non-phospho peptide was removed by chromatography using corresponding non-phospho peptide.

    纯度

    > 95 %

    免疫原

    The antiserum was produced against synthesized peptide derived from human Cyclin B1 around the phosphorylation site of Ser147.

    亚型

    IgG
  • 应用备注

    WB: 1:500~1:1000 IHC: 1:50~1:100 ELISA: 1:10000

    说明

    Unigene-Number: Hs.23960 (NCBI Gene Symbol: CCNB1)

    限制

    仅限研究用
  • 状态

    Liquid

    浓度

    1 mg/mL

    缓冲液

    phosphate buffered saline (without Mg2+ and Ca2+), pH 7.4, 150 mM NaCl, 0.02 % sodium azide and 50 % glycerol.

    储存液

    Sodium azide

    注意事项

    This product contains sodium azide: a POISONOUS AND HAZARDOUS SUBSTANCE which should be handled by trained staff only.

    储存条件

    -20 °C

    储存方法

    Stable at -20°C for at least 1 year.

    有效期

    12 months
  • 抗原

    Cyclin B1 (CCNB1)

    别名

    Cyclin B1

    背景

    Synonyms: CCN-2, CCNB, CCNB1, CCNB1-RS1, CYCB, CYCB1, G2/mitotic-specific cyclin B1

    NCBI Gene Symbol: CCNB1

    分子量

    48 kDa

    基因ID

    891

    OMIM

    123836

    UniProt

    P14635

    途径

    Cell Division Cycle, AMPK Signaling, Mitotic G1-G1/S Phases, M Phase
You are here: