电话:
+86 (0512) 65829739
传真:
+86 (010) 6788 5057
电子邮件:
orders@antibodies-online.cn

PYCRL 抗体

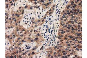
The 小鼠 单克隆 anti-PYCRL antibody (Clone 1B12) (ABIN1500522) specifically detects PYCRL in WB, IF, FACS, IHC 和 IHC (p). The antibody is reactive with 人 和 大鼠 samples.
产品编号 ABIN1500522
发货至: 中国
Contact our Customer Service for availability and price in your country. Contact Info

Our Local Distributor

中国
北京 101111
No. 88 KeChuang 6th Street
Beijing Economic Technological Development Area
Room 801-803
4A Biotech Co.,Ltd.
Tel +86 (0512) 65829739 传真 +86 (010) 6788 5057

Quick Overview for PYCRL 抗体 (ABIN1500522)

抗原

See all PYCRL 抗体
PYCRL (Pyrroline-5-Carboxylate Reductase 3 (PYCRL))

适用

  • 17
  • 1
  • 1
  • 1
  • 1
  • 1
  • 1
人, 大鼠

宿主

  • 9
  • 8
小鼠

克隆类型

  • 11
  • 6
单克隆

标记

  • 17
This PYCRL antibody is un-conjugated

应用范围

  • 16
  • 6
  • 5
  • 4
  • 3
  • 2
Western Blotting (WB), Immunofluorescence (IF), Flow Cytometry (FACS), Immunohistochemistry (IHC), Immunohistochemistry (Paraffin-embedded Sections) (IHC (p))

克隆位点

1B12
You are here: