电话:
+86 (0512) 65829739
传真:
+86 (010) 6788 5057
电子邮件:
orders@antibodies-online.cn

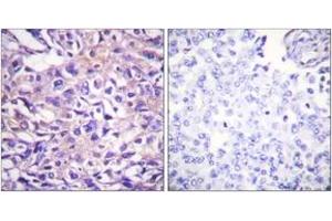
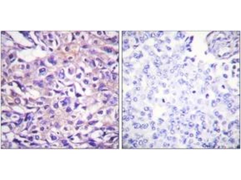
PPP1R12A 抗体 (pThr696)

The 兔 多克隆 anti-PPP1R12A antibody is suitable to detect PPP1R12A in samples from 人, 小鼠 和 大鼠. It has been validated for ELISA, IHC 和 IF.
产品编号 ABIN1531348
发货至: 中国
Contact our Customer Service for availability and price in your country. Contact Info

Our Local Distributor

中国
北京 101111
No. 88 KeChuang 6th Street
Beijing Economic Technological Development Area
Room 801-803
4A Biotech Co.,Ltd.
Tel +86 (0512) 65829739 传真 +86 (010) 6788 5057

Quick Overview for PPP1R12A 抗体 (pThr696) (ABIN1531348)

抗原

See all PPP1R12A 抗体
PPP1R12A (Myosin Phosphatase, Target Subunit 1 (PPP1R12A))

适用

  • 68
  • 59
  • 43
  • 6
  • 6
  • 6
  • 5
  • 4
  • 3
  • 3
  • 3
  • 3
  • 2
  • 1
人, 小鼠, 大鼠

宿主

  • 93
  • 1

克隆类型

  • 93
  • 1
多克隆

标记

  • 53
  • 3
  • 2
  • 2
  • 2
  • 2
  • 2
  • 2
  • 2
  • 2
  • 2
  • 2
  • 2
  • 2
  • 2
  • 2
  • 2
  • 2
  • 2
  • 2
  • 2
This PPP1R12A antibody is un-conjugated

应用范围

  • 60
  • 26
  • 26
  • 26
  • 23
  • 12
  • 9
  • 6
  • 5
  • 3
  • 1
  • 1
ELISA, Immunohistochemistry (IHC), Immunofluorescence (IF)
  • 抗原表位

    • 27
    • 15
    • 7
    • 4
    • 3
    • 3
    • 2
    • 2
    • 2
    • 2
    • 2
    • 2
    • 2
    • 2
    • 1
    • 1
    • 1
    • 1
    • 1
    • 1
    • 1
    • 1
    • 1
    • 1
    • 1
    • 1
    • 1
    • 1
    • 1
    • 1
    AA 661-710, pThr696

    特异性

    MYPT1 (Phospho-Thr696) Antibody detects endogenous levels of MYPT1 only when phosphorylated at Thr696.

    PhosphorylationH:T696 M:T694 R:T697

    纯化方法

    The antibody was purified from rabbit antiserum by affinity-chromatography using phospho peptide. The antibody against non-phospho peptide was removed by chromatography using corresponding non-phospho peptide.

    纯度

    > 95 %

    免疫原

    The antiserum was produced against synthesized peptide derived from human MYPT1 around the phosphorylation site of Thr696.

    亚型

    IgG
  • 应用备注

    IHC: 1:50~1:100 IF: 1:100~1:500 ELISA: 1:1000

    说明

    Unigene-Number: Hs.49582 (NCBI Gene Symbol: PPP1R12A)

    限制

    仅限研究用
  • 状态

    Liquid

    浓度

    1 mg/mL

    缓冲液

    phosphate buffered saline (without Mg2+ and Ca2+), pH 7.4, 150 mM NaCl, 0.02 % sodium azide and 50 % glycerol.

    储存液

    Sodium azide

    注意事项

    This product contains sodium azide: a POISONOUS AND HAZARDOUS SUBSTANCE which should be handled by trained staff only.

    储存条件

    -20 °C

    储存方法

    Stable at -20°C for at least 1 year.

    有效期

    12 months
  • 抗原

    PPP1R12A (Myosin Phosphatase, Target Subunit 1 (PPP1R12A))

    别名

    MYPT1

    背景

    Synonyms: MBS, Myosin phosphatase target subunit 1, PPP1R12A

    NCBI Gene Symbol: PPP1R12A

    分子量

    115 kDa

    基因ID

    4659

    OMIM

    602021

    UniProt

    O14974

    途径

    M Phase
You are here: