电话:
+86 (0512) 65829739
传真:
+86 (010) 6788 5057
电子邮件:
orders@antibodies-online.cn

RFPL3 抗体

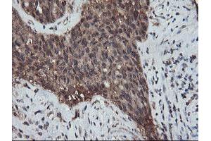
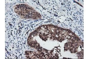
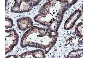
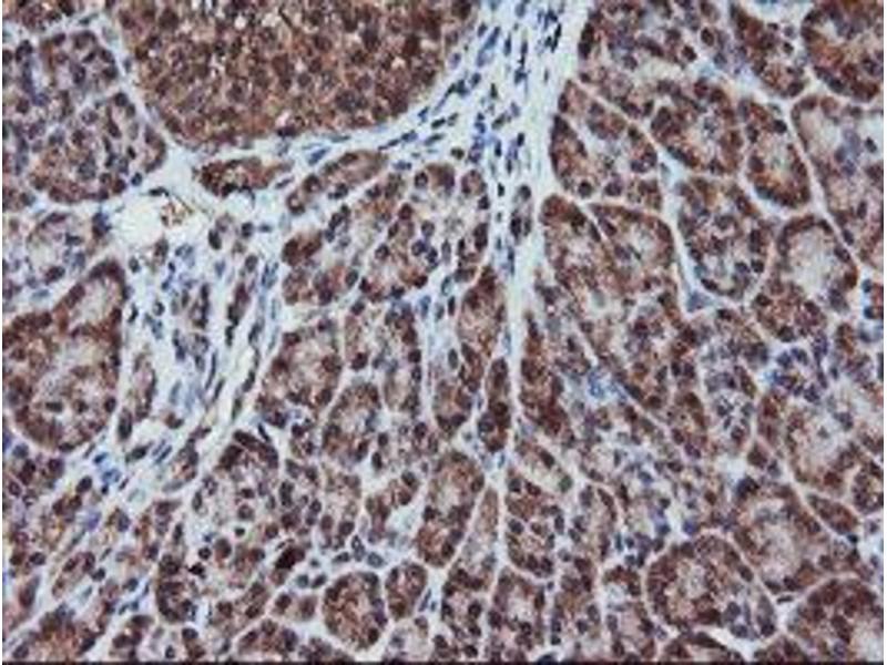
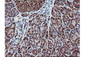
The 小鼠 单克隆 anti-RFPL3 antibody (Clone 2G4) (ABIN1500675) specifically detects RFPL3 in WB, FACS, IF, IHC 和 IHC (p). The antibody is reactive with 人 samples.
产品编号 ABIN1500675
发货至: 中国
Contact our Customer Service for availability and price in your country. Contact Info

Our Local Distributor

中国
北京 101111
No. 88 KeChuang 6th Street
Beijing Economic Technological Development Area
Room 801-803
4A Biotech Co.,Ltd.
Tel +86 (0512) 65829739 传真 +86 (010) 6788 5057

Quick Overview for RFPL3 抗体 (ABIN1500675)

抗原

RFPL3 (Ret Finger Protein-Like 3 (RFPL3))

适用

  • 15
  • 1

宿主

  • 13
  • 2
小鼠

克隆类型

  • 14
  • 1
单克隆

标记

  • 11
  • 2
  • 1
  • 1
This RFPL3 antibody is un-conjugated

应用范围

Western Blotting (WB), Flow Cytometry (FACS), Immunofluorescence (IF), Immunohistochemistry (IHC), Immunohistochemistry (Paraffin-embedded Sections) (IHC (p))

克隆位点

2G4
You are here: