TPD52L3 抗体
Our Local Distributor
北京 101111
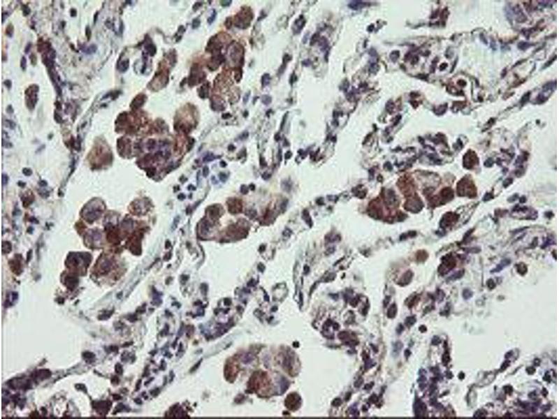
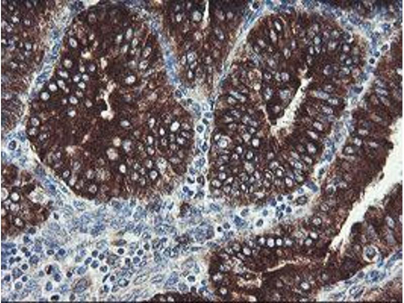
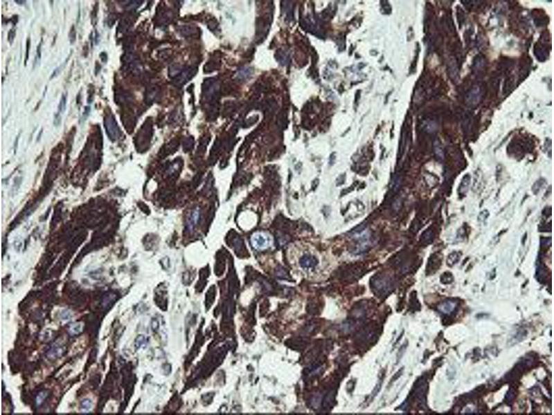
Quick Overview for TPD52L3 抗体 (ABIN1501475)
抗原
See all TPD52L3 抗体适用
宿主
克隆类型
标记
应用范围
克隆位点
-
-
特异性
- Human TPD52L3
-
纯化方法
- Protein A/G purified
-
免疫原
-
Full length human recombinant protein of human TPD52L3(NP_001001875) produced in HEK293T cell.
Type of Immunogen: Recombinant protein -
亚型
- IgG1
-
-
-
-
应用备注
- Approved: Flo (1:100), IHC, IHC-P (1:150), WB (1:2000)
-
说明
-
Target Species of Antibody: Human
-
限制
- 仅限研究用
-
-
-
状态
- Liquid
-
浓度
- Lot specific
-
缓冲液
- PBS, pH 7.3, 1 % BSA, 50 % glycerol, 0.02 % sodium azide
-
储存液
- Sodium azide
-
注意事项
- This product contains Sodium azide: a POISONOUS AND HAZARDOUS SUBSTANCE which should be handled by trained staff only.
-
储存条件
- -20 °C
-
储存方法
- Store at -20°C. Avoid freeze-thaw cycles.
-
-
- TPD52L3 (Tumor Protein D52-Like 3 (TPD52L3))
-
别名
- TPD52L3
-
背景
-
Name/Gene ID: TPD52L3
Synonyms: TPD52L3, HD55, Protein kinase NYD-SP25, Tumor protein D55, Tumor protein D52-like 3, NYD-SP25, NYDSP25 -
基因ID
- 89882
-
NCBI登录号
- NP_001001875
抗原
-