电话:
+86 (0512) 65829739
传真:
+86 (010) 6788 5057
电子邮件:
orders@antibodies-online.cn

RNF113B 抗体

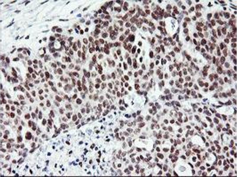
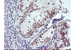
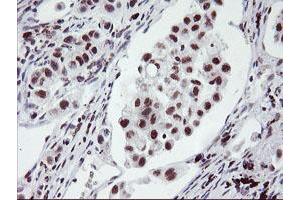
This 小鼠 单克隆 antibody specifically detects RNF113B in WB, IHC, IHC (p) 和 FACS. It exhibits reactivity toward 人, 小鼠, 大鼠, 犬 和 猴.
产品编号 ABIN1500715
发货至: 中国
Contact our Customer Service for availability and price in your country. Contact Info

Our Local Distributor

中国
北京 101111
No. 88 KeChuang 6th Street
Beijing Economic Technological Development Area
Room 801-803
4A Biotech Co.,Ltd.
Tel +86 (0512) 65829739 传真 +86 (010) 6788 5057

Quick Overview for RNF113B 抗体 (ABIN1500715)

抗原

RNF113B (Ring Finger Protein 113B (RNF113B))

适用

人, 小鼠, 大鼠, 犬, 猴

宿主

  • 30
  • 8
小鼠

克隆类型

  • 32
  • 6
单克隆

标记

  • 18
  • 1
  • 1
  • 1
  • 1
  • 1
  • 1
  • 1
  • 1
  • 1
  • 1
  • 1
  • 1
  • 1
  • 1
  • 1
  • 1
  • 1
  • 1
  • 1
  • 1
This RNF113B antibody is un-conjugated

应用范围

  • 32
  • 13
  • 5
  • 4
  • 4
  • 4
  • 2
  • 1
  • 1
Western Blotting (WB), Immunohistochemistry (IHC), Immunohistochemistry (Paraffin-embedded Sections) (IHC (p)), Flow Cytometry (FACS)

克隆位点

2C10
You are here: